혈관 협착 및 폐색 – 원인, 증상, 진단 및 치료법
혈관 협착 및 폐색이란?
혈관 협착(Arterial Stenosis) 및 폐색(Arterial Occlusion)은 동맥이나 정맥의 내경이 좁아지거나 막혀 혈류가 정상적으로 흐르지 않는 상태를 의미합니다.
협착은 혈관이 좁아져 혈류가 제한되는 것을 말하며, 폐색은 혈관이 완전히 막혀 혈액의 흐름이 차단된 상태를 말합니다.
이로 인해 산소와 영양소 공급이 감소하여 다양한 증상과 합병증을 유발할 수 있습니다.
혈관 협착 및 폐색의 원인
동맥경화증:
콜레스테롤, 지방, 칼슘 등이 혈관 내벽에 쌓여 혈관이 두꺼워지고 좁아지는 현상입니다.
혈전증:
혈액 응고로 인해 혈관 내에 혈전이 형성되어 혈류를 차단할 수 있습니다.
동맥염:
혈관 벽의 염증으로 인해 혈관이 좁아지거나 막힐 수 있습니다.
외상:
사고나 외부 충격으로 혈관이 손상되면 협착이나 폐색이 발생할 수 있습니다.
선천적 기형:
일부 환자들은 선천적으로 혈관 구조가 비정상적으로 형성되어 협착이나 폐색이 생길 수 있습니다.
혈관 협착 및 폐색의 증상
증상은 혈관이 좁아지거나 막히는 부위와 정도에 따라 다릅니다.
사지의 혈관 협착 및 폐색:
통증: 걸을 때 다리의 통증이나 경련(간헐적 파행)이 나타날 수 있습니다.
무감각 및 저림: 혈류 부족으로 팔이나 다리의 무감각 및 저림이 발생할 수 있습니다.
색 변화 및 냉감: 피부가 창백하거나 푸르스름해지고, 차가운 감각이 나타날 수 있습니다.
심장 혈관 협착 및 폐색:
협심증: 가슴 통증이나 압박감이 느껴집니다.
심근경색: 심한 경우, 혈관이 막혀 심장으로 가는 혈류가 차단되면 심근경색이 발생할 수 있습니다.
뇌혈관 협착 및 폐색:
뇌졸중 증상: 갑작스러운 언어 장애, 안면 비대칭, 한쪽 팔 또는 다리의 마비 등이 나타날 수 있습니다.
진단 방법
신체검사 및 병력 청취:
의사가 환자의 증상, 병력, 생활 습관 등을 파악합니다.
초음파 검사:
혈관의 협착 정도와 혈류 속도를 확인할 수 있습니다.
CT 및 MRI:
정밀한 혈관 상태를 확인하기 위해 사용됩니다. CT 혈관조영술과 MR 혈관조영술은 혈관의 상태를 시각적으로 보여줍니다.
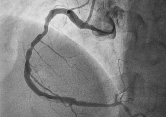
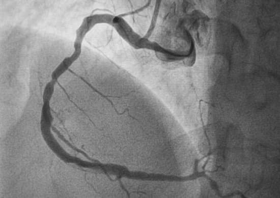
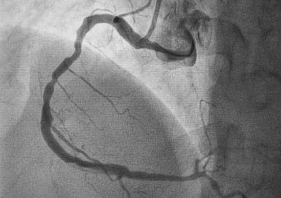
혈관 조영술:
조영제를 주입한 후 X선을 사용해 혈관의 내부 상태를 관찰하는 방법입니다.
치료법
생활습관 개선:
금연, 규칙적인 운동, 건강한 식습관이 혈관 건강을 유지하는 데 필수적입니다.
약물 치료:
항응고제, 항혈소판제, 콜레스테롤 저하제 등을 사용하여 혈액 순환을 개선하고 혈전 생성을 방지합니다.
비수술적 시술:
혈관 성형술(Angioplasty): 풍선 카테터를 이용해 협착된 혈관을 확장하는 방법입니다.
스텐트 삽입술: 혈관 내에 스텐트를 삽입해 혈관을 확장하고 유지합니다.
수술적 치료:
우회로 수술(Bypass Surgery): 혈류를 확보하기 위해 다른 혈관을 연결하여 혈류가 우회하도록 하는 수술입니다.
혈관 절제술: 손상된 혈관 부위를 절제하고 인공 혈관이나 다른 부위의 혈관을 사용해 재건합니다.
예방 및 관리 방법
체중 관리: 비만은 동맥경화증과 관련된 여러 위험 인자를 증가시킬 수 있습니다.
정기 검진: 고위험군은 주기적으로 혈관 상태를 검사하여 조기 발견과 예방이 가능합니다.
적절한 운동: 유산소 운동은 혈액 순환을 개선하고 혈관의 유연성을 증가시킵니다.
스트레스 관리: 스트레스는 혈압 상승과 혈관 수축을 초래할 수 있어 관리가 필요합니다.
자주 묻는 질문 (FAQ)
혈관 협착은 어떻게 예방할 수 있나요?
금연, 규칙적인 운동, 저지방 식단 및 스트레스 관리를 통해 예방할 수 있습니다.
혈관 폐색이 발생하면 응급 상황인가요?
네, 혈관 폐색은 심각한 합병증을 유발할 수 있는 응급 상황이므로 즉시 의료 도움을 받아야 합니다.
치료 후 재발 가능성이 있나요?
생활습관이나 기저질환에 따라 재발할 수 있습니다. 지속적인 관리와 정기적인 검진이 필요합니다.
혈관 성형술과 스텐트 삽입술의 차이점은 무엇인가요?
혈관 성형술은 협착 부위를 풍선으로 확장시키는 시술이고, 스텐트 삽입술은 확장된 부위에 스텐트를 삽입해 혈관을 유지하는 방법입니다.
혈관 협착이나 폐색이 심하면 수술 외에 다른 선택지가 있나요?
혈관 성형술, 스텐트 삽입 등 비수술적 치료가 가능하지만, 상태에 따라 수술적 치료가 필요할 수 있습니다.
결론
혈관 협착 및 폐색은 심각한 건강 문제를 초래할 수 있지만, 조기 진단과 적절한 치료를 통해 관리할 수 있습니다.
건강한 생활습관 유지와 정기 검진을 통해 혈관 건강을 지키는 것이 중요합니다.
상지의 혈관 이상 – 증상과 진단 및 치료법
상지의 혈관 이상 – 증상과 진단 및 치료법상지의 혈관 이상이란?상지의 혈관 이상은 팔과 손에 혈액을 공급하는 혈관에 문제가 생긴 상태를 말합니다.이로 인해 팔과 손에 다양한 증상과 합병
namo38.com
'의학에 대해서' 카테고리의 다른 글
| 레이노병 – 원인, 증상, 진단 및 치료법 (0) | 2024.11.15 |
|---|---|
| 동정맥 기형(AVM) – 원인, 증상, 진단 및 치료법 (0) | 2024.11.15 |
| 상지의 혈관 이상 – 증상과 진단 및 치료법 (0) | 2024.11.14 |
| 투시 장비(Fluoroscope) – 의료 영상의 핵심 장비 (0) | 2024.11.14 |
| 현미경을 이용한 감압술 – 척추 질환의 최소침습적 치료법 (0) | 2024.11.14 |

댓글