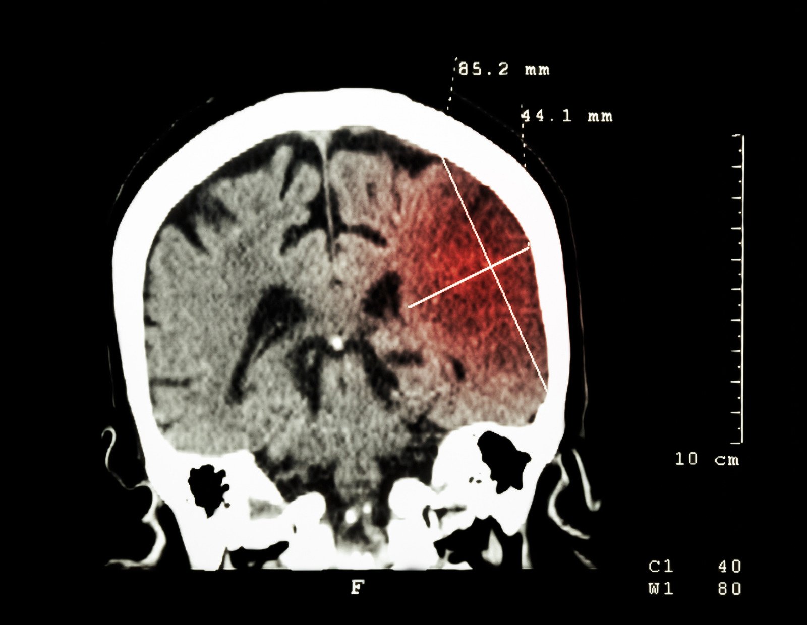
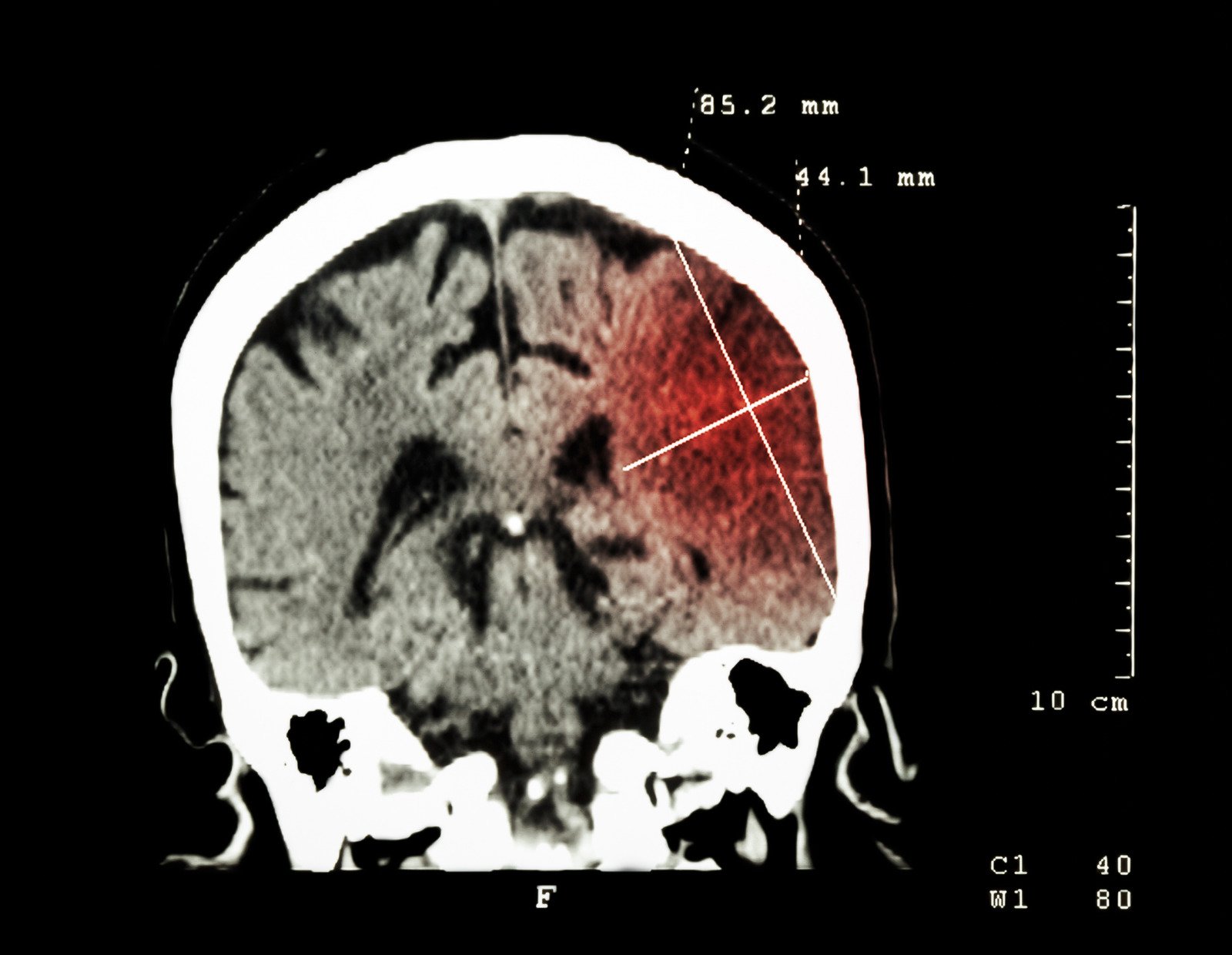
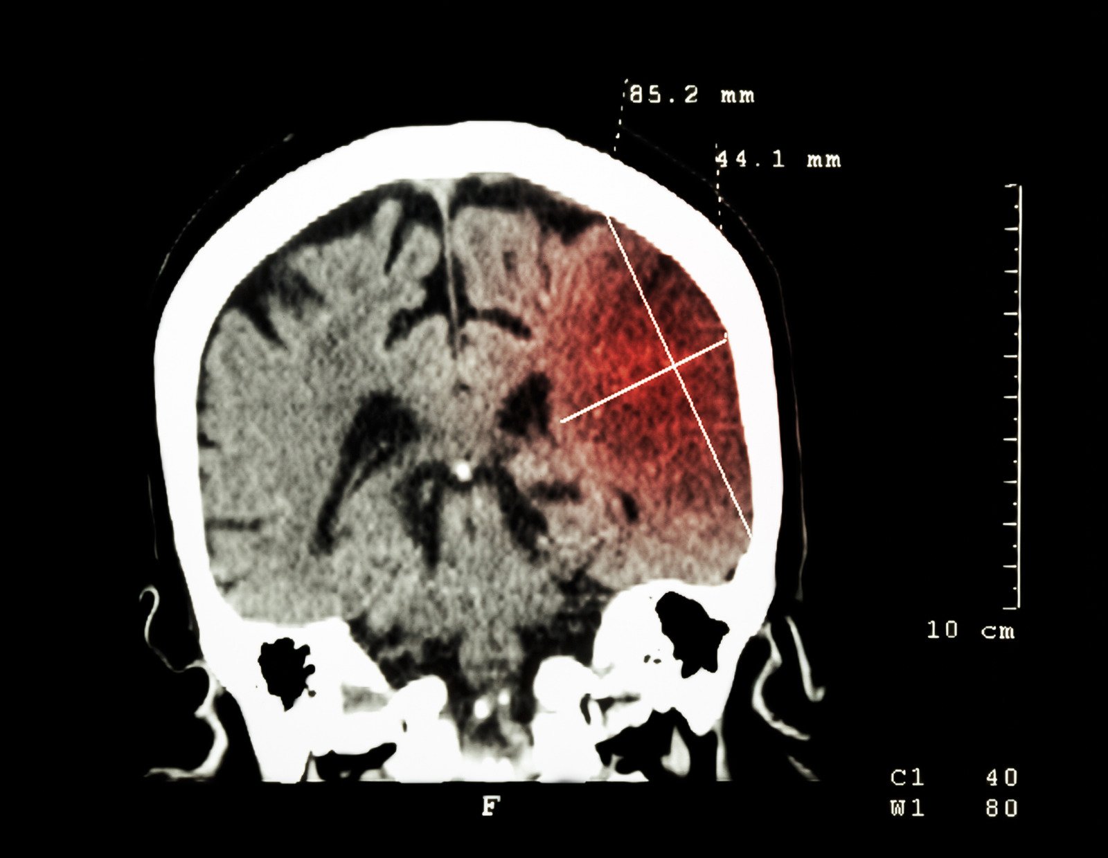
뇌경색 [Cerebral infarction]에 대한 이해
![뇌경색 [Cerebral infarction]에 대한 이해](https://blog.kakaocdn.net/dna/ph5Z1/btsITV1CbVT/AAAAAAAAAAAAAAAAAAAAAKeBtQ0uXS5Q0RWOHribXLenI_k3etD0P36ZZsPWcg2F/img.jpg?credential=yqXZFxpELC7KVnFOS48ylbz2pIh7yKj8&expires=1777561199&allow_ip=&allow_referer=&signature=FD0P3YelgxPrM%2B%2FsR5yTpOuqwVQ%3D)
