고관절 인공 관절 치환술 이해하기

고관절 인공 관절 치환술은 고관절의 퇴행성 변화나 심각한 부상으로 인한 통증과 기능 장애를 해결하기 위한 수술적 방법입니다.
이 수술은 통증을 감소시키고, 움직임의 범위를 향상시켜 환자의 삶의 질을 크게 개선할 수 있습니다.
수술 과정
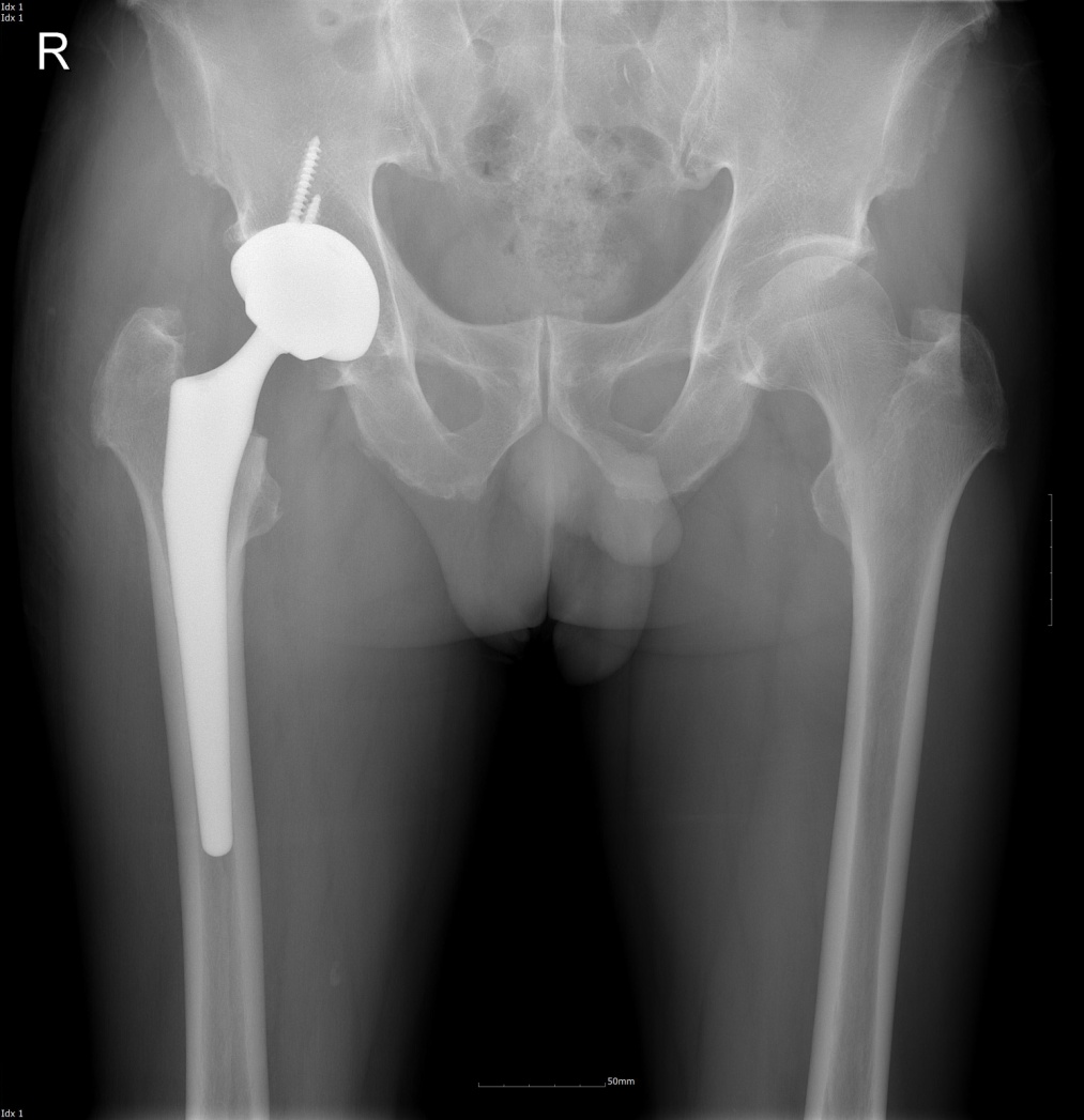
고관절 인공 관절 치환술은 손상되거나 퇴행성 변화를 겪은 고관절을 인공 관절로 교체하는 수술입니다. 이 수술은 고관절의 통증을 줄이고, 움직임을 개선하는 데 목적이 있습니다.
