편도염: 원인, 증상, 치료 방법
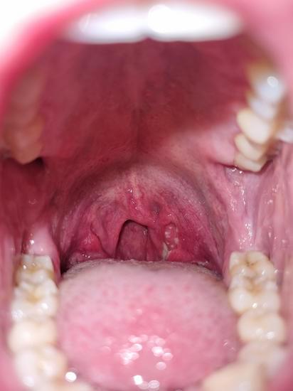
편도염은 목의 양쪽에 위치한 편도가 바이러스나 세균에 감염되어 염증이 생기는 질환입니다.
편도는 신체의 면역 체계의 일부로, 외부로부터 들어오는 병원체를 차단하는 역할을 합니다.
그러나 이 과정에서 편도 자체가 감염될 수 있으며, 이로 인해 통증과 염증이 발생합니다.
편도염의 원인
편도염의 주요 원인은 바이러스와 세균입니다.
가장 흔한 바이러스 원인으로는 감기 바이러스(라이노바이러스, 코로나바이러스 등)가 있으며, 세균 원인으로는 A군 연쇄상구균이 대표적입니다.
드물게는 아데노바이러스, 인플루엔자 바이러스, 그리고 단핵구증을 일으키는 엡스타인-바 바이러스(EBV)도 원인이 될 수 있습니다.
주요 증상
편도염의 증상은 다음과 같습니다.
목의 심한 통증: 삼키기가 어려울 정도로 심할 수 있습니다.
붓고 붉어진 편도: 편도가 붓고, 표면에 하얀 고름이 생기기도 합니다.
발열: 고열과 함께 오한이 동반될 수 있습니다.
피로감: 전신 피로감과 무기력함을 느낄 수 있습니다.
림프절 부기: 목의 림프절이 부어오르고, 만지면 통증이 있습니다.
편도염의 치료 방법
편도염의 치료는 원인에 따라 다릅니다. 바이러스성 편도염의 경우, 특별한 치료 없이 증상 완화를 위한 대증 요법이 주로 사용됩니다.
반면에 세균성 편도염, 특히 연쇄상구균에 의한 경우에는 항생제 치료가 필요합니다. 주요 치료 방법은 다음과 같습니다.
대증 요법: 통증을 완화하고 염증을 줄이기 위해 진통제(예: 이부프로펜, 아세트아미노펜)를 사용합니다.
항생제: 세균성 편도염일 경우, 페니실린 계열의 항생제를 10일간 복용하는 것이 일반적입니다.
수분 섭취: 충분한 수분을 섭취하여 탈수를 예방하고, 목을 진정시킵니다.
휴식: 충분한 휴식을 취해 신체의 회복을 돕습니다.
예방 방법
편도염을 예방하기 위해서는 개인 위생을 철저히 하고, 감염 위험이 높은 환경을 피하는 것이 중요합니다.
손을 자주 씻고, 감기 환자와의 접촉을 피하며, 면역력을 높이는 것이 도움이 됩니다.
수술적 치료
반복적인 편도염이나 편도가 지나치게 부어 호흡을 방해할 경우, 편도 절제술을 고려할 수 있습니다. 이는 편도를 제거하는 수술로, 편도염이 자주 재발하거나 합병증을 동반하는 경우에 권장됩니다.
자주 묻는 질문 (FAQ)
1. 편도염은 전염되나요?
네, 편도염은 전염성이 있습니다. 특히 세균성 편도염의 경우, 감염된 사람과의 직접적인 접촉이나 비말을 통해 전파될 수 있습니다.
2. 편도염이 만성화될 수 있나요?
편도염이 자주 재발할 경우, 만성 편도염으로 발전할 수 있으며, 이 경우 편도 절제술이 필요할 수 있습니다.
3. 편도염에서 빨리 회복하려면 어떻게 해야 하나요?
충분한 휴식과 수분 섭취, 그리고 증상 완화를 위한 대증 치료를 병행하는 것이 중요합니다. 세균성 편도염이라면, 의사의 처방에 따라 항생제를 끝까지 복용해야 합니다.
편도염은 일반적인 질환이지만, 적절한 치료 없이 방치하면 합병증으로 발전할 수 있으므로, 증상이 지속되거나 악화되면 반드시 의료기관을 방문하는 것이 중요합니다.
편도 결석: 원인, 예방 및 치료 방법
편도 결석: 원인, 예방 및 치료 방법 편도 결석은 무엇일까요? 많은 사람들이 이 질환에 대해 잘 알지 못하며, 그 증상과 치료 방법에 대한 정보가 필요합니다. 이 글에서는 편도 결석의 원인, 증
namo38.com
'의학에 대해서' 카테고리의 다른 글
소아비만: 원인, 위험성, 예방 방법 (0) | 2024.08.27 |
---|---|
디오스민(Diosmin): 효능, 사용법, 그리고 부작용 (0) | 2024.08.27 |
베나실(VenaSeal) 시술: 정맥류 치료의 혁신 (0) | 2024.08.26 |
속쓰림과 위산 역류 관리 (0) | 2024.08.26 |
도파민 감소와 연하곤란 (0) | 2024.08.25 |
댓글