외상외과의 수술적 치료: 정의, 과정 및 중요성
외상외과 수술(Trauma Surgery)은 사고, 폭력, 낙상 등으로 인해 발생한 심각한 신체 손상을 치료하기 위한 외과적 개입입니다.
이러한 수술은 환자의 생명을 구하고 신체 기능을 보존하기 위한 필수적인 치료 방법으로, 주로 심각한 다발성 외상 또는 내장 손상, 출혈 등 생명에 위협이 되는 상황에서 수행됩니다.
외상외과 수술의 정의
외상외과 수술은 다양한 외상성 부상을 치료하는 외과 분야로, 골절, 내장 손상, 두부 외상 등 중증 외상 환자를 대상으로 합니다.
외상외과 의사는 골절 고정, 출혈 제어, 장기 복구 및 신경 손상 복원 등의 작업을 수행하며, 수술은 대개 응급 상황에서 이루어집니다.
외상외과 수술의 주요 단계
응급 평가 (Primary Survey):
외상 환자가 병원에 도착하면 ABC (기도, 호흡, 순환) 상태를 평가하여 생명에 즉각적인 위협이 있는지 확인합니다.
환자의 상태가 안정된 후 더 정밀한 진단과 치료 계획이 세워집니다.
수술적 개입 (Surgical Intervention):
다발성 외상 환자는 신속한 수술이 필요할 수 있습니다.
주요 장기 손상이나 심각한 출혈이 있을 경우에는 긴급하게 수술을 통해 손상된 부위를 복구하고 출혈을 제어해야 합니다.
개복 수술(Laparotomy): 내출혈이 있거나 복부 장기 손상이 의심되는 경우 복부를 개복하여 손상 부위를 직접 확인하고 치료합니다.
흉부 수술(Thoracotomy): 흉부 외상 시, 흉부를 열어 폐, 심장 또는 대혈관을 복구하는 수술이 시행됩니다.
정형외과적 수술(Orthopedic Surgery): 골절이나 관절 손상을 치료하기 위해 금속 핀, 플레이트, 나사 등을 이용하여 뼈를 고정합니다.
수술 후 관리 (Postoperative Care):
외상 수술 후 환자는 집중적인 모니터링이 필요합니다.
중환자실에서 환자의 상태를 확인하며, 수술 후 합병증(출혈, 감염, 장기 기능 저하 등)을 예방하고 치료합니다. 또한, 재활 치료와 함께 장기적인 회복 계획이 수립됩니다.
외상외과 수술의 적용 분야
외상외과 수술은 다양한 상황에서 사용됩니다.
다발성 외상 (Polytrauma): 교통사고, 폭발 사고 등으로 인해 여러 신체 부위에 동시에 손상이 발생했을 때 수술적 개입이 필요합니다.
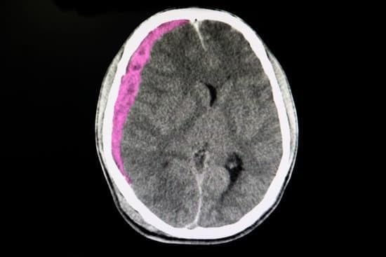
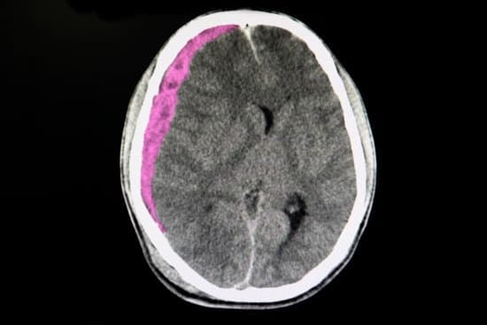
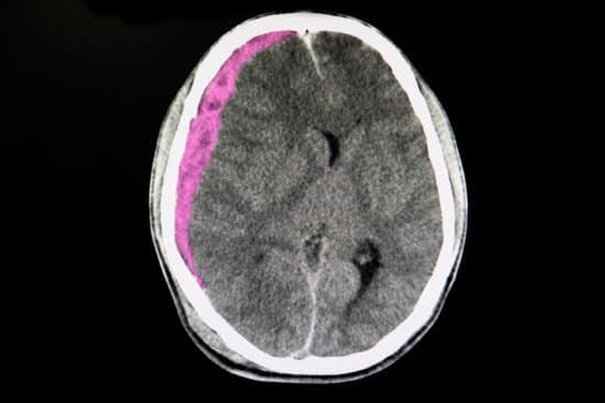
내장 손상 (Internal Organ Damage): 간, 비장, 신장 등의 장기 손상은 내출혈을 일으켜 생명을 위협할 수 있으며, 이를 신속히 복구하는 수술이 필요합니다.
