성장판 손상: 원인, 증상 및 치료 방법
성장판은 뼈의 끝부분에 위치하며, 뼈가 성장하는 동안 새로운 뼈를 만들어내는 중요한 역할을 합니다.
성장판은 연골 조직으로 구성되어 있으며, 성장이 완료되면 단단한 뼈로 변합니다.
그러나 성장기 어린이와 청소년에게 외상이나 골절이 발생할 경우 성장판이 손상될 수 있으며, 이로 인해 뼈의 성장이 비정상적으로 진행될 위험이 있습니다.
성장판 손상은 즉각적인 치료와 주의 깊은 관리가 필요합니다.
성장판 손상의 원인
성장판 손상은 주로 외부의 충격으로 발생하며, 어린이와 청소년에게서 흔하게 나타날 수 있습니다. 주요 원인은 다음과 같습니다.
낙상과 충돌: 운동 중 넘어지거나 부딪혀서 성장판 부위가 충격을 받으면 손상이 발생할 수 있습니다.
스포츠 활동: 농구, 축구, 스케이트보드, 자전거 등 활동량이 많은 스포츠에서 넘어지거나 외상이 발생할 수 있습니다.
교통사고: 어린이가 교통사고로 인해 외상을 입을 경우 성장판이 손상될 위험이 높아집니다.
골절 및 압박: 뼈가 부러지면서 성장판에 직접적인 손상을 주거나, 무거운 하중이 뼈에 가해질 때 성장판이 압박되어 손상될 수 있습니다.
성장판 손상의 주요 증상
성장판 손상은 즉각적인 통증과 함께 다양한 증상이 나타날 수 있으며, 손상이 발생한 부위에 따라 증상이 달라질 수 있습니다.
심한 통증: 성장판 부위에 통증이 나타나며, 다치거나 부딪힌 후 통증이 계속되거나 점점 심해질 수 있습니다.
부기와 멍: 손상 부위에 부기와 멍이 나타나며, 특히 손목, 팔꿈치, 무릎, 발목 등의 부위에서 잘 발생합니다.
움직임 제한: 손상 부위의 움직임이 제한되거나 움직일 때 심한 통증을 느낄 수 있습니다.
뼈의 비대칭 성장: 성장판이 손상되면 해당 부위의 뼈가 비대칭적으로 자라거나, 한쪽 팔 또는 다리가 비정상적으로 짧아질 수 있습니다.
기형적 변형: 손상된 부위에 비정상적인 변형이 나타나며, 시간이 지나면서 점점 더 명확해질 수 있습니다.
성장판 손상의 진단 방법
성장판 손상을 진단하기 위해 의료진은 다음과 같은 방법을 사용할 수 있습니다.
신체 검사: 부상 부위를 시진하고, 통증 부위와 변형 여부를 확인합니다.
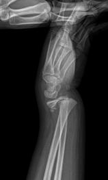
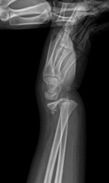
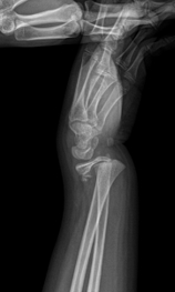
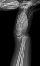
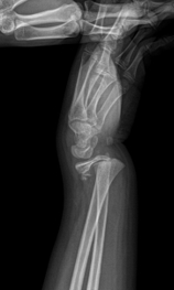
엑스레이(X-ray): 성장판 손상의 유무와 정도를 확인하기 위해 X-ray 촬영을 시행합니다. 그러나 일부 경우 성장판 손상은 엑스레이에서 명확하게 보이지 않을 수 있습니다.
MRI: X-ray로 확인되지 않는 성장판 손상의 경우 MRI를 통해 연골과 연부 조직 상태를 자세히 확인합니다. 특히 성장판 부위의 상태를 더 정밀하게 볼 수 있습니다.
CT 스캔: 뼈 구조와 손상의 위치를 더 자세히 파악하기 위해 CT 스캔이 사용될 수 있습니다.
성장판 손상의 치료 방법
성장판 손상은 손상의 위치와 정도, 환자의 나이에 따라 치료 방법이 달라질 수 있습니다.
손상이 경미한 경우에는 비수술적 치료로 회복할 수 있지만, 심각한 손상은 수술적 치료가 필요할 수 있습니다.
1. 비수술적 치료
깁스와 부목 고정: 성장판 손상이 경미한 경우 깁스나 부목으로 손상 부위를 고정하여 뼈가 회복되도록 도와줍니다.
휴식과 관리: 성장판에 무리가 가지 않도록 충분한 휴식을 취하고, 무거운 운동이나 활동을 피합니다.
물리치료: 회복 기간 동안 근육이 약해지지 않도록 적절한 물리치료를 시행합니다.
