근위 상완골 골절: 이해, 치료 및 회복 과정
오늘은 근위 상완골 골절에 대해 자세히 알아보고자 합니다. 근위 상완골 골절은 어깨 근처 상완골의 상부에서 발생하는 골절로, 주로 낙상 사고에서 발생합니다.
이 글을 통해 이러한 유형의 골절을 이해하고, 적절한 치료 및 회복 과정에 대해 알아보겠습니다.
근위 상완골 골절이란?(Proximal humerus fracture)
근위 상완골 골절은 어깨 근처, 상완골의 상부에서 발생하는 골절을 말합니다.
이는 특히 노인 인구에서 많이 발생하는 골절 유형으로, 낙상시 손으로 지지하는 경우 어깨 부위에 가해지는 충격으로 인해 발생할 수 있습니다.
증상
근위 상완골 골절의 주요 증상은 다음과 같습니다:
심한 통증: 골절 부위에 심한 통증이 발생합니다.
부기 및 멍: 골절 부위가 붓고 멍이 들 수 있습니다.
움직임 제한: 어깨나 팔의 움직임이 제한되며, 일상 활동이 어려워질 수 있습니다.
진단 방법
물리적 검사: 의사는 부상 부위의 통증, 부기, 변형을 평가합니다.
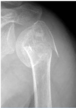
영상 진단 검사: X-ray, CT 스캔 또는 MRI를 통해 골절의 정확한 위치와 정도를 파악합니다.
치료 방법
근위 상완골 골절의 치료는 골절의 유형, 심각성, 환자의 일반적인 건강 상태에 따라 달라질 수 있습니다.
치료 방법은 크게 비수술적 치료와 수술적 치료로 나뉩니다.
비수술적 치료
부목이나 슬링: 가벼운 골절의 경우, 부목이나 슬링을 사용하여 손상된 부위를 고정시켜 자연 치유를 돕습니다.
휴식: 충분한 휴식을 취하여 골절 부위에 부담을 주지 않도록 합니다.
냉찜질: 부기와 통증을 줄이기 위해 골절 부위에 냉찜질을 할 수 있습니다.
진통제: 통증 관리를 위해 비스테로이드성 항염증제(NSAIDs)나 다른 진통제를 사용할 수 있습니다.
수술적 치료
판과 나사 고정술: 골절된 뼈를 원래 위치로 돌려놓고 금속판과 나사로 고정시키는 방법입니다.
핀 고정술: 뼈 조각을 위치시키고 고정하기 위해 핀을 사용하는 수술이 필요할 수 있습니다.
인공 관절 치환술: 매우 심각한 경우에는 손상된 뼈를 제거하고 인공 관절로 대체할 수 있습니다.
치료 후 회복 과정
재활 운동: 치료 후 물리 치료사의 지도 하에 재활 운동을 시작하여 관절의 움직임 범위와 근력을 회복합니다.
정기적인 검진: 치료의 진행 상황을 모니터링하기 위해 정기적으로 의사의 검진을 받습니다.
휴식과 관리: 골절 치유를 위해 충분한 휴식을 취하고, 의사의 지시에 따라 관리합니다.
물리 치료: 골절이 치유된 후에는 물리 치료를 통해 움직임의 범위를 회복하고 근력을 강화하는 것이 중요합니다.
마무리
근위 상완골 골절은 적절한 치료와 관리를 통해 대부분의 경우 회복이 가능합니다.
하지만, 골절 후의 관리와 재활 과정은 매우 중요하므로 전문가의 지시에 따라 철저히 치료를 진행해야 합니다.
'의학에 대해서' 카테고리의 다른 글
| 어깨 재발성 탈구 (0) | 2023.11.13 |
|---|---|
| 견봉 쇄골 탈구: 어깨 통증 (0) | 2023.11.13 |
| 코성형 수술의 모든 것: 기대, 과정, 회복 및 고려사항 (0) | 2023.11.12 |
| 쇄골 골절 이해하기: 원인, 증상, 치료 및 회복 과정 (0) | 2023.11.11 |
| 요로결석 이해하기: 원인, 증상 및 예방법 (0) | 2023.11.11 |

댓글