퇴행성 관절염 (골관절염, Osteoarthritis)
1. 퇴행성 관절염이란?
퇴행성 관절염, 또는 골관절염(Osteoarthritis)는 관절의 연골이 점진적으로 손상되고, 뼈와 뼈 사이의 마찰이 증가하여 염증과 통증을 유발하는 만성 질환입니다.
무릎, 고관절, 손가락 등 체중 부하가 많은 관절에 주로 발생하며, 특히 무릎은 가장 흔한 부위 중 하나입니다.
고령층에서 많이 발생하지만, 외상, 비만, 과도한 운동 등으로 젊은 층에서도 발병할 수 있습니다.
2. 퇴행성 관절염의 원인
노화: 연령이 증가하면서 연골이 점차 닳아 없어집니다.
반복적인 관절 사용: 장기간 반복되는 동작이나 직업적 활동이 연골 손상을 유발합니다.
부상 및 외상: 스포츠 활동이나 사고로 인한 관절 손상.
비만: 체중이 무릎과 같은 관절에 과도한 부담을 줍니다.
유전적 요인: 가족력이 있는 경우 발병 위험이 높아집니다.
기저질환: 류마티스 관절염이나 대사 질환(통풍 등)이 원인이 될 수 있습니다.
3. 퇴행성 관절염의 증상
관절 통증: 주로 움직일 때 악화되며, 심한 경우 휴식 시에도 통증 발생.
부종 및 염증: 무릎 등 관절 부위가 붓고 열감이 느껴질 수 있습니다.
강직: 아침에 일어나거나 장시간 앉아 있다 일어날 때 관절이 뻣뻣해집니다.
운동 제한: 관절의 가동 범위가 줄어들며, 무릎을 굽히거나 펴기 어려워집니다.
관절 소리(크레피투스): 관절을 움직일 때 뚝뚝 소리가 날 수 있습니다.
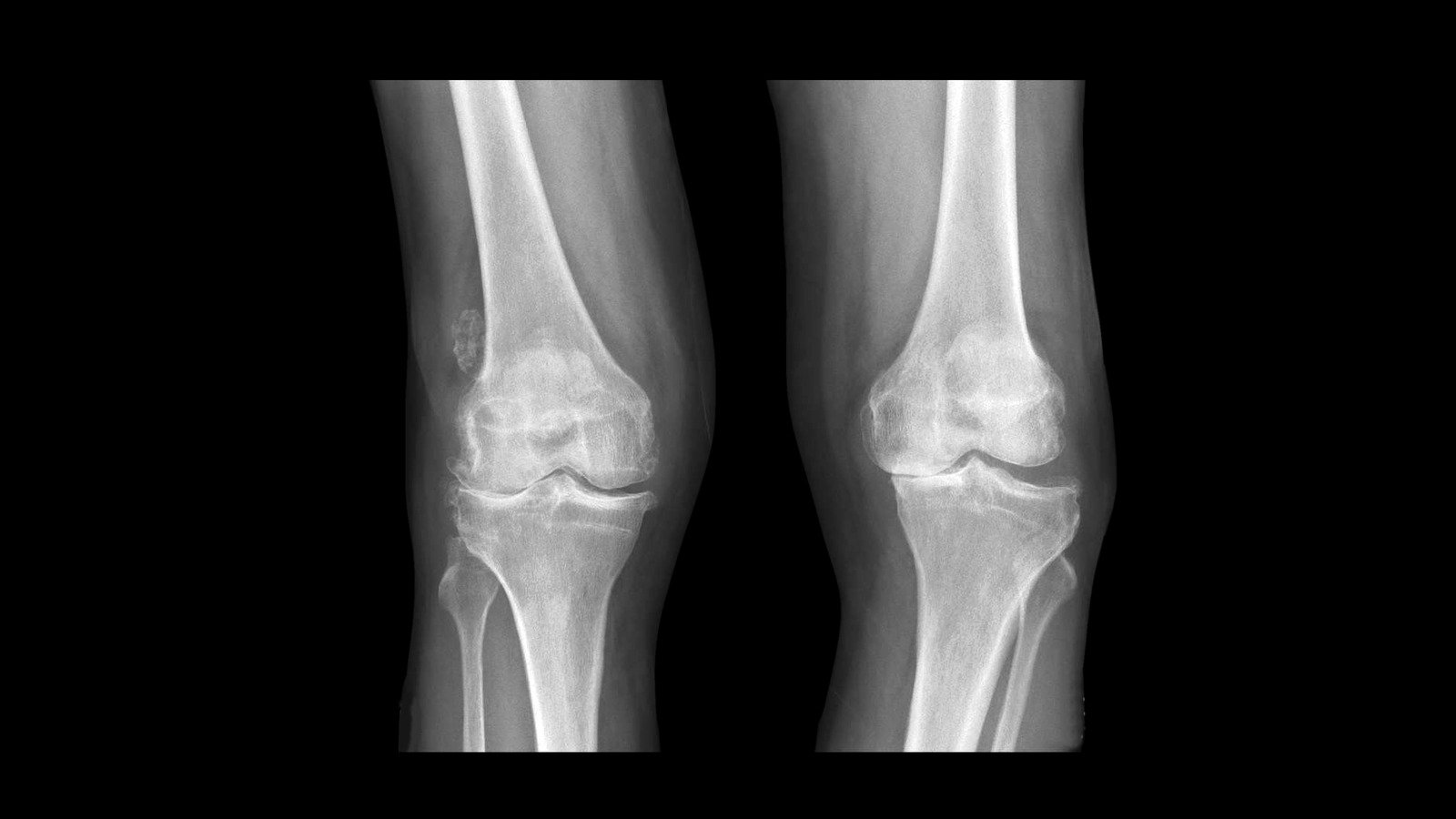
4. 진단 방법
의사와의 상담 및 신체검사: 환자의 증상과 병력을 확인합니다.
