발목 골절 수술: 골절 치료를 위한 필수적인 접근법
발목 골절은 일상 생활에 큰 불편을 초래할 수 있는 심각한 부상입니다.
심한 통증, 부기, 그리고 발목의 기능 상실은 환자의 삶의 질을 크게 저하시킬 수 있습니다.
때때로 이러한 골절은 보수적인 치료만으로는 충분하지 않을 때가 있고, 이런 경우 발목 골절 수술이 필수적일 수 있습니다.
이 글에서는 발목 골절 수술의 필요성, 절차 및 회복 과정에 대해 자세히 설명하고자 합니다.
발목 골절의 원인과 수술 필요성
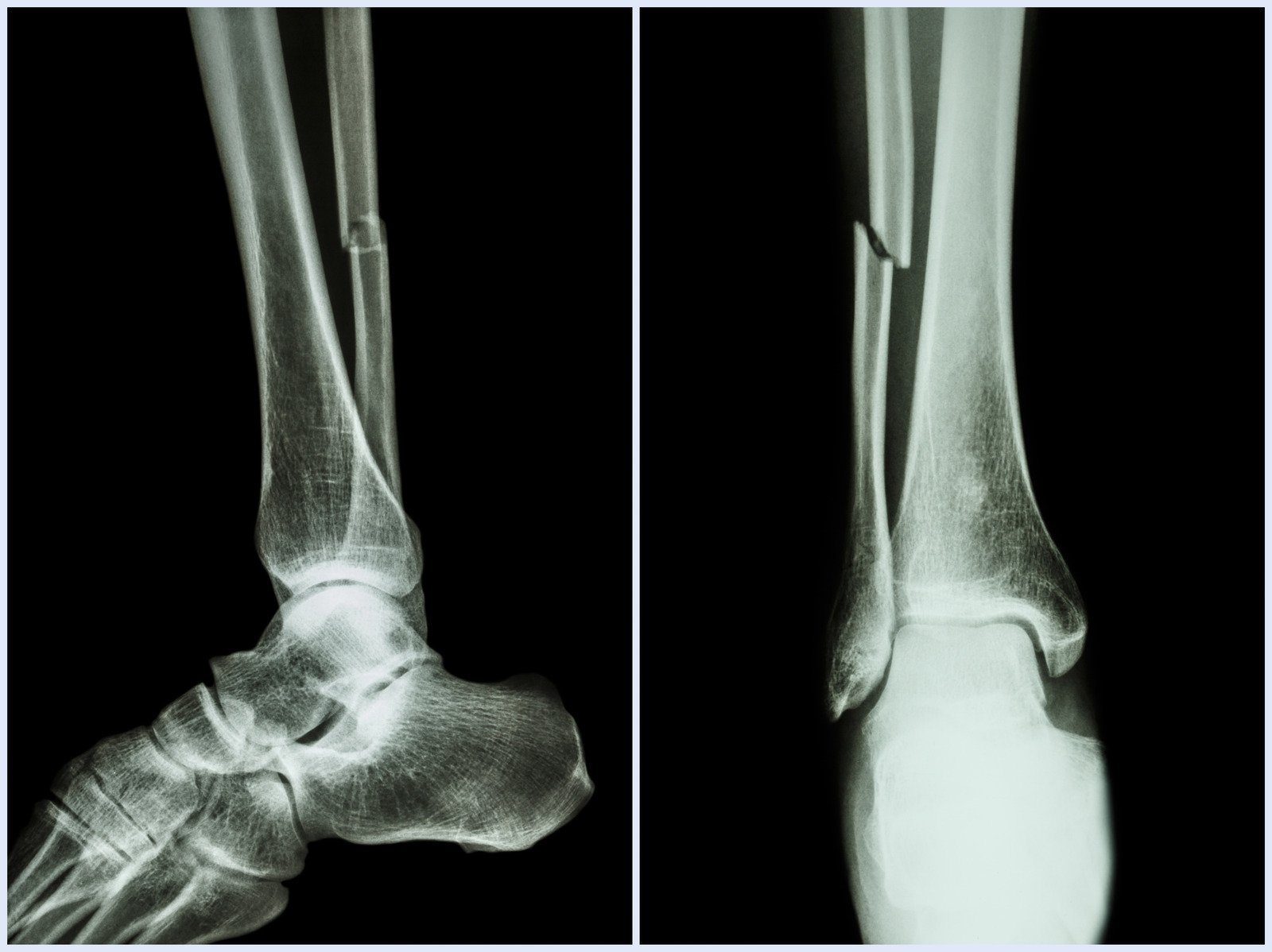
