기흉의 이해와 관리
기흉(Pneumothorax)은 폐와 가슴 벽 사이의 공간인 흉강 내에 공기가 유입되어 폐가 일부 또는 전부 쪼그라드는 상태를 말합니다.
이 현상은 폐의 압력 균형을 방해하여 호흡 곤란을 유발하며, 심한 경우 생명을 위협할 수도 있습니다.
기흉의 원인
기흉은 다양한 원인으로 발생할 수 있습니다.
자발성 기흉은 폐에 특별한 외상이 없는 상태에서 발생하며, 특히 날씬하고 키가 큰 젊은 남성에서 더 흔히 발생합니다.
기흉은 또한 외상성 기흉으로 분류될 수 있는데, 이는 교통사고, 추락, 물리적 충격 등 외부 충격으로 인해 발생합니다.
의료 절차 중에 발생하는 의인성 기흉도 있으며, 이는 폐 생검, 중앙 정맥 카테터 삽입 등의 절차에서 발생할 수 있습니다.
증상 및 징후
주요 증상
기흉의 가장 흔한 증상 중 하나는 갑작스러운 가슴 통증입니다.
이 통증은 보통 폐의 한쪽에서 느껴지며, 심호흡, 기침, 움직임 등으로 인해 더욱 악화될 수 있습니다.
호흡 곤란도 흔히 발생하는 증상으로, 폐가 제대로 팽창하지 못하게 되면서 산소 공급에 문제가 생기기 때문입니다.
부가적 증상
기침: 간혹 건조한 기침이 동반될 수 있으며, 이는 흉강 내 압력 변화로 인한 것일 수 있습니다.
호흡 시 가슴의 삐걱거림: 가슴 내부에서 공기가 움직일 때 느껴지는 불편한 감각이나 소리가 나타날 수 있습니다.
청색증: 심한 기흉의 경우, 체내 산소 수준이 떨어져 피부나 입술이 파랗게 변하는 청색증이 나타날 수 있습니다.
피로감 및 약함: 폐의 기능 저하로 인해 전반적인 피로감이나 약함을 느낄 수 있습니다.
심각한 증상
급성 호흡곤란: 급격하게 호흡하기 어려워지며, 이는 즉각적인 의료 개입이 필요한 상황입니다.
가슴의 압박감: 가슴 전체에 걸쳐 압박감이나 답답함을 느낄 수 있으며, 이는 흉강 내 압력이 증가했음을 나타낼 수 있습니다.
심장 박동의 변화: 드물게, 심장 박동이 불규칙하거나 가속화되는 증상이 나타날 수 있습니다.
증상 발생 시 대처 방법
기흉의 증상이 나타날 경우, 즉시 의료 기관을 방문하여 정확한 진단과 적절한 치료를 받는 것이 중요합니다.
기흉은 경우에 따라 생명을 위협할 수 있는 상태로 진행될 수 있으므로, 증상을 경험하고 있다면 가능한 한 빨리 전문가의 도움을 구해야 합니다.
증상의 지속 기간 및 변화
기흉의 증상은 상태의 심각성과 개인의 건강 상태에 따라 다르게 나타날 수 있습니다.
경미한 경우에는 증상이 며칠 내에 저절로 호전될 수 있지만, 중등도 이상의 기흉에서는 증상이 지속되거나 악화될 수 있으며, 이는 즉각적인 치료가 필요함을 의미합니다.
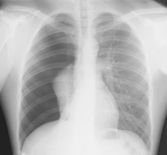
진단 방법
기흉의 진단은 주로 환자의 증상, 병력 청취, 신체 검사에 기반합니다. 가슴 X-레이, 컴퓨터 단층촬영(CT) 스캔 등의 영상 진단 방법이 사용될 수 있으며, 이를 통해 공기의 유입 및 폐의 쪼그라듬 정도를 확인할 수 있습니다.
