구강암 (Oral Cavity Cancer)의 원인과 치료

구강암은 입 안의 다양한 부위에서 발생하는 악성 종양을 말합니다.
구강암은 혀, 입술, 잇몸, 뺨 안쪽, 입천장, 입 바닥, 그리고 편도와 같은 구조에서 발생할 수 있습니다.
초기 발견 시 치료가 가능하지만, 진행된 상태에서는 치료가 복잡해질 수 있습니다.
원인 및 위험 요인
1. 흡연과 음주
주요 원인: 담배와 알코올은 구강암 발생의 주요 위험 요인입니다.
특히 흡연과 음주를 동시에 할 경우 위험이 더 커집니다.
통계: 흡연자는 비흡연자에 비해 구강암 발생 위험이 5~10배 더 높습니다.
2. 인유두종 바이러스 (HPV)
HPV와의 연관성: 특정 유형의 인유두종 바이러스, 특히 HPV-16은 구강암과 연관이 있습니다. 구강 내 HPV 감염이 있는 사람은 구강암 발생 위험이 높아집니다.
3. 불량한 구강 위생
위험 요인: 치주질환, 충치, 적절하지 않은 틀니 등 불량한 구강 위생은 구강암의 위험을 높일 수 있습니다.
4. 과도한 햇빛 노출
입술암: 입술은 자외선에 의해 손상될 수 있으며, 자외선에 장시간 노출되면 입술암의 위험이 증가합니다.
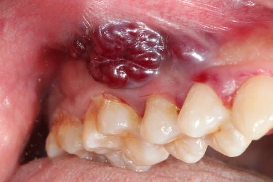
증상
입 안의 궤양 또는 덩어리: 2주 이상 지속되는 통증 없는 궤양이나 덩어리가 있을 수 있습니다.
삼킴 곤란: 삼킴 시 통증이나 곤란을 느낄 수 있습니다.
입술이나 입 안의 붉거나 흰 반점: 비정상적인 색소침착이 발생할 수 있습니다.
악취: 지속적인 구취가 나타날 수 있습니다.
출혈: 원인 없이 입 안에서 출혈이 발생할 수 있습니다.
진단
1. 신체검사 및 구강검사
정기적인 구강검사: 치과 의사 또는 의사가 입 안의 이상 소견을 확인합니다. 촉진을 통해 덩어리나 궤양의 존재를 확인할 수 있습니다.
2. 생검 (Biopsy)
조직 검사: 비정상적인 부위에서 조직 샘플을 채취하여 암세포 여부를 확인합니다.
3. 영상 검사
CT 스캔, MRI, PET 스캔: 종양의 위치, 크기, 그리고 전이 여부를 확인하기 위해 사용됩니다.
치료
1. 수술
종양 제거: 암 조직을 제거하는 것이 주된 치료 방법입니다. 암의 크기와 위치에 따라 다양한 수술 방법이 사용됩니다.
2. 방사선 치료
국소적 치료: 암세포를 죽이기 위해 고에너지 방사선을 사용합니다. 주로 수술 후 재발 방지를 위해 사용됩니다.
3. 화학 요법
전신 치료: 항암제를 사용하여 몸 전체에 퍼진 암세포를 제거합니다. 방사선 치료와 병행하여 사용되기도 합니다.
4. 면역 요법
최신 치료법: 면역체계를 활성화시켜 암세포를 공격하게 하는 치료 방법입니다. 특정 유형의 구강암에 효과적일 수 있습니다.
예방
금연 및 절주: 담배와 알코올은 구강암의 주요 원인이므로 금연과 절주가 필수적입니다.
구강 위생 관리: 정기적인 치과 검진과 철저한 구강 위생 관리로 구강암 위험을 줄일 수 있습니다.
자외선 차단: 입술에 SPF가 포함된 자외선 차단제를 사용하여 햇빛으로 인한 입술암을 예방합니다.
HPV 백신 접종: HPV 백신은 HPV 감염을 예방하고, HPV 관련 구강암 발생 위험을 줄일 수 있습니다.
자주 묻는 질문 (FAQ)
Q: 구강암은 어떻게 예방할 수 있나요?
A: 금연, 절주, 철저한 구강 위생 관리, 그리고 HPV 백신 접종이 구강암 예방에 효과적입니다.
Q: 구강암의 생존율은 어떻게 되나요?
A: 구강암의 생존율은 암의 위치, 크기, 그리고 발견 시기에 따라 달라집니다. 조기 발견 시 생존율이 높아집니다.
Q: 구강암은 전염되나요?
A: 아니요, 구강암은 전염되지 않습니다. 그러나 HPV 감염은 성접촉을 통해 전파될 수 있으며, 이는 구강암의 위험 요인이 될 수 있습니다.
구강암은 예방 가능한 위험 요인들을 피하고 정기적인 검진을 통해 조기 발견하는 것이 중요합니다.
의심 증상이 있으면 즉시 의료 전문가와 상담하여 적절한 진단과 치료를 받는 것이 중요합니다.
육종 (Sarcoma)의 유형과 증상, 치료
육종 (Sarcoma)의 유형과 증상, 치료육종(Sarcoma)은 뼈, 근육, 지방, 혈관, 연골, 결합 조직 등 신체의 다양한 연조직과 골조직에서 발생하는 악성 종양입니다.육종은 상대적으로 드문 암으로, 전 세
namo38.com
'의학에 대해서' 카테고리의 다른 글
| 물사마귀의 증상과 치료 (0) | 2024.08.11 |
|---|---|
| 항문거근증 (Levator Ani Syndrome)의 원인과 치료 (0) | 2024.08.10 |
| 육종 (Sarcoma)의 유형과 증상, 치료 (0) | 2024.08.10 |
| 습진 (Eczema)의 유형과 치료 (0) | 2024.08.09 |
| 부갑상선항진증 (Hyperparathyroidism)의 치료 (0) | 2024.08.09 |
댓글