대동맥박리 (Aortic Dissection)의 원인과 증상, 치료
대동맥박리(Aortic dissection)는 대동맥 벽의 내막이 찢어지면서 혈액이 층간으로 유입되어 대동맥 벽을 두 층으로 분리시키는 심각한 상태입니다.
이는 생명을 위협할 수 있는 응급 상황으로 즉각적인 치료가 필요합니다 .
원인
대동맥박리의 주요 원인은 다음과 같습니다.
고혈압: 지속적인 고혈압은 대동맥벽을 약화시켜 박리의 위험을 증가시킵니다.
대동맥 협착증: 대동맥의 협착은 박리의 가능성을 높입니다.
유전적 요인: 마르판 증후군과 같은 유전 질환은 대동맥박리의 위험을 증가시킵니다.
외상: 심한 가슴 외상은 대동맥 박리를 초래할 수 있습니다 .
증상
대동맥박리의 주요 증상은 다음과 같습니다.
갑작스러운 심한 가슴 통증: 특히 칼로 찌르는 듯한 통증이 뒤로 방사될 수 있습니다.
호흡 곤란
빈맥
의식 소실
신경학적 증상: 뇌졸중과 유사한 증상 발생 가능
진단
대동맥박리를 진단하기 위해 사용되는 주요 방법은 다음과 같습니다.
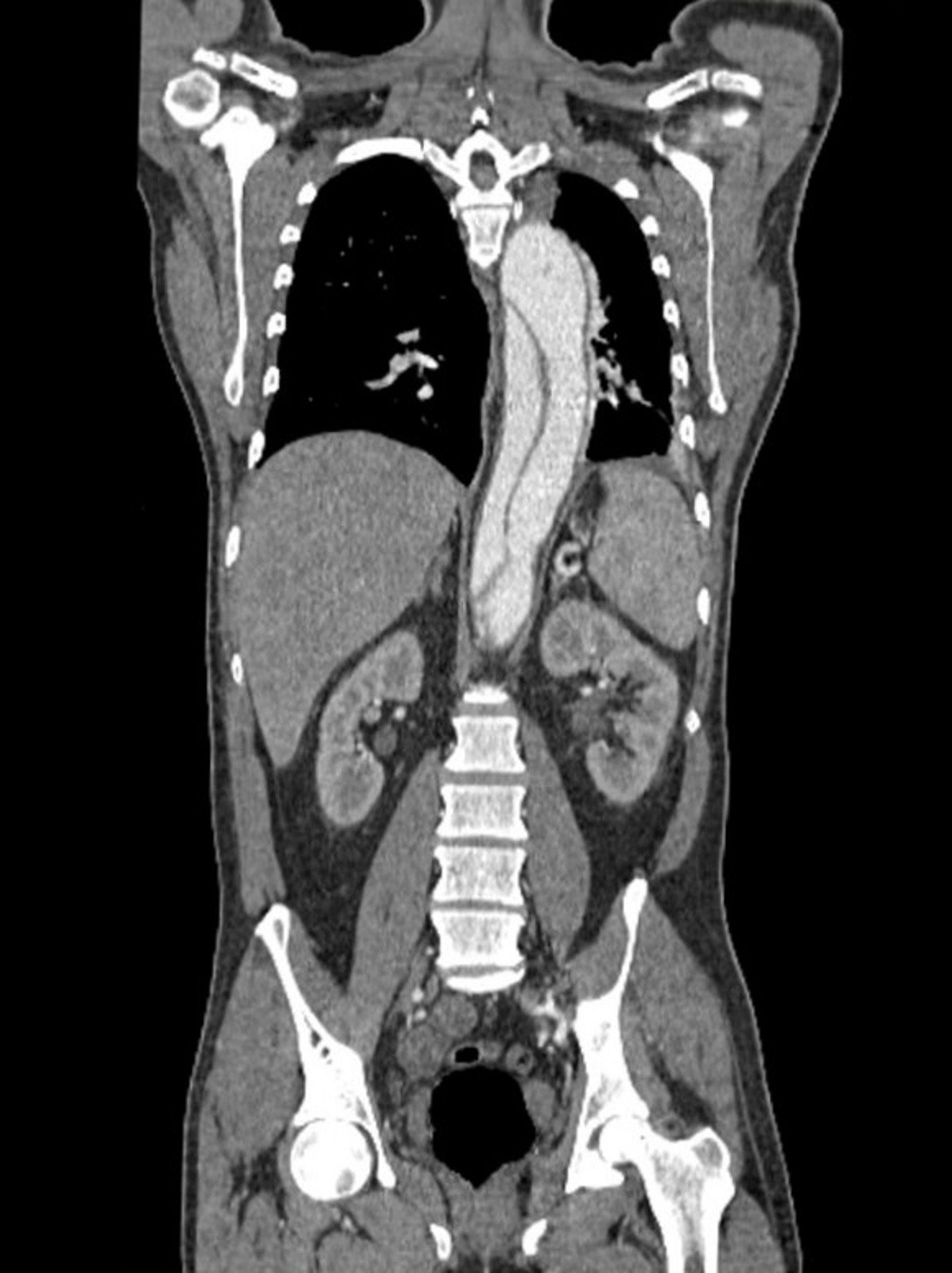
CT 스캔: 대동맥 박리를 시각적으로 확인할 수 있는 가장 일반적인 방법입니다.
