
견봉 쇄골 탈구: 어깨 통증
견봉 쇄골탈구(AC 관절 탈구)는 어깨의 견봉과 쇄골이 만나는 부위인 견봉 쇄골 관절(AC 관절)이 손상되어 불안정해지는 상태를 말합니다. 이는 흔히 어깨 부위에 외상을 입었을 때 발생합니다. 아래 내용에서 이 부상에 대해 자세히 알아보겠습니다.
견봉 쇄골탈구의 원인
대부분의 견봉 쇄골탈구는 낙상, 스포츠 부상, 교통사고 등으로 인해 어깨에 직접적인 충격이 가해질 때 발생합니다.
이 충격으로 인해 쇄골과 견봉을 연결하는 인대가 늘어나거나 찢어져 탈구가 발생합니다.
증상
통증: 탈구된 부위에 심한 통증이 발생합니다.
부기: 부상 부위에 부기가 생길 수 있습니다.
움직임 제한: 어깨의 움직임이 제한되며, 특히 팔을 들어올리는 데 어려움을 겪을 수 있습니다.
변형: 심한 경우 쇄골이 튀어나와 보이거나 변형이 눈에 띌 수 있습니다.
진단
병력 청취 및 증상 평가
의사는 부상의 원인, 증상의 발현 및 진행 과정에 대해 질문합니다.
통증, 부기, 움직임 제한의 정도를 평가합니다.
물리적 검사
의사는 부상 부위의 통증, 부기, 변형 여부를 확인하기 위해 물리적 검사를 실시합니다.
어깨의 움직임 범위, 근력, 안정성 등을 검사합니다.
영상 진단
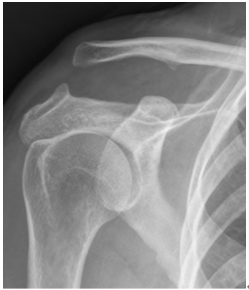
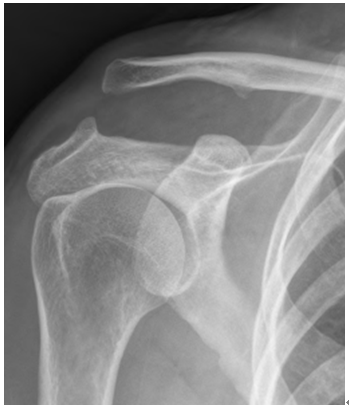
X-ray: AC 관절의 탈구 정도와 쇄골의 위치를 확인합니다. X-ray는 쇄골과 견봉 사이의 거리 증가를 보여줄 수 있습니다.
MRI 또는 CT 스캔: 더 자세한 이미지가 필요한 경우에 사용됩니다. 이는 연조직 손상의 정도를 평가하는 데 유용할 수 있습니다.
스트레스 테스트
경우에 따라, 의사는 스트레스 테스트를 실시하여 AC 관절의 안정성을 평가할 수도 있습니다.
치료
견봉 쇄골탈구(AC 관절 탈구)의 치료는 탈구의 정도와 환자의 개인적인 요구에 따라 달라질 수 있습니다.
일반적으로 치료는 비수술적 방법과 수술적 방법으로 나뉩니다.
비수술적 치료
경미한 견봉 쇄골탈구의 경우, 다음과 같은 비수술적 치료 방법이 사용됩니다:
휴식: 부상 부위에 가해지는 스트레스를 최소화하기 위해 적절한 휴식이 필요합니다.
얼음찜질: 부기와 통증을 줄이기 위해 부상 부위에 얼음찜질을 할 수 있습니다.
슬링 착용: 쇄골을 지지하고 움직임을 제한하기 위해 슬링을 착용합니다.
진통제와 항염증제: 통증과 염증을 관리하기 위해 처방될 수 있습니다.
물리 치료: 회복 과정에서 물리 치료를 통해 관절의 운동 범위를 회복하고 근력을 강화합니다.
수술적 치료
심한 견봉 쇄골탈구의 경우, 다음과 같은 수술적 치료가 고려될 수 있습니다:
쇄골 고정: 탈구된 쇄골을 원래 위치로 돌려놓고 금속판, 나사, 와이어 등으로 고정하는 수술입니다.
인대 재건술: 손상된 인대를 복구하거나 강화하기 위해 수술이 시행될 수 있습니다.
회복 과정
비수술적 치료를 받은 경우, 대부분의 환자들은 몇 주 이내에 일상 생활로 복귀할 수 있습니다.
수술 후 회복은 일반적으로 더 긴 시간이 소요되며, 완전한 회복에는 몇 달이 걸릴 수 있습니다.
재활 과정에서 정기적인 물리 치료와 운동이 중요합니다.
어떤 치료 방법이 적합한지 결정하기 위해서는 환자의 나이, 활동 수준, 건강 상태, 손상의 정도 등을 고려해야 합니다.
따라서, 적절한 치료 계획을 수립하기 위해서는 의사와 상의하는 것이 필수적입니다.
예방
적절한 체력 유지와 스포츠 활동 시 보호 장비 착용이 중요합니다.
위험한 활동을 할 때는 어깨 부상을 방지하기 위한 주의가 필요합니다.
견봉 쇄골탈구는 적절한 치료와 관리를 통해 회복될 수 있습니다.
부상을 입었다면 빠른 시일 내에 의료 전문가의 진료를 받는 것이 중요합니다.
'의학에 대해서' 카테고리의 다른 글
| 회전 근개 파열 (0) | 2023.11.13 |
|---|---|
| 어깨 재발성 탈구 (0) | 2023.11.13 |
| 근위 상완골 골절: 이해, 치료 및 회복 과정 (0) | 2023.11.13 |
| 코성형 수술의 모든 것: 기대, 과정, 회복 및 고려사항 (0) | 2023.11.12 |
| 쇄골 골절 이해하기: 원인, 증상, 치료 및 회복 과정 (0) | 2023.11.11 |
댓글