기흉 치료 방법
경미한 기흉의 관리
경미한 기흉은 종종 자연스럽게 회복될 수 있으며, 대부분의 경우 특별한 치료 없이도 몇 일 내에 공기가 흡수되고 폐가 다시 팽창합니다.
이 기간 동안 환자는 충분한 휴식을 취하고, 필요한 경우 통증 관리를 위해 진통제를 복용할 수 있습니다.
산소 요법
산소를 고농도로 흡입하는 것은 몸에서 공기가 더 빠르게 흡수되도록 도와 기흉의 자연 치유 과정을 가속화할 수 있습니다.
이 방법은 비교적 경미하거나 중등도의 기흉에 적합할 수 있습니다.
흉강 천자 및 배액술
흉강 내 공기가 많거나 증상이 심각한 경우, 흉강 천자 및 배액술이 필요할 수 있습니다.
이 절차는 국소 마취 하에 가슴벽을 통해 가느다란 관을 삽입하고, 이를 통해 공기를 밖으로 빼내어 폐가 다시 팽창할 수 있도록 합니다.
수술적 치료
반복적인 기흉이나 배액술로 치유되지 않는 경우, 비디오 흉강경 수술(VATS)과 같은 수술적 치료가 고려될 수 있습니다.
VATS는 작은 절개를 통해 특수 카메라와 수술 도구를 삽입하여 문제가 되는 폐 조직을 제거하거나 폐와 흉벽을 서로 붙여 재발을 방지합니다.
화학적 늑막유착술
기흉의 재발을 방지하기 위해, 화학적 늑막유착술이 시행될 수 있습니다.
이 방법은 특정 화학 물질(예: 탈코트)을 흉강 내에 주입하여 폐와 가슴벽 사이의 유착을 유도함으로써 기흉이 재발하는 것을 방지합니다.
장기 관리
기흉 후 회복 기간 동안, 환자는 신체 활동을 제한하고 충분한 휴식을 취해야 합니다.
흡연자의 경우, 기흉의 재발을 방지하기 위해 흡연을 중단하는 것이 권장됩니다.
예방 및 장기 관리
기흉의 재발을 예방하기 위해서는 폐에 부담을 주는 활동을 피하고, 특히 흡연을 삼가는 것이 중요합니다.
기존에 기흉을 경험한 환자는 특히 주의 깊은 모니터링과 정기적인 검진이 필요할 수 있습니다.
자주 묻는 질문(FAQ)
Q: 기흉은 얼마나 자주 발생하나요?
A: 기흉은 상대적으로 흔한 의료 상황 중 하나이며, 특히 흡연자나 특정 위험 요소를 가진 개인에서 더 자주 발생합니다.
Q: 기흉이 있을 때 운동을 해도 되나요?
A: 기흉이 있는 동안에는 특히 고강도 운동이나 폐에 부담을 주는 활동을 피하는 것이 좋습니다. 의사의 지시에 따라 적절한 활동 수준을 유지해야 합니다.
Q: 기흉이 재발하는 것을 어떻게 예방할 수 있나요?
A: 기흉의 재발을 예방하기 위해선 흡연을 중단하고, 폐를 자극할 수 있는 환경이나 활동을 피하는 것이 중요합니다. 또한, 정기적인 의료 검진을 통해 폐 건강을 모니터링하는 것이 도움이 될 수 있습니다.
'의학에 대해서' 카테고리의 다른 글
| 무릎 관절 연골 손상의 수술적 치료 (0) | 2024.02.19 |
|---|---|
| VATS (Video-Assisted Thoracoscopic Surgery) 수술 개요 (0) | 2024.02.18 |
| 일본 뇌염에 대한 이해 (0) | 2024.02.17 |
| 위식도 역류 질환에 대한 이해 (0) | 2024.02.17 |
| 어깨 관절경 수술에 대한 이해 (0) | 2024.02.17 |

댓글