뇌경색은 뇌로 가는 혈액의 흐름이 막혀 뇌 조직에 산소와 영양이 공급되지 않는 상태를 말합니다.
이로 인해 뇌세포가 손상되거나 죽게 됩니다.
뇌경색은 뇌졸중의 한 유형이며, 빠르게 치료하지 않으면 심각한 신체적, 정신적 장애를 초래할 수 있습니다. 주로 고령층에서 발생하며, 즉각적인 치료가 중요합니다.
뇌경색의 원인
혈전증
혈전증은 혈관 내부에서 혈전, 즉 혈액 응고 덩어리가 형성되어 혈류를 차단하는 상태입니다. 이는 대개 고지혈증, 고혈압, 당뇨병 등의 만성 질환과 관련이 있습니다. 혈전이 크면 클수록 혈류 차단의 위험성이 커집니다.
색전증
색전증은 혈전이나 기타 이물질이 혈류를 타고 이동하여 뇌의 혈관을 막는 현상입니다. 심장에서 생성된 혈전이 뇌로 이동하여 뇌경색을 유발할 수 있습니다. 심방세동과 같은 심장 질환이 있는 사람들에게 흔하게 발생합니다.
기타 원인
고혈압, 당뇨병, 흡연, 비만, 고지혈증 등이 뇌경색의 위험 요인으로 작용합니다. 이외에도 동맥경화, 가족력, 스트레스, 운동 부족 등이 뇌경색 발생에 영향을 줄 수 있습니다.
뇌경색의 증상
뇌경색의 증상은 발병 위치와 그 정도에 따라 다양하게 나타납니다.
주요 증상은 다음과 같습니다.
갑작스러운 한쪽 얼굴, 팔, 다리의 무감각이나 약화: 특히 한쪽에만 증상이 나타나는 경우가 많습니다.
언어 장애: 말을 제대로 하지 못하거나 이해하지 못하는 증상이 나타날 수 있습니다.
시야 장애: 한쪽 또는 양쪽 눈에 시야가 흐려지거나 보이지 않게 되는 경우가 있습니다.
어지러움 및 균형 감각 상실: 어지럼증이 발생하거나 균형을 잃고 쓰러질 수 있습니다.
갑작스러운 두통: 특히 평소와 다른 심한 두통이 나타나는 경우가 있습니다.
이러한 증상이 나타나면 즉시 응급 의료 서비스를 요청해야 합니다. 빠른 치료가 뇌 손상을 최소화하고 생명을 구할 수 있습니다.
뇌경색의 진단 및 치료
진단 방법
뇌경색은 주로 영상 촬영을 통해 진단됩니다.
