고관절 골괴사증에 대한 깊이 있는 분석
고관절 골괴사증이란?
고관절 골괴사증은 고관절의 뼈 조직이 혈액 공급 부족으로 인해 손상되거나 사멸하는 질환입니다.
이 상태는 고관절에 통증과 기능 장애를 유발하며, 심한 경우에는 관절의 완전한 파괴로 이어질 수 있습니다.
원인과 위험 요인
주요 원인
스테로이드 사용: 장기간의 고용량 스테로이드 사용은 혈관을 손상시키고 혈류를 감소시킬 수 있습니다.
알코올 남용: 과도한 알코올 섭취는 혈관 손상과 지방 세포의 증가를 유발하여 혈액 공급을 방해할 수 있습니다.
외상: 심한 충격이나 부상은 혈관을 손상시켜 혈액 공급을 방해할 수 있습니다.
혈액 관련 질환: 적혈구의 비정상적인 형태나 크기를 가진 혈액 질환(예: 지중해 빈혈, 골수증식증)은 혈액 공급을 방해할 수 있습니다.
자가면역 질환: 류마티스 관절염과 같은 자가면역 질환은 혈관 손상을 유발할 수 있습니다.
고지혈증: 혈액 내 지질 수치가 높으면 혈관을 막을 수 있어 혈류 장애를 일으킬 수 있습니다.
위험 요인
나이 및 성별: 중년 남성에서 더 흔히 발생합니다.
비만: 체중이 많이 나가는 경우 혈관에 부담을 줄 수 있습니다.
특정 직업: 장시간 압력을 받는 직업은 혈액 순환에 영향을 줄 수 있습니다.
증상과 진단
주요 증상
고관절 통증: 고관절 부위, 특히 엉덩이 또는 사타구니 부위에서 통증이 발생할 수 있습니다.
이 통증은 처음에는 활동 시에만 나타날 수 있으나, 시간이 지날수록 지속적이고 심해질 수 있습니다.
활동 제한: 통증으로 인해 걷기, 계단 오르내리기, 의자에서 일어나기 등의 일상 활동이 어려워질 수 있습니다.
관절의 뻣뻣함: 아침에 일어날 때 또는 오랫동안 앉아 있었을 때 관절이 뻣뻣하게 느껴질 수 있습니다.
보행 변화: 고관절의 통증과 뻣뻣함으로 인해 보행 방식이 바뀔 수 있습니다. 절뚝거림이나 불안정한 보행이 나타날 수 있습니다.
범위 이동 제한: 고관절의 움직임 범위가 제한되어 다리를 움직이는 데 어려움을 겪을 수 있습니다.
진행 단계별 증상
초기 단계: 증상이 경미하거나 없을 수 있습니다.
중기 단계: 통증과 뻣뻣함이 증가하며, 활동에 제한이 생깁니다.
말기 단계: 지속적인 심한 통증과 관절의 심각한 운동 범위 제한이 발생할 수 있습니다.
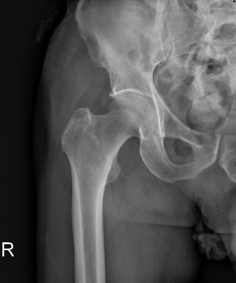
고관절 골괴사증의 진단 과정
고관절 골괴사증의 진단은 주로 환자의 증상, 병력, 그리고 여러 영상 진단 방법을 통해 이루어집니다. 이 질환을 진단하기 위한 주요 절차와 방법을 살펴보겠습니다.
병력 및 증상 청취
의사와의 상담: 의사는 환자의 증상, 의료 이력, 가능한 위험 요인(예: 장기간 스테로이드 사용, 알코올 남용 등)에 대해 문의합니다.
물리적 검사
관절 기능 평가: 관절의 운동 범위, 강도, 통증 유무 등을 평가합니다.
영상 진단
X-레이: 고관절의 변화를 보여주며, 골괴사의 초기 단계에서는 정상으로 나타날 수 있습니다.
자기공명영상(MRI): 골괴사증의 초기 단계를 포함하여 질환의 진행 상태를 가장 정확하게 평가할 수 있는 방법입니다.
컴퓨터 단층촬영(CT) 스캔: 뼈의 구조와 골괴사 영역의 정확한 크기 및 위치를 평가하는 데 도움을 줍니다.