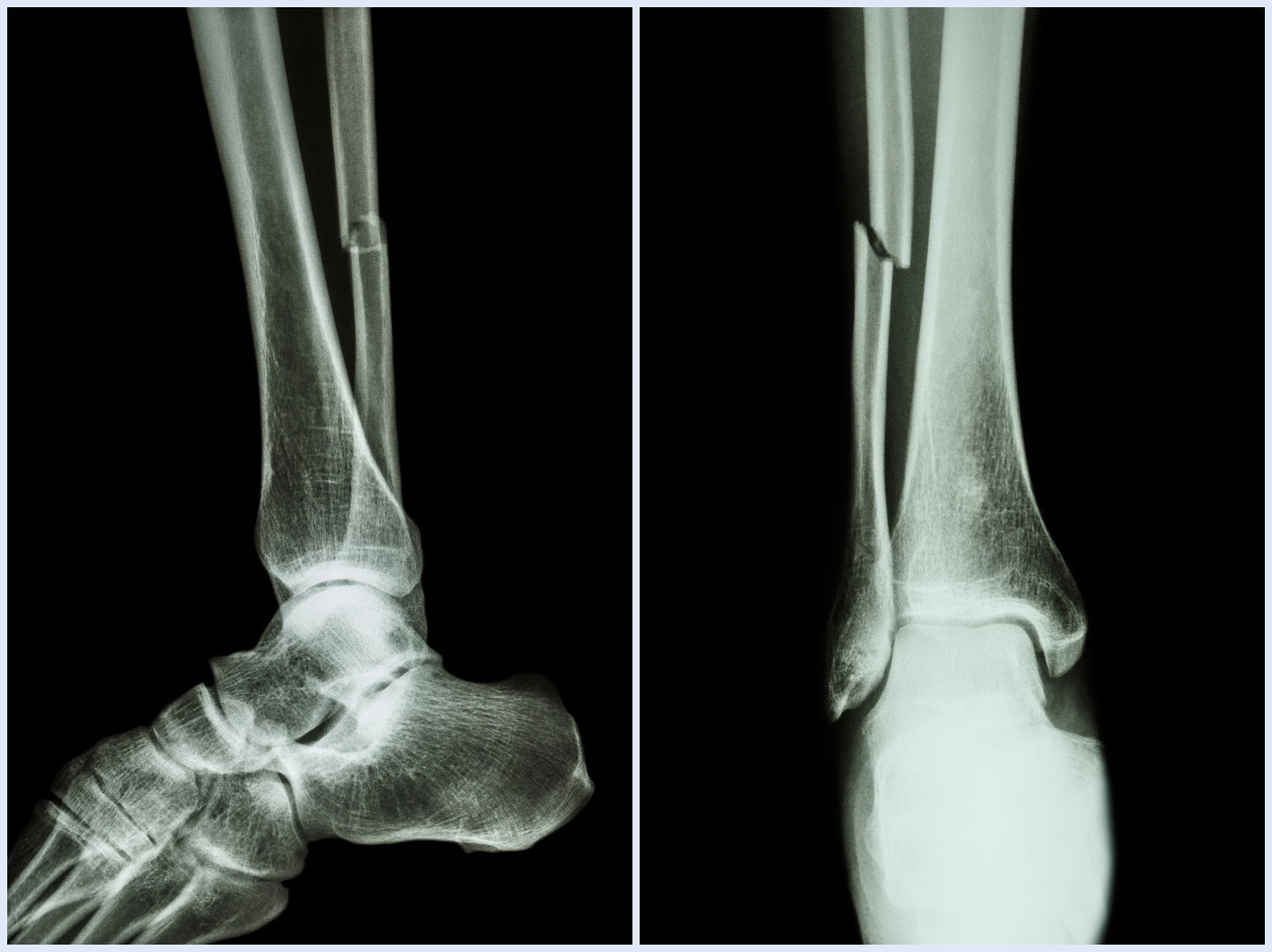
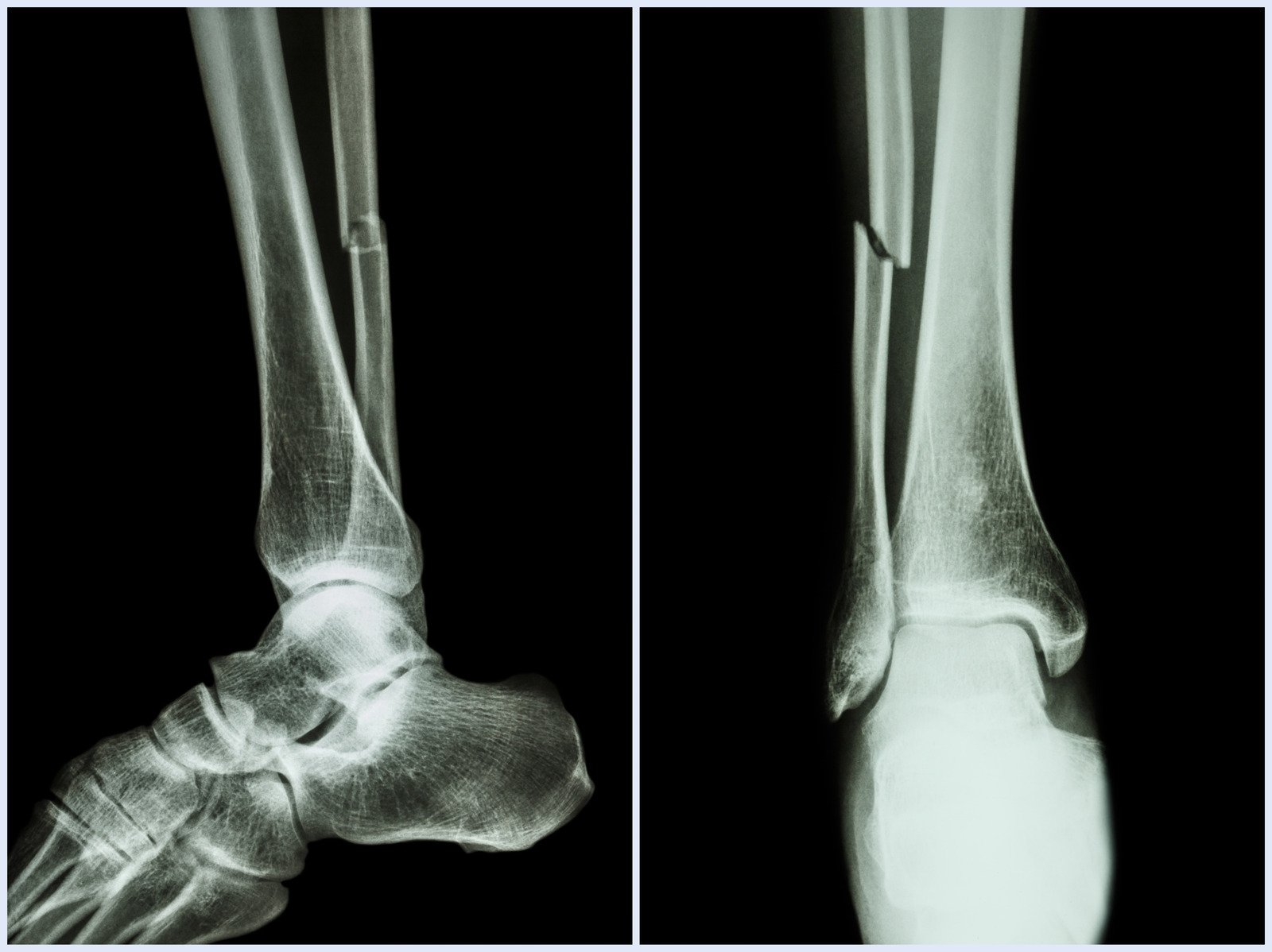
발목 골절은 교통사고, 높은 곳에서의 추락, 직접적인 충격 또는 스포츠 활동 중에 발생할 수 있습니다.
