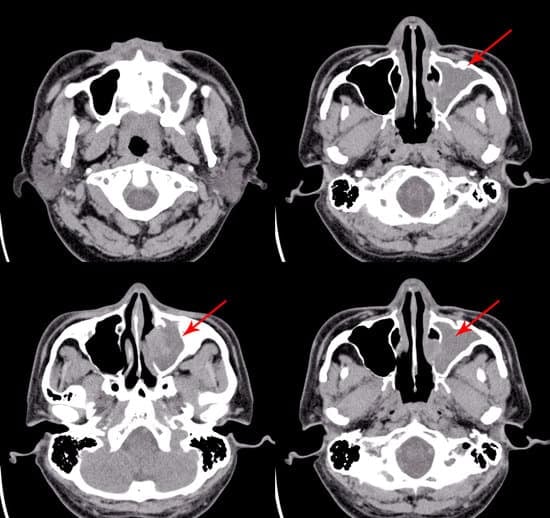
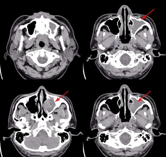
영상 검사: CT 스캔으로 만성 부비동염 및 복잡한 부비동 문제 진단

CT 스캔(Computed Tomography)은 만성 부비동염 및 복잡한 부비동 문제를 정밀하게 확인하는 데 사용되는 영상 검사 방법입니다. 특히, 단순한 신체검사나 내시경으로 파악하기 어려운 부비동 내부 상태를 상세히 진단할 수 있습니다.
1. CT 스캔의 역할
부비동의 해부학적 구조 확인:
부비동 내부의 염증, 농(고름), 점막 두꺼움 등 관찰.
복잡한 경우 평가:
만성 부비동염, 재발성 부비동염, 또는 구조적 문제(비중격 만곡, 코폴립 등) 진단.
수술 계획 수립:
부비동 수술 또는 비중격 교정술 전 정확한 해부학적 정보를 제공.
2. CT 스캔이 필요한 경우
만성 부비동염:
12주 이상 지속되는 부비동염.
재발성 부비동염:
반복적으로 부비동염이 발생하는 경우.
코막힘 또는 부비동 폐쇄:
비중격 만곡, 코폴립 등의 구조적 문제로 인해 코막힘이 심한 경우.
수술 전 평가:
내시경 부비동 수술 또는 기타 부비동 관련 수술 전 필요한 경우.
합병증 의심:
농양, 안와 감염(눈 주변 염증), 또는 뇌로의 감염 확산이 의심될 때.
3. CT 스캔 과정
1) 검사 준비
별도의 준비는 필요 없으며, 금속 액세서리(안경, 귀걸이 등)를 제거.
조영제를 사용하지 않는 경우가 일반적.
2) 검사 진행
환자는 누운 상태에서 CT 기계에 들어가며, 몇 분 내로 촬영 완료.
비강 및 부비동 부위를 중심으로 다양한 각도에서 영상을 촬영.
3) 검사 시간
보통 10~15분 소요.
4) 방사선 노출
방사선이 사용되지만, 최소량으로 안전하게 진행.
4. CT 스캔으로 확인 가능한 사항
부비동 내 염증 및 농:
점막 두꺼움, 부비동에 고인 농 또는 액체 확인.
비중격 만곡:
비중격의 휘어진 상태와 이에 따른 부비동 폐쇄 정도 평가.
코폴립:
부비동 내부에 생긴 폴립(비정상적인 조직 성장).
부비동 구조적 이상:
비강 및 부비동의 선천적 또는 후천적 구조 문제.
합병증:
안와 감염, 농양, 또는 뇌와 연결된 부위의 염증 여부.
5. CT 스캔의 장점
고해상도 이미지:
부비동 내부를 3차원적으로 상세히 확인 가능.
신속한 결과:
검사 후 빠르게 결과를 분석할 수 있음.
비침습적:
외과적 절개 없이 내부 상태를 진단.
수술 계획에 도움:
정확한 해부학적 정보를 제공하여 안전한 수술 계획 가능.
6. CT 스캔 후 결과 해석
정상:
부비동 내부에 염증, 농, 또는 구조적 이상 없음.
만성 부비동염:
점막 두꺼움, 농 또는 부비동 내 공기 흐름 차단 확인.
구조적 문제:
비중격 만곡, 코폴립, 또는 부비동 폐쇄 관찰.
합병증:
염증이 안와나 뇌로 확산된 경우 추가 치료 필요.
7. 주의사항 및 부작용
1) 방사선 노출
방사선 노출량이 적지만, 임산부나 방사선 노출이 민감한 환자는 다른 진단 방법 고려.
2) 검사 전 알레르기 확인
조영제를 사용하는 경우 드물게 알레르기 반응 발생 가능(일반적인 부비동 CT에서는 조영제를 사용하지 않음).
8. 자주 묻는 질문 (FAQ)
Q1. CT 스캔은 반드시 필요한 검사인가요?
단순한 부비동염의 경우 필요하지 않지만, 만성 부비동염 또는 복잡한 문제가 의심될 때 권장됩니다.
Q2. CT 스캔과 MRI의 차이는 무엇인가요?
CT 스캔: 뼈와 구조적 문제 확인에 탁월.
MRI: 연조직, 종양, 또는 신경 관련 문제 평가에 적합.
Q3. CT 스캔 후 바로 일상생활이 가능한가요?
네, 검사 후 특별한 제한 없이 바로 일상생활이 가능합니다.
Q4. CT 스캔은 얼마나 자주 받아야 하나요?
만성적인 문제를 확인하거나 수술 전후 상태 평가를 위해 필요 시 받습니다.
Q5. CT 스캔은 어린이에게도 안전한가요?
필요한 경우 최소 방사선량으로 안전하게 진행할 수 있지만, 다른 진단 방법을 먼저 고려할 수 있습니다.
9. 결론
CT 스캔은 만성 부비동염 및 복잡한 코와 부비동 문제를 정밀히 평가하는 데 효과적인 영상 검사 방법입니다.
정확한 진단을 통해 적절한 치료 계획을 세우는 데 도움을 주며, 특히 수술을 준비하거나 합병증이 의심될 때 필수적인 검사로 사용됩니다. 의료진과의 상담을 통해 검사 필요 여부를 결정하세요.
부비동염(Sinusitis): 원인, 증상, 치료 및 관리
부비동염(Sinusitis): 원인, 증상, 치료 및 관리부비동염(Sinusitis)은 코 주위에 있는 공기로 채워진 빈 공간인 부비동(Sinus)에 염증이 생긴 질환입니다.흔히 "축농증"으로 불리며, 감염, 알레르기, 또
namo38.com
'의학에 대해서' 카테고리의 다른 글
| 비중격 성형술(Septoplasty): 비중격 만곡 교정 수술 (0) | 2025.01.02 |
|---|---|
| 항히스타민제(Antihistamines): 알레르기 비염 완화를 위한 약물 (0) | 2025.01.02 |
| 비경검사(Nasal Endoscopy): 카메라로 코와 부비동 상태를 확인하는 검사 (0) | 2025.01.01 |
| 비중격 만곡(Deviated Nasal Septum): 원인, 증상, 치료 방법 (0) | 2025.01.01 |
| 장염(Gastroenteritis): 원인, 증상, 치료 및 관리 (0) | 2025.01.01 |
댓글