기타 검사
혈액 검사: 다른 관절 질환 또는 관련된 건강 문제를 배제하기 위해 혈액 검사가 필요할 수 있습니다.
치료 방법
고관절 골괴사증의 치료는 질환의 단계, 증상의 심각도, 환자의 전반적인 건강 상태에 따라 달라질 수 있습니다. 주요 치료 옵션들을 살펴보겠습니다.
비수술적 치료
약물 치료: 통증과 염증을 줄이기 위한 비스테로이드성 항염증제(NSAIDs) 사용.
제한된 활동: 관절에 가해지는 부담을 줄이기 위해 활동을 제한합니다.
물리치료: 관절의 운동 범위를 유지하고 강화하기 위한 물리치료.
체중 관리: 체중을 관리하여 고관절에 가해지는 부담을 줄입니다.
수술적 치료
골수 핵 추출술(Core Decompression): 골괴사 초기 단계에서 사용되며, 골괴사 부위로의 혈액 흐름을 개선하기 위해 뼈 내부의 압력을 줄입니다.
골이식: 손상된 뼈 조직을 대체하기 위해 건강한 뼈 조직을 이식합니다.
인공 고관절 치환술(Total Hip Replacement): 질환의 진행 단계에서, 손상된 관절을 인공 관절로 대체하는 수술.
재활 및 회복
재활 프로그램: 수술 후 재활 프로그램은 회복과 기능 회복을 촉진합니다.
정기적인 추적 검사: 치료의 효과를 모니터링하고 질환의 진행을 관찰하기 위한 정기적인 추적 검사가 필요합니다.
자주 묻는 질문(FAQ)
Q: 고관절 골괴사증은 유전적인가요?
A: 대부분의 경우 유전적인 요인은 아니지만, 특정 유전적 질환은 발병 위험을 증가시킬 수 있습니다.
Q: 어떤 증상이 고관절 골괴사증을 의심하게 할 수 있나요?
A: 고관절 부위의 지속적인 통증과 활동 시 불편함이 주요 증상입니다.
Q: 고관절 골괴사증의 예방 방법은 무엇인가요?
A: 스테로이드 사용 최소화, 알코올 섭취 제한, 건강한 체중 유지 등이 예방에 도움이 될 수 있습니다.
Q: 고관절 골괴사증의 예방 방법은 무엇인가요?
A: 스테로이드와 알코올의 과도한 사용을 피하고, 건강한 체중을 유지하는 것이 중요합니다.
Q: 고관절 골괴사증은 완치가 가능한가요?
A: 초기 단계에서 적절한 치료를 받으면 상태를 개선하고 진행을 늦출 수 있지만, 완치는 어려울 수 있습니다.
Q: 골괴사와 관절염의 차이점은 무엇인가요?
A: 골괴사는 뼈의 혈액 공급 문제로 인해 발생하는 반면, 관절염은 관절의 염증과 마모로 인해 발생합니다.
Q: 치료 후 일상 생활로의 복귀는 언제쯤 가능한가요?
A: 수술적 치료를 받은 경우, 일상 생활로의 복귀는 수술 후 몇 달이 소요될 수 있으며, 정기적인 재활이 필요합니다.
Q: 비수술적 치료만으로도 충분한가요?
A: 질환의 초기 단계에서는 비수술적 치료로 증상 관리가 가능할 수 있지만, 진행된 경우 수술적 치료가 필요할 수 있습니다.
Q: 골수 핵 추출술은 어떤 경우에 시행되나요?
A: 골괴사가 초기 단계에 있는 경우, 특히 젊은 환자에서 고려될 수 있습니다.
Q: 인공 고관절 치환술 후 일상 생활로 복귀하는 데 얼마나 걸리나요?
A: 일상 생활로의 복귀 시기는 개인마다 다르지만, 대체로 수술 후 몇 주에서 몇 달이 소요될 수 있으며, 지속적인 물리치료가 필요합니다.
'의학에 대해서' 카테고리의 다른 글
| 인공 고관절의 부품 구성 (0) | 2023.11.19 |
|---|---|
| 고관절 절골술의 이해 (0) | 2023.11.19 |
| 골다공증 진단 기준 (0) | 2023.11.18 |
| 골다공증 이해와 관리 방법 (0) | 2023.11.18 |
| 고관절 인공 관절 치환술 이해하기 (0) | 2023.11.18 |

댓글