MRI: 보다 자세한 이미지를 제공하여 박리의 정도를 파악할 수 있습니다.
초음파: 경식도 초음파를 통해 대동맥의 상태를 평가할 수 있습니다.
혈액 검사: 심장 효소와 같은 특정 혈액 지표를 검사하여 진단에 도움을 줄 수 있습니다.
치료
대동맥박리의 치료는 박리의 위치와 범위, 환자의 상태에 따라 다릅니다.
약물 치료: 혈압을 낮추기 위해 베타 차단제와 같은 약물을 사용합니다.
외과적 치료: 응급 수술을 통해 찢어진 대동맥을 수리하거나 인조 혈관으로 대체할 수 있습니다.
내과적 치료: 비교적 안정적인 경우 혈압 조절과 정기적인 모니터링을 통해 관리할 수 있습니다.
예방
대동맥박리를 예방하기 위해서는 다음과 같은 생활 습관 개선이 필요합니다.
혈압 관리: 정기적인 혈압 측정을 통해 고혈압을 관리합니다.
정기 검진: 유전적 요인이 있는 경우 정기적인 검진을 통해 대동맥의 상태를 모니터링합니다.
건강한 생활 습관: 금연, 규칙적인 운동, 건강한 식단이 중요합니다 .
대동맥박리는 신속한 진단과 치료가 중요한 응급 상황입니다. 관련 증상이 나타날 경우 즉시 의료기관을 방문하여 치료를 받는 것이 중요합니다.
자주 묻는 질문 (FAQ)
1. 대동맥박리란 무엇인가요?
대동맥박리(Aortic dissection)는 대동맥의 내벽이 찢어지면서 혈액이 내벽과 외벽 사이로 유입되어 층간을 분리시키는 상태입니다. 이는 매우 심각한 응급 상황으로, 신속한 진단과 치료가 필요합니다.
2. 대동맥박리의 주요 원인은 무엇인가요?
고혈압: 가장 흔한 원인으로, 고혈압은 대동맥 벽을 약화시킵니다.
유전적 요인: 마르판 증후군과 같은 유전적 질환은 대동맥박리의 위험을 증가시킵니다.
외상: 심각한 가슴 외상은 대동맥 박리를 초래할 수 있습니다.
대동맥 협착증: 대동맥의 협착 또한 박리의 위험을 높입니다.
3. 대동맥박리의 증상은 무엇인가요?
갑작스러운 심한 가슴 통증: 주로 칼로 찌르는 듯한 통증이 뒤로 방사됩니다.
호흡 곤란
빈맥
의식 소실
신경학적 증상: 뇌졸중과 유사한 증상 발생 가능.
4. 대동맥박리는 어떻게 진단하나요?
CT 스캔: 대동맥 박리를 시각적으로 확인할 수 있습니다.
MRI: 보다 자세한 이미지를 제공하여 박리의 정도를 파악할 수 있습니다.
초음파: 경식도 초음파를 통해 대동맥의 상태를 평가합니다.
혈액 검사: 심장 효소와 같은 특정 혈액 지표를 검사하여 진단에 도움을 줍니다.
5. 대동맥박리의 치료 방법은 무엇인가요?
약물 치료: 혈압을 낮추기 위해 베타 차단제와 같은 약물을 사용합니다.
외과적 치료: 응급 수술을 통해 찢어진 대동맥을 수리하거나 인조 혈관으로 대체할 수 있습니다.
내과적 치료: 비교적 안정적인 경우 혈압 조절과 정기적인 모니터링을 통해 관리합니다.
6. 대동맥박리의 위험 요인은 무엇인가요?
고혈압
흡연
마르판 증후군과 같은 유전적 요인
고령
흉부 외상.
7. 대동맥박리를 예방하는 방법은 무엇인가요?
혈압 관리: 정기적인 혈압 측정을 통해 고혈압을 관리합니다.
정기 검진: 유전적 요인이 있는 경우 정기적인 검진을 통해 대동맥의 상태를 모니터링합니다.
건강한 생활 습관: 금연, 규칙적인 운동, 건강한 식단이 중요합니다.
8. 대동맥박리 수술 후 회복 기간은 얼마나 되나요?
회복 기간은 수술의 범위와 환자의 상태에 따라 다르지만, 일반적으로 수술 후 몇 주에서 몇 달이 소요될 수 있습니다. 이 기간 동안 정기적인 병원 방문과 생활 습관 관리가 필요합니다
대동맥 박리란 무엇인가요?
대동맥 박리 대동맥 박리(Aortic dissection)은 심각한 심혈관 질환 중 하나로, 대동맥 벽 내에서 혈류가 벽층 사이를 갈라 분리시키는 상태를 말합니다. 이로 인해 대동맥 내에 새로운 통로인 가성
namo38.com
'의학에 대해서' 카테고리의 다른 글
| 안검하수 (Blepharoptosis)의 원인과 치료 (0) | 2024.08.07 |
|---|---|
| 광선각화증 (Actinic Keratosis)의 원인과 치료 (0) | 2024.08.07 |
| 복강경 항역류 수술 (Fundoplication)의 적응증과 방법 (0) | 2024.08.06 |
| 점액낭종 (Mucocele)의 원인과 치료 (0) | 2024.08.06 |
| 내시경 항역류 시술 (Endoscopic Anti-reflux Procedure) (0) | 2024.08.05 |

댓글