특히 발목이 비틀리거나 불안정한 표면에서의 부적절한 착지로 인해 발생하기도 합니다.
골절의 심각성에 따라 수술이 필요할 수 있으며, 골절이 불안정하거나 관절 내에 위치하는 경우, 적절한 정렬과 고정을 통해 발목의 기능을 회복하고 장기적인 문제를 예방하기 위해 수술적 개입이 고려됩니다.
수술 절차의 이해
발목 골절 수술은 전신 마취 하에 시행되며, 다음과 같은 절차를 포함합니다.
절개: 수술은 발목 주위에 작은 절개를 통해 시작됩니다. 이를 통해 의사는 손상된 뼈를 정확히 볼 수 있습니다.
정렬 및 고정: 손상된 뼈 조각들이 원래의 위치로 정렬되고, 금속 판, 나사, 핀을 사용하여 고정됩니다. 이 고정물은 뼈가 제대로 치유될 때까지 뼈 조각들을 안정적으로 유지하는 데 도움을 줍니다.
봉합 및 고정: 뼈가 안정적으로 고정되면, 절개 부위는 봉합되고 필요한 경우 부목이나 석고로 발목을 고정합니다.
회복 과정
발목 골절 수술 후 회복은 몇 주에서 몇 달이 소요될 수 있으며, 환자의 상태와 수술의 복잡성에 따라 달라집니다.
통증 관리: 수술 직후 통증이 있을 수 있으며, 의사는 통증을 관리하기 위해 적절한 진통제를 처방할 것입니다.
휴식과 부기 관리: 수술 후 처음 몇 일 동안은 발목을 높은 위치에 두고 충분한 휴식을 취해야 합니다.
물리 치료: 부목 제거 후, 물리 치료가 시작됩니다. 이는 발목의 강도와 유연성을 회복하는 데 도움을 주며, 점차 일상 활동으로 복귀하는 데 중요한 역할을 합니다.
잠재적 위험과 주의사항
모든 수술과 마찬가지로 발목 골절 수술에는 감염, 신경 손상, 혈관 손상, 혈전 등의 위험이 있습니다.
수술 후 정기적인 검진과 의사의 지시에 따르는 것이 중요하며, 발목에 비정상적인 통증이나 부기가 지속되면 즉시 의료 도움을 받아야 합니다.
발목 골절 수술은 적절한 회복과 관리를 통해 발목의 기능을 효과적으로 회복할 수 있는 중요한 수단입니다.
이 수술은 환자가 다시 활동적인 생활을 영위할 수 있도록 돕습니다.
만약 발목 골절을 경험하고 있다면, 전문 정형외과 의사와 상의하여 최선의 치료 방법을 모색하는 것이 좋습니다.
발목 관절경 수술: 최소 침습 수술로 빠른 회복을 돕는 방법
발목 관절경 수술: 최소 침습 수술로 빠른 회복을 돕는 방법발목 통증은 스포츠 활동, 오랜 기간의 사용, 또는 사고로 인해 발생할 수 있으며, 때로는 일상 생활에 큰 지장을 줄 수 있습니다.발목
namo38.com
'의학에 대해서' 카테고리의 다른 글
| 무지 외반증의 수술 방법 (0) | 2024.05.10 |
|---|---|
| 무지 외반증 이해하기 (0) | 2024.05.10 |
| 발목 관절경 수술: 최소 침습 수술로 빠른 회복을 돕는 방법 (0) | 2024.05.09 |
| 발목 유합술(Ankle Fusion)에 대한 이해 (0) | 2024.05.09 |
| 발목 관절 성형술에 대한 이해 (0) | 2024.05.08 |

댓글