뇌동맥류의 이해
뇌동맥류는 뇌의 혈관 벽이 약해지고 부풀어 오르면서 발생하는 국소적인 확장입니다.
이 혈관 벽의 약한 부분이 파열될 경우, 출혈성 뇌졸중인 지주막하 출혈(Subarachnoid Hemorrhage, SAH)을 유발할 수 있으며, 이는 생명을 위협하는 상황으로 이어질 수 있습니다.
원인
뇌동맥류의 정확한 원인은 알려져 있지 않으나, 다음과 같은 요소가 관련되어 있을 수 있습니다.
유전적 요인: 가족력이 뇌동맥류 발생 위험을 증가시킬 수 있습니다.
혈관 손상: 머리 부상, 고혈압, 감염 등이 혈관 벽을 손상시켜 뇌동맥류를 유발할 수 있습니다.
생활 습관: 흡연과 과도한 음주는 뇌동맥류 발생 위험을 증가시킵니다.
증상
대부분의 뇌동맥류는 증상이 없으며 우연히 발견되기도 합니다. 그러나 크기가 커지거나 파열될 경우 다음과 같은 증상이 나타날 수 있습니다.
심한 두통: 갑작스럽고 매우 심한 두통이 발생합니다.
시각 문제: 시야가 흐려지거나 이중으로 보입니다.
약화 또는 마비: 몸의 한쪽이 약해지거나 마비될 수 있습니다.
구토 및 메스꺼움
의식 상실
진단
뇌동맥류는 다음과 같은 방법으로 진단됩니다.
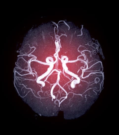