흉부 외상 (Chest Trauma): 심장이나 폐에 외상이 발생한 경우 즉각적인 수술을 통해 장기 손상을 복구하고 생명을 구해야 합니다.
골절 및 신경 손상 (Fracture and Nerve Damage): 심각한 골절과 함께 신경 손상이 있을 경우, 정형외과적 수술과 신경 복원 수술이 필요합니다.
외상외과 수술의 중요성
외상외과 수술은 응급 상황에서 생명과 직결된 치료로, 생명을 구하고 신체 기능을 보존하는 데 중요한 역할을 합니다.
이러한 수술적 개입이 빠르게 이루어지지 않으면 사망이나 영구적인 장애가 발생할 수 있습니다.
또한, 외상 후 환자가 완전한 회복을 할 수 있도록 재활과 함께 장기적인 관리를 필요로 합니다.
자주 묻는 질문 (FAQ)
1. 외상외과 수술은 언제 필요하나요?
심각한 외상을 입었을 때, 예를 들어 교통사고, 낙상, 폭력 사건으로 인한 심각한 신체 손상이 있을 경우 외상외과 수술이 필요합니다. 생명을 위협하는 출혈, 장기 손상, 골절 등이 발생할 때 즉시 시행됩니다.
2. 외상외과 수술 후 회복 기간은 얼마나 걸리나요?
회복 기간은 손상의 정도와 환자의 전반적인 건강 상태에 따라 다릅니다. 복잡한 외상에서는 몇 주에서 몇 달까지 회복 시간이 필요할 수 있으며, 재활 치료가 장기적으로 필요할 수도 있습니다.
3. 외상 수술 후 어떤 합병증이 발생할 수 있나요?
주요 합병증으로는 출혈, 감염, 혈전증, 장기 기능 저하 등이 있을 수 있습니다. 이를 예방하기 위해 수술 후 집중 치료와 관리가 필요합니다.
4. 외상외과 수술은 어떻게 진행되나요?
외상외과 수술은 매우 신속하게 진행됩니다. 환자의 생명을 구하는 것이 최우선 과제이므로, 응급실에서 빠르게 상태를 평가한 후 출혈이나 장기 손상 부위를 수술을 통해 복구합니다.
결론
외상외과 수술은 심각한 외상으로 인해 신체가 큰 손상을 입었을 때 시행되는 긴급 수술로, 환자의 생명을 구하고 손상된 장기나 신체 부위를 복구하는 데 중요한 역할을 합니다.
생명과 직결된 이러한 수술은 신속하게 이루어지며, 수술 후에는 철저한 관리와 재활이 필요합니다.
외상외과 수술: 정의, 종류, 과정 및 회복
외상외과 수술: 정의, 종류, 과정 및 회복외상외과 수술(Trauma Surgery)은 사고나 외상으로 인해 손상된 신체 부위를 복구하거나 손상을 최소화하기 위해 수행되는 외과적 치료입니다.외상외과 수
namo38.com
'의학에 대해서' 카테고리의 다른 글
| 두부 외상 수술: 정의, 과정 및 중요성 (0) | 2024.10.01 |
|---|---|
| 복부 외상 수술: 정의, 과정 및 중요성 (0) | 2024.10.01 |
| 외상외과 수술: 정의, 종류, 과정 및 회복 (0) | 2024.09.30 |
| 외상 후 스트레스 장애(PTSD): 원인, 증상, 진단 및 치료 방법 (0) | 2024.09.30 |
| 다발성 외상: 정의, 원인, 증상, 치료 (0) | 2024.09.30 |

댓글