활막성 연골종증 (Synovial Chondromatosis)의 이해
활막성 연골종증이란?
활막성 연골종증은 관절이나 건초의 활막에서 비정상적으로 연골 조직이 자라는 희귀 질환입니다.
이 질환은 일반적으로 무릎, 손목, 고관절, 어깨 등의 큰 관절에서 발생하며, 주로 중년층에서 나타납니다.
활막성 연골종증의 원인
활막성 연골종증은 비교적 드문 질환으로, 정확한 원인은 아직 명확하게 밝혀지지 않았습니다. 그러나 연구와 임상 경험을 바탕으로 몇 가지 가능성이 제시되고 있습니다.
유전적 요인
일부 연구에서는 유전적 변이가 이 질환의 발병과 관련이 있을 수 있다고 제안하고 있습니다.
환경적 요인
외상이나 반복적인 관절 손상 등이 관절 활막의 변화를 유발하여 연골 조직의 비정상적인 성장을 촉진할 수 있습니다.
대사적 요인
관절의 대사적 불균형이 연골 세포의 과도한 성장을 유발할 수 있는 것으로 추정됩니다.
염증성 요인
만성적인 관절 염증이 연골 조직의 비정상적인 증식을 유발할 가능성이 있습니다.
추가 연구의 필요성
이 질환의 정확한 원인을 밝히기 위해 추가적인 연구가 필요합니다. 이는 더 효과적인 예방 및 치료 전략의 개발로 이어질 수 있습니다.
활막성 연골종증의 증상 파악
활막성 연골종증은 관절 내부의 비정상적인 연골 성장으로 인해 다양한 증상을 일으킬 수 있는 질환입니다. 이 증상들은 질환의 진행 정도와 환자의 개별 상황에 따라 다를 수 있습니다.
관절 통증
관절 내의 비정상적인 연골 조각으로 인해 발생하는 통증입니다.
통증은 일반적으로 지속적이고 활동에 따라 악화될 수 있습니다.
관절 부기 및 뻣뻣함
관절 내의 연골 조각과 염증으로 인해 관절이 부어오르고 뻣뻣해질 수 있습니다.
관절 운동 범위 제한
관절 내 이물감과 통증으로 인해 정상적인 운동 범위가 제한될 수 있습니다.
이물감 또는 팝핑 소리
관절을 움직일 때 연골 조각이 움직이면서 이물감이나 팝핑 소리가 날 수 있습니다.
증상의 진행
초기에는 미미한 증상으로 시작되어 질환의 진행과 함께 점차 증상이 심해질 수 있습니다.
질환의 진단과 치료가 지연될 경우 증상이 악화되어 일상 생활에 영향을 줄 수 있습니다.
진단 방법
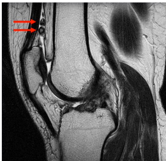
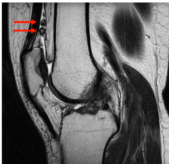
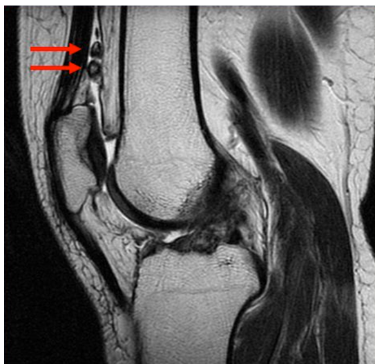
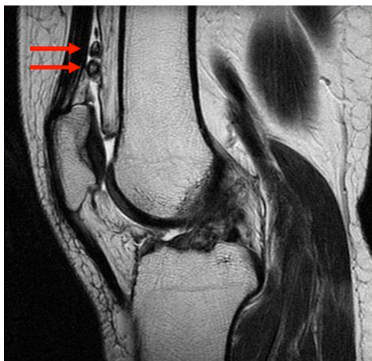
영상 진단: X-레이, MRI, CT 스캔을 통해 연골 종양을 확인할 수 있습니다.
조직 검사: 확진을 위해 조직 샘플을 채취하고 조직학적 검사를 진행하기도 합니다.
치료 방법
비수술적 치료
약물 치료: 항염증제를 사용하여 통증과 염증을 관리합니다.
물리치료: 관절의 운동 범위와 기능을 향상시키기 위한 방법입니다.
수술적 치료
관절경 수술: 관절 내의 이상 연골 조직을 제거합니다.
관절 치환술: 심한 경우, 손상된 관절을 인공 관절로 교체할 수 있습니다.
자주 묻는 질문 (FAQ)
Q: 활막성 연골종증이 악성으로 변할 가능성이 있나요?
A: 매우 드물지만, 활막성 연골종증이 악성 연골종으로 변할 가능성이 있습니다. 정기적인 검진이 중요합니다.
Q: 치료 후 재발 가능성은 얼마나 되나요?
A: 수술 후 일부 환자에서 재발이 보고되었으나, 대부분의 경우 재발 확률은 낮습니다. 정기적인 추적 관찰이 필요합니다.
Q: 어린이도 이 질환에 걸릴 수 있나요?
A: 드물게 어린이에서도 발생할 수 있지만, 주로 중년 이후에 발병하는 것이 일반적입니다.
Q: 운동이나 활동 수준에 영향을 줄 수 있나요?
A: 활동에 따른 통증이나 불편함으로 인해 일부 환자는 운동 또는 일상 활동의 범위가 제한될 수 있습니다.
'의학에 대해서' 카테고리의 다른 글
| 중이염의 이해와 관리 (0) | 2023.11.22 |
|---|---|
| 노안의 이해와 관리 (0) | 2023.11.21 |
| 유건종(Desmoid Tumor, Aggressive Fibromatosis) (0) | 2023.11.21 |
| 결절종(Ganglion): 원인, 증상 및 치료 방법 (0) | 2023.11.21 |
| 색소 융모 결절성 활막염(Pigmented Villonodular Synovitis, PVNS) (0) | 2023.11.21 |

댓글