X-ray 검사: 관절 간격이 좁아지거나 연골 손상이 보일 수 있습니다.
MRI 검사: 연골 및 인대 손상을 보다 정밀하게 분석합니다.
초음파 검사: 염증 여부와 연조직 손상 확인에 유용합니다.
혈액 검사: 류마티스 관절염과 같은 다른 질환과 구별하기 위해 시행됩니다.
5. 치료 방법
1) 비수술적 치료
약물치료: 소염진통제(NSAIDs), 타이레놀 등으로 통증 완화.
물리치료: 근력 강화와 유연성 개선을 위한 운동치료.
체중 관리: 비만인 경우 체중을 줄여 무릎에 가해지는 압력을 감소.
주사 치료:
스테로이드 주사: 염증 완화에 도움.
히알루론산 주사: 관절 윤활을 도와 통증 완화.
보조기구 사용: 무릎 보호대, 지팡이 등으로 관절에 가해지는 부담을 줄임.
2) 수술적 치료
관절경 수술: 손상된 연골 조각을 제거하거나 관절 내부를 청소합니다.
절골술(Osteotomy): 관절 정렬을 교정해 무릎에 가해지는 부하를 분산시킵니다.
인공관절 치환술(Total Knee Replacement): 손상된 관절을 인공관절로 교체하며, 심한 경우에 시행됩니다.
6. 생활 습관 개선 및 예방 방법
규칙적인 운동: 수영, 자전거 타기 같은 저충격 운동이 권장됩니다.
올바른 체중 유지: 비만은 관절염을 악화시키므로 체중 관리가 필수적입니다.
올바른 자세 유지: 오래 서있거나 쪼그려 앉는 자세를 피합니다.
관절 보호: 운동 중 적절한 보호대를 착용하여 부상을 예방합니다.
7. 자주 묻는 질문 (FAQ)
Q1. 퇴행성 관절염은 완치가 가능한가요?
완치가 어렵지만, 적절한 관리와 치료로 증상을 효과적으로 조절할 수 있습니다.
Q2. 인공관절 수술 후 회복 기간은 얼마나 걸리나요?
일반적으로 6주~3개월 정도 걸리며, 개인에 따라 재활 속도가 달라질 수 있습니다.
Q3. 퇴행성 관절염에 좋은 운동은 무엇인가요?
수영, 걷기, 실내 자전거 타기 등 관절에 무리가 가지 않는 운동이 권장됩니다.
Q4. 퇴행성 관절염에 피해야 할 음식이 있나요?
염증을 유발할 수 있는 고지방 음식과 가공식품은 피하는 것이 좋습니다.
Q5. 젊은 사람도 퇴행성 관절염에 걸릴 수 있나요?
네, 부상, 비만, 반복적인 관절 사용 등으로 인해 젊은 층에서도 발생할 수 있습니다.
8. 결론
퇴행성 관절염(골관절염)은 연령, 부상, 비만 등의 요인으로 발생하는 만성 질환이지만, 초기 발견과 적절한 치료를 통해 증상을 완화할 수 있습니다.
정기적인 운동, 체중 관리, 그리고 적절한 치료 계획이 필수적이며, 필요할 경우 전문가와 상담하여 맞춤형 치료를 받는 것이 중요합니다.
무릎 통증: 원인과 치료 방법과 관리
무릎 통증: 원인과 치료 방법과 관리무릎 통증은 일상생활에서 매우 흔한 문제로, 다양한 원인에 의해 발생할 수 있습니다.주된 원인은 과도한 사용, 부상, 관절염, 연골 손상 등입니다.무릎 통
namo38.com
'의학에 대해서' 카테고리의 다른 글
| 연골 손상(Cartilage Injury): 원인, 증상, 치료 방법 및 FAQ (0) | 2024.10.18 |
|---|---|
| 연골연화증 (Chondromalacia Patellae)의 증상과 관리 (0) | 2024.10.18 |
| 무릎 관절염: 원인, 증상, 치료 방법과 FAQ (0) | 2024.10.18 |
| 무릎 연골 이식술의 종류 (0) | 2024.10.17 |
| 무릎 연골 이식술: 절차와 회복 (0) | 2024.10.17 |

댓글