대동맥 박리(Aortic Dissection): 원인, 증상, 치료 및 예방법 총정리

1. 대동맥 박리(Aortic Dissection)란?
대동맥 박리는 대동맥 내벽이 찢어져 혈액이 벽 사이로 스며들면서 대동맥이 두 층으로 분리되는 치명적인 질환입니다.
이 상태는 빠르게 진행되며, 즉각적인 치료가 필요하지 않으면 생명을 위협할 수 있습니다.
2. 대동맥 박리의 원인
대동맥 박리는 일반적으로 동맥벽이 약해지거나 높은 혈압이 지속될 때 발생합니다.
주요 원인은 다음과 같습니다.
고혈압(High Blood Pressure): 높은 혈압은 대동맥 벽에 지속적으로 압력을 가해 손상을 유발할 수 있습니다.
동맥경화(Atherosclerosis): 혈관에 플라크가 쌓이면 벽이 약해질 가능성이 높아집니다.
결합 조직 질환(Marfan Syndrome, Ehlers-Danlos Syndrome): 유전적인 결합 조직 질환이 있는 경우 동맥벽이 쉽게 손상될 수 있습니다.
대동맥 판막 질환(Aortic Valve Disease): 심장과 대동맥을 연결하는 판막이 이상이 있을 경우 발생할 확률이 높아집니다.
외상(Trauma): 교통사고 등의 외상으로 인해 대동맥이 손상될 수도 있습니다.
유전적 요인(Genetic Factors): 가족력이 있는 경우 대동맥 박리 위험이 증가할 수 있습니다.
3. 대동맥 박리의 증상
대동맥 박리는 갑작스럽고 극심한 통증이 특징입니다.
주요 증상은 다음과 같습니다.
가슴과 등에 갑작스러운 찢어지는 듯한 통증
등, 어깨, 목, 턱 또는 복부로 퍼지는 통증
맥박이 불규칙하거나 혈압이 급격히 낮아짐
호흡곤란
신경학적 증상(의식 저하, 실신, 반신 마비 등)
심한 발한, 메스꺼움 및 구토
이러한 증상이 나타나면 즉시 응급실을 방문해야 합니다.
4. 대동맥 박리의 진단 방법
대동맥 박리는 신속한 진단이 필요하며, 다음과 같은 검사가 활용됩니다.
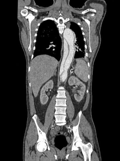
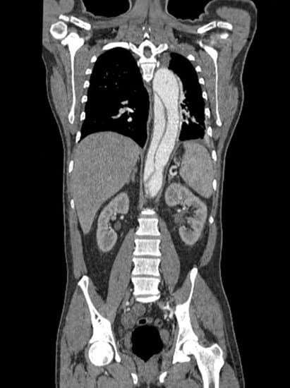
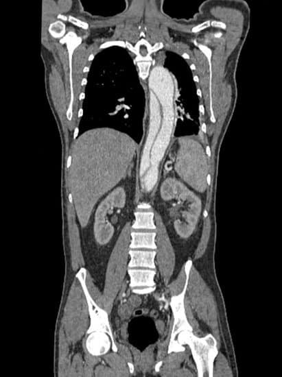
CT 혈관조영술(CT Angiography, CTA): 대동맥 상태를 가장 정확하게 평가하는 검사입니다.
MRI(Magnetic Resonance Imaging): 방사선을 사용하지 않고도 대동맥의 상태를 정밀하게 분석할 수 있습니다.
심초음파(Echocardiography): 흉부 초음파를 이용해 심장과 대동맥 상태를 확인하는 방법입니다.
X-ray: 일반적인 흉부 X-ray로도 대동맥 이상을 간접적으로 확인할 수 있습니다.
5. 대동맥 박리의 치료 방법
대동맥 박리는 응급상황이므로 신속한 치료가 필요합니다. 치료 방법은 다음과 같습니다.
1) 약물 치료
혈압과 심박수를 낮추어 대동맥에 가해지는 부담을 줄이는 약물(베타 차단제, 칼슘 채널 차단제 등)이 처방됩니다.
증상이 심하지 않고 진행 속도가 느린 경우 약물 치료만으로도 관리할 수 있습니다.
