심초음파 (Echocardiography): 개요, 절차 및 활용
심초음파(Echocardiography)는 초음파를 이용하여 심장의 구조와 기능을 평가하는 비침습적 진단 기법입니다.
고주파 음파를 이용해 심장의 내부 모습을 실시간으로 보여주며, 심장의 움직임, 혈류, 심장벽의 두께 등을 평가할 수 있습니다.
심초음파는 심장 질환의 진단과 치료 계획 수립에 중요한 역할을 합니다.
절차
1. 준비
의료 기록 검토: 환자의 과거 의료 기록과 현재 상태를 확인하여 필요한 검사를 계획합니다.
특별 준비 없음: 대부분의 경우 특별한 준비가 필요하지 않지만, 특정 검사(예: 경식도 심초음파)에서는 금식이 요구될 수 있습니다.
2. 검사 과정
환자 위치: 환자는 검사 침대에 누워 왼쪽으로 몸을 돌립니다. 이는 심장의 최적의 이미지를 얻기 위함입니다.
젤 도포: 초음파 탐촉자(transducer)가 피부와 잘 접촉하도록 투명한 젤을 흉부에 도포합니다.
초음파 탐촉자 사용: 의료진이 탐촉자를 흉부 위에 이동시키면서 심장의 다양한 각도에서 영상을 얻습니다. 이 과정에서 실시간 영상이 모니터에 표시됩니다.
영상 분석: 실시간으로 수집된 영상을 분석하여 심장의 구조와 기능을 평가합니다.
활용
심초음파는 다양한 심장 질환의 진단과 치료에 폭넓게 사용됩니다.
심장 구조 평가
심장 크기와 형태: 심장의 크기와 형태를 평가하여 비대, 확장 등의 이상을 발견합니다.
심장 벽 두께: 심장 벽의 두께를 측정하여 비후성 심근병증 등을 진단합니다.
심장 기능 평가
수축과 이완 기능: 심장의 수축과 이완 기능을 평가하여 심부전 등을 진단합니다.
판막 기능: 심장 판막의 움직임과 기능을 평가하여 판막 협착증, 판막 역류 등을 진단합니다.
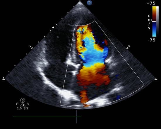
혈류 평가
혈류 속도와 방향: 도플러 초음파를 이용해 심장 내 혈류의 속도와 방향을 평가합니다. 이는 심장 내 압력 차이를 측정하는 데 유용합니다.
혈관 폐색: 혈관의 폐색 여부를 확인하여 심장 질환을 진단합니다.
장점과 단점
장점
비침습적: 절개나 삽입 없이 안전하게 검사할 수 있습니다.
실시간 영상: 심장의 움직임과 기능을 실시간으로 평가할 수 있습니다.
광범위한 정보: 심장의 구조, 기능, 혈류 등을 종합적으로 평가할 수 있습니다.
단점
제한된 시야: 비만 환자나 폐 기종이 있는 경우, 초음파 신호가 잘 통과하지 않아 이미지가 불분명할 수 있습니다.
기술 의존성: 검사 결과의 정확성은 의료진의 기술과 경험에 크게 의존합니다.
자주 묻는 질문
Q1: 심초음파 검사는 얼마나 자주 받아야 하나요?
A1: 심초음파 검사는 환자의 상태와 필요에 따라 결정됩니다. 정기적인 추적 관찰이 필요한 경우 주기적으로 검사를 받을 수 있습니다.
Q2: 심초음파 검사는 통증이 있나요?
A2: 심초음파 검사는 비침습적이며, 통증 없이 진행됩니다. 경식도 심초음파의 경우 약간의 불편함이 있을 수 있습니다.
Q3: 심초음파 검사 결과는 얼마나 정확한가요?
A3: 심초음파 검사는 매우 정확한 정보를 제공하지만, 결과의 정확성은 의료진의 기술과 경험에 따라 달라질 수 있습니다.
심초음파는 심장의 구조와 기능을 평가하는 중요한 도구로, 심장 질환의 조기 진단과 치료에 큰 도움을 줍니다.
필요한 경우 전문의와 상담하여 적절한 검사를 받는 것이 중요합니다.
초음파 검사: 개요, 절차 및 활용
초음파 검사: 개요, 절차 및 활용 초음파 검사(Ultrasound, Sonography)는 고주파 음파를 이용하여 신체 내부 구조를 시각화하는 비침습적 진단 기법입니다.초음파는 신체 조직에 반사되어 돌아오는
namo38.com
'의학에 대해서' 카테고리의 다른 글
| 도플러 초음파: 원리와 적용 (0) | 2024.07.02 |
|---|---|
| 복부 초음파 검사: 개요, 절차 및 활용 (0) | 2024.07.01 |
| 초음파 검사: 개요, 절차 및 활용 (0) | 2024.07.01 |
| MRA(자기공명 혈관조영술): 개요, 절차 및 활용 (0) | 2024.06.30 |
| MRI(자기공명영상): 개요, 절차 및 활용 (0) | 2024.06.30 |

댓글