2. 수술적 치료
정복 및 핀 고정: 성장판 손상이 심하거나 뼈가 원래 위치에서 벗어난 경우, 정복(뼈를 맞추는 과정)을 통해 뼈를 올바르게 맞추고 핀이나 나사로 고정합니다.
플레이트와 나사: 복잡한 골절인 경우 플레이트와 나사를 삽입해 성장판과 뼈를 고정하고 회복을 돕습니다.
성장 조절 수술: 성장판이 크게 손상되어 성장 불균형이 예상되는 경우, 남아있는 성장판을 조절하여 비대칭 성장을 방지할 수 있는 수술을 시행할 수 있습니다.
성장판 손상 후 회복 및 관리
성장판 손상은 회복 후에도 신중한 관리가 필요하며, 장기적으로 성장 상태를 주기적으로 확인해야 합니다.
충분한 휴식과 안정을 취하기: 회복 기간 동안 손상 부위에 무리가 가지 않도록 안정적으로 휴식을 취합니다.
균형 잡힌 식사: 성장판 회복을 돕기 위해 칼슘, 비타민 D 등 뼈 건강에 도움이 되는 영양소를 충분히 섭취하는 것이 중요합니다.
정기적인 성장 확인: 성장판이 손상된 부위의 성장이 정상적으로 이루어지는지 확인하기 위해 정기적으로 검진을 받습니다.
적절한 운동 및 재활: 깁스를 제거한 후 근육과 관절의 유연성을 유지하고 강화하기 위한 물리치료와 재활 운동을 진행합니다.
성장판 손상 예방 방법
성장판 손상을 예방하기 위해서는 안전한 생활 습관과 적절한 보호 장비가 중요합니다.
안전 장비 착용: 자전거, 스케이트보드, 인라인 등 위험한 활동을 할 때는 헬멧, 무릎 보호대, 팔꿈치 보호대 등을 착용합니다.
낙상 방지: 어린이의 활동을 주의 깊게 지켜보고, 위험한 장소에서 놀이를 피하도록 유도합니다.
균형 잡힌 운동: 근육과 뼈가 균형 있게 발달할 수 있도록 다양한 운동을 골고루 시키는 것이 중요합니다.
충분한 휴식: 과도한 운동으로 인해 피로가 쌓이지 않도록 주기적으로 충분히 휴식을 취합니다.
자주 묻는 질문 (FAQ)
Q1. 성장판 손상이 회복된 후에도 성장에 영향이 있을까요?
A. 성장판 손상은 장기적으로 성장에 영향을 줄 수 있습니다. 특히 심한 손상의 경우 해당 부위의 성장이 비정상적으로 진행될 수 있으므로 정기적인 검진을 통해 성장 상태를 확인해야 합니다.
Q2. 성장판 손상 후 일상 생활로 돌아갈 수 있는 기간은 어느 정도인가요?
A. 경미한 손상은 4~6주 내에 회복될 수 있지만, 심각한 손상의 경우 3개월 이상 회복 기간이 필요할 수 있습니다. 또한, 회복 후에도 적절한 재활과 운동이 필요합니다.
Q3. 성장판 손상은 반드시 수술이 필요한가요?
A. 경미한 손상은 비수술적 치료로 회복될 수 있으며, 심각한 경우에만 수술적 치료가 필요합니다. 성장판 손상의 정도와 위치에 따라 치료 방법이 달라집니다.
Q4. 성장판 손상이 완치된 후에도 성장 차이가 발생할 수 있나요?
A. 네, 성장판 손상으로 인해 성장 불균형이 발생할 수 있습니다. 성장판 손상 부위의 성장 속도가 느려지거나 비정상적인 성장이 나타날 수 있으므로, 정기적인 관찰과 검진이 필요합니다.
성장판 손상은 어린이와 청소년의 성장과 발달에 큰 영향을 미칠 수 있으므로, 조기에 발견하고 적절히 치료하는 것이 중요합니다.
성장이 완료되기 전까지는 정기적인 검진과 관찰을 통해 뼈가 정상적으로 자라고 있는지 확인하는 것이 필요합니다.
소아의 골절: 원인, 증상, 치료 및 회복
소아의 골절: 원인, 증상, 치료 및 회복소아는 성인에 비해 뼈가 유연하고 탄력이 있지만, 활동량이 많고 성장 중이기 때문에 골절이 자주 발생할 수 있습니다.소아의 골절은 성인과 다르게 발생
namo38.com
'의학에 대해서' 카테고리의 다른 글
| 증족골 내반 변형: 원인, 증상 및 치료 방법 (0) | 2024.11.05 |
|---|---|
| 안짱걸음: 원인, 증상 및 교정 방법 (0) | 2024.11.05 |
| 소아의 골절: 원인, 증상, 치료 및 회복 (0) | 2024.11.04 |
| 척추 측만증: 원인, 증상 및 치료 방법 (0) | 2024.11.04 |
| 성장통: 원인, 증상 및 관리 방법 (0) | 2024.11.04 |

댓글