2) 수술 치료
개복 수술(Open Surgery): 손상된 대동맥을 인조 혈관으로 교체하는 방식입니다.
스텐트 삽입술(Endovascular Stent Graft): 스텐트를 삽입해 대동맥 벽을 보강하는 방법으로, 최소 침습적 수술이 가능합니다.
6. 대동맥 박리의 예방법
대동맥 박리를 예방하기 위해서는 생활 습관 관리가 필수적입니다.
혈압 조절: 고혈압이 있는 경우 정기적으로 혈압을 체크하고, 약물 복용을 철저히 해야 합니다.
건강한 식습관: 염분과 콜레스테롤이 높은 음식 섭취를 줄이고, 신선한 채소와 과일을 많이 섭취해야 합니다.
금연 및 절주: 흡연과 과음은 혈관 건강을 악화시킬 수 있으므로 반드시 피해야 합니다.
정기 건강검진: 가족력이 있거나 고위험군이라면 정기적인 건강검진을 통해 조기 진단이 중요합니다.
적절한 운동: 무리한 운동은 피하고, 유산소 운동을 규칙적으로 하는 것이 좋습니다.
7. 자주 묻는 질문(FAQ)
Q1. 대동맥 박리는 어떤 사람에게 발생할 확률이 높나요?
고혈압 환자, 흡연자, 동맥경화증이 있는 사람, 유전적 결합 조직 질환(Marfan 증후군) 환자들에게서 발생 위험이 높습니다.
Q2. 대동맥 박리는 완치될 수 있나요?
대동맥 박리는 응급 치료 후에도 지속적인 관리가 필요합니다. 수술을 받은 경우라도 정기적인 검진과 약물 치료가 필수적입니다.
Q3. 대동맥 박리와 심근경색은 어떻게 구별할 수 있나요?
둘 다 심한 가슴 통증을 유발하지만, 대동맥 박리는 주로 "찢어지는 듯한 통증"이 있으며, 등으로 퍼지는 특징이 있습니다. 심근경색은 "쥐어짜는 듯한 통증"이 특징이며, 흉부 중앙에서 압박감이 느껴집니다.
Q4. 대동맥 박리를 예방하기 위해 가장 중요한 것은 무엇인가요?
혈압 조절이 가장 중요합니다. 정기적인 건강 검진과 건강한 생활 습관을 유지하는 것이 예방의 핵심입니다.
Q5. 대동맥 박리는 재발할 수 있나요?
네, 특히 적절한 혈압 조절을 하지 않거나 건강 관리를 소홀히 하면 재발할 가능성이 있습니다. 수술 후에도 정기적인 모니터링이 필요합니다.
8. 결론
대동맥 박리는 매우 위험한 질환이지만 조기 발견과 적절한 치료를 받으면 생존율을 높일 수 있습니다.
혈압 조절, 건강한 식습관, 금연, 절주, 정기 검진 등의 예방 조치를 철저히 하면 위험을 줄일 수 있습니다.
갑작스러운 가슴 통증이 나타난다면 즉시 응급실을 방문하는 것이 가장 중요합니다.
내과적 원인으로 인한 허리 통증: 주요 질환 및 감별 방법
내과적 원인으로 인한 허리 통증: 주요 질환 및 감별 방법✅ 허리 통증(요통)은 단순한 근육통이나 디스크 질환뿐만 아니라, 내과적 질환(신장, 위장, 심혈관, 감염 등)으로도 발생할 수 있습니다
namo38.com
'의학에 대해서' 카테고리의 다른 글
| 동맥경화(Atherosclerosis): 원인, 증상, 치료 및 예방법 총정리 (0) | 2025.01.29 |
|---|---|
| 심근경색(Heart Attack, MI): 원인, 증상, 치료 및 예방법 총정리 (0) | 2025.01.29 |
| 담낭염(Gallbladder Inflammation): 원인, 증상, 치료 및 예방 (0) | 2025.01.28 |
| 췌장염(Pancreatitis): 원인, 증상, 치료 및 예방 (0) | 2025.01.28 |
| 요로결석(Kidney Stones): 원인, 증상, 치료 및 예방 (0) | 2025.01.28 |
댓글