수술 절차
마취: 수술은 전신 마취 또는 척추 마취 하에 이루어집니다.
절개: 고관절 부위에 절개를 합니다. 절개의 크기와 위치는 수술 방법과 환자의 상태에 따라 달라질 수 있습니다.
손상된 관절 제거: 손상되거나 마모된 고관절의 대퇴골 머리와 비구를 제거합니다.
인공 관절 삽입: 대퇴골과 골반의 비구 부위에 맞는 인공 관절을 삽입합니다. 이는 금속, 세라믹, 플라스틱 등 다양한 재료로 만들어집니다.
재구성: 인공 관절이 적절히 맞는지 확인한 후, 근육과 인대를 재조정하고 절개 부위를 봉합합니다.
수술 후 회복: 수술 후 환자는 회복실로 옮겨져 의료진의 감시를 받으며 회복을 시작합니다.
수술 후 관리
통증 관리: 수술 후 발생할 수 있는 통증을 관리하기 위해 적절한 통증 조절 약물이 제공됩니다.
물리치료: 수술 후 빠른 회복을 위해 물리치료가 시작됩니다. 이는 근육 강화와 관절의 움직임 범위를 개선하는 데 도움을 줍니다.
회복 지침 준수: 수술 부위에 부담을 주지 않는 방식으로 활동하고, 의사의 지침에 따라 일상 활동으로 서서히 복귀합니다.
회복 과정
초기 회복: 수술 후 몇 일간은 병원에서 회복하며, 통증 관리와 기본적인 움직임을 시작합니다.
재활: 물리치료를 통해 근력을 회복하고, 움직임의 범위를 점진적으로 증가시킵니다.
홈 케어: 가정에서의 적절한 관리와 지속적인 물리치료가 필요합니다.
주의 사항
통증 관리: 수술 후 통증 관리가 중요합니다. 의사의 지시에 따라 적절한 통증 조절 약물을 사용합니다.
생활 습관 조정: 과도한 활동은 피하고, 수술 부위에 부담을 주지 않는 생활 습관을 유지합니다.
장기적 관리
정기적인 검진: 수술 후 정기적인 의료 검진을 통해 인공 관절의 상태를 확인합니다.
운동 유지: 근력을 유지하고 관절의 유연성을 개선하기 위해 규칙적인 운동이 중요합니다.
FAQ: 고관절 인공 관절 치환술
Q: 고관절 인공 관절 치환술의 주요 목적은 무엇인가요?
A: 주요 목적은 고관절의 통증을 완화하고, 움직임의 범위를 개선하여 환자의 삶의 질을 향상시키는 것입니다.
Q: 수술 후 정상적인 활동으로 돌아가는 데 얼마나 걸리나요?
A: 회복 기간은 개인마다 다르지만, 일반적으로 수술 후 몇 주에서 몇 개월이 소요될 수 있습니다. 지속적인 물리치료와 적절한 홈 케어가 회복을 촉진합니다.
Q: 고관절 인공 관절 치환술이 필요한 경우는 언제인가요?
A: 심한 고관절 통증과 운동 제한이 보존적 치료로 개선되지 않을 때, 이 수술이 고려됩니다. 주로 고관절 골관절염이나 골절이 주된 원인입니다.
Q: 수술 후 얼마나 빨리 일상 활동으로 돌아갈 수 있나요?
A: 일상 활동으로의 복귀 시기는 개인의 회복 속도와 수술 전의 건강 상태에 따라 다릅니다. 대부분의 환자는 수술 후 몇 주 내에 기본적인 활동을 시작할 수 있으며, 완전한 회복에는 몇 개월이 소요될 수 있습니다.
'의학에 대해서' 카테고리의 다른 글
| 골다공증 진단 기준 (0) | 2023.11.18 |
|---|---|
| 골다공증 이해와 관리 방법 (0) | 2023.11.18 |
| 고관절 골관절염 이해와 관리 방법 (0) | 2023.11.18 |
| 고관절 충돌 증후군의 이해와 관리 (0) | 2023.11.17 |
| 골반 골절의 이해와 치료 (0) | 2023.11.17 |
댓글