가장 일반적인 방법은 CT(컴퓨터 단층 촬영) 스캔과 MRI(자기 공명 영상)입니다.
이러한 검사들은 뇌의 혈류 차단 상태를 확인하고 손상된 부위를 정확하게 파악하는 데 도움이 됩니다.
추가적으로 혈액 검사, 심장 초음파, 심전도 검사 등을 통해 뇌경색의 원인과 위험 요소를 평가합니다.
치료 방법
치료는 크게 급성기 치료와 재활 치료로 나뉩니다.
급성기 치료: 뇌경색이 발생한 즉시, 혈전을 용해하는 약물인 혈전용해제를 투여하거나 혈전을 직접 제거하는 혈전 제거술을 시행할 수 있습니다. 또한, 항응고제나 항혈소판제를 사용하여 추가 혈전 형성을 방지합니다.
재활 치료: 급성기 치료 이후, 환자는 언어 치료, 물리 치료, 작업 치료 등의 재활 과정을 통해 기능 회복을 시도합니다. 재활 치료는 환자의 상태와 손상 정도에 따라 맞춤형으로 진행됩니다.
뇌경색 예방 방법
뇌경색은 생활 습관을 개선함으로써 예방할 수 있습니다. 주요 예방 방법은 다음과 같습니다.
규칙적인 운동: 심혈관 건강을 증진시키고 혈압을 낮추며 체중을 관리하는 데 도움이 됩니다.
건강한 식습관: 저지방, 저염 식단을 유지하고 과일, 채소, 통곡물을 많이 섭취하는 것이 좋습니다.
금연 및 절주: 흡연과 과도한 음주는 뇌경색 위험을 높이므로 피해야 합니다.
만성 질환 관리: 고혈압, 당뇨병, 고지혈증 등의 만성 질환을 잘 관리하여 위험 요소를 줄이는 것이 중요합니다.
정기적인 건강 검진: 정기적으로 건강 상태를 점검하고 조기 진단과 예방을 위한 적절한 조치를 취해야 합니다.
자주 묻는 질문들
Q: 뇌경색과 뇌출혈의 차이점은 무엇인가요?
A: 뇌경색은 혈관이 막혀 혈류가 차단되는 것이고, 뇌출혈은 혈관이 터져 뇌 내 출혈이 발생하는 것을 말합니다. 두 상태 모두 뇌졸중의 일종이지만, 원인과 치료 방법이 다릅니다.
Q: 뇌경색 후유증에는 어떤 것들이 있나요?
A: 뇌경색 후유증으로는 신체의 일부분 마비, 언어 및 인지 기능 저하, 시야 문제, 균형 감각 상실 등이 있습니다. 이러한 후유증은 재활 치료를 통해 어느 정도 회복될 수 있지만, 완전한 회복이 어려운 경우도 많습니다.
Q: 뇌경색의 재발 위험을 줄이려면 어떻게 해야 하나요?
A: 재발 위험을 줄이기 위해서는 생활 습관 개선이 필수적입니다. 또한, 의사의 처방에 따라 약물 치료를 지속하며 정기적으로 건강 검진을 받는 것이 중요합니다.
혈관조영술(Angiography)에 대한 이해
혈관조영술(Angiography)에 대한 이해 혈관조영술은 혈관의 상태를 검사하는 의료 영상 진단 방법입니다. 이 검사는 혈관 내부를 시각화하여 혈류의 이상, 혈관의 좁아짐, 막힘, 기타 혈관 문제를
namo38.com
'의학에 대해서' 카테고리의 다른 글
| 알레르기 비염 [Allergic rhinitis]의 원인과 증상 (0) | 2024.08.02 |
|---|---|
| 혈전증이 원인과 치료 (0) | 2024.08.01 |
| 관내유두종 [Intraductal papilloma]에 대한 이해 (0) | 2024.08.01 |
| 뇌수막염의 유형과 치료 (0) | 2024.07.31 |
| 난소암 [Ovarian cancer]에 대한 이해 (0) | 2024.07.31 |
댓글