발목 골절: 원인, 증상, 치료 및 회복 과정
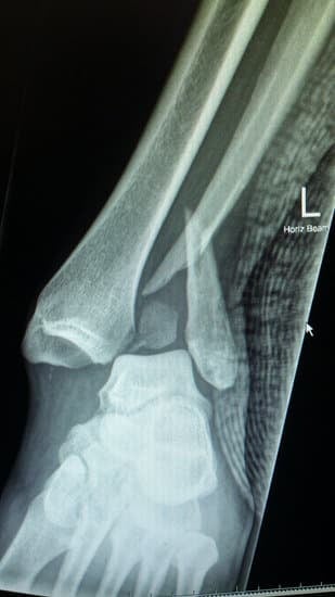
발목 골절은 발목을 구성하는 뼈인 경골(정강이뼈), 비골(종아리뼈), 거골 중 하나 이상이 부러지는 상태를 의미합니다.
이는 스포츠 부상, 교통사고, 낙상 등 다양한 원인으로 발생하며, 골절의 정도에 따라 치료 방법과 회복 시간이 달라집니다.
발목 골절의 원인
넘어짐 또는 낙상: 높은 곳에서 떨어지거나 발을 헛디뎌 넘어지면서 발목에 강한 힘이 가해질 때 골절이 발생할 수 있습니다.
스포츠 부상: 축구, 농구, 러닝 등 빠른 속도로 움직이거나 방향을 급격히 전환하는 운동 중 발목에 비틀림이 생겨 골절이 발생할 수 있습니다.
교통사고: 자동차 사고나 자전거 사고와 같은 교통사고로 발목에 심한 충격이 가해지면 골절이 일어날 수 있습니다.
피로 골절: 발목에 지속적인 스트레스가 가해질 경우 뼈에 미세한 균열이 생기며, 이를 피로 골절이라 합니다. 주로 달리기나 걷기 같은 반복적인 동작을 통해 발생합니다.
발목 골절의 증상
통증: 골절된 부위에 극심한 통증이 발생하며, 발을 디딜 때 통증이 더 심해집니다.
부종: 발목 부위가 붓고, 손으로 만졌을 때 압통이 느껴집니다.
멍: 혈관이 손상되어 골절 부위에 멍이 들 수 있습니다.
기형: 심한 골절의 경우, 발목이 비정상적인 각도로 구부러지거나 변형된 상태로 보일 수 있습니다.
운동 제한: 골절로 인해 발목을 움직이기가 어렵고, 걸을 수 없는 상태가 됩니다.
발목 골절의 치료 방법
비수술적 치료
깁스: 골절이 심하지 않고 뼈가 잘 맞춰진 상태라면 깁스를 하여 뼈가 회복되도록 할 수 있습니다.
보조기 및 목발 사용: 골절 부위를 보호하고 움직임을 제한하기 위해 보조기구를 사용합니다. 목발을 사용하여 체중이 발목에 실리지 않도록 도와줍니다.
수술적 치료
고정술: 뼈가 많이 어긋나 있거나 골절 부위가 복잡할 경우, 수술을 통해 핀, 나사 또는 금속판으로 뼈를 고정하는 방법이 사용됩니다.
관절 고정 수술: 뼈가 심각하게 부러지거나 관절에 손상이 동반될 경우, 뼈와 관절을 고정하여 회복을 돕습니다.
발목 골절의 회복 과정
치료 후 초기 회복: 골절 후 초기에는 붓기와 통증을 줄이기 위해 충분한 휴식과 함께 얼음찜질을 자주 하고, 발목을 높게 올려놓습니다. 깁스를 하거나 보조기구를 사용하는 기간 동안 체중을 발목에 실지 않도록 주의합니다.
재활 치료: 깁스나 보조기가 제거된 후에는 물리치료를 통해 발목의 유연성과 근력을 회복시키는 것이 중요합니다. 스트레칭, 가벼운 운동, 근력 강화 훈련 등을 통해 정상적인 발목 기능을 회복할 수 있습니다.
완전한 회복: 발목 골절에서 완전히 회복되기까지는 골절의 심각도에 따라 6주에서 12주 정도가 소요됩니다. 수술을 받았거나 심한 골절의 경우 더 오랜 시간이 걸릴 수 있습니다.
자주 묻는 질문 (FAQ)
1. 발목 골절 후 언제부터 걸을 수 있나요?
일반적으로 골절 후 6~8주 정도의 고정 기간이 필요하며, 이후 보조기구를 이용해 체중을 점차 실어가면서 걷기 연습을 시작합니다. 회복 속도는 골절 정도와 치료 방법에 따라 다릅니다.
2. 수술 없이 발목 골절을 치료할 수 있나요?
골절의 정렬 상태가 양호하고 복잡하지 않은 경우 수술 없이 깁스나 보조기구로 치료가 가능합니다. 하지만 뼈가 크게 어긋났거나 골절이 복잡한 경우에는 수술이 필요할 수 있습니다.
3. 발목 골절 후 재발 방지 방법은 무엇인가요?
발목의 근력과 유연성을 강화하는 운동을 꾸준히 하고, 무리한 운동을 피하며, 발목 보호대를 착용하여 발목을 보호하는 것이 좋습니다.
발목 골절은 적절한 치료와 재활을 통해 회복될 수 있으며, 꾸준한 관리를 통해 재발을 방지하는 것이 중요합니다.
발목 통증 관리: 원인과 효과적인 치료법
발목 통증 관리: 원인과 효과적인 치료법발목 통증은 일상생활에서 흔히 발생하는 문제로, 발목의 구조적 손상이나 부상, 과사용으로 인해 발생할 수 있습니다.발목 통증은 갑작스러운 충격으
namo38.com
'의학에 대해서' 카테고리의 다른 글
| 골관절염 (Osteoarthritis): 원인, 증상, 치료 및 관리 (0) | 2024.10.14 |
|---|---|
| 발목 관절염: 원인, 증상, 치료 및 관리 (0) | 2024.10.14 |
| 건염(Tendinitis): 원인, 증상, 치료 및 예방 방법 (0) | 2024.10.14 |
| 발목 염좌 (발목 삠): 개요와 치료법 (0) | 2024.10.13 |
| 발목 통증 관리: 원인과 효과적인 치료법 (0) | 2024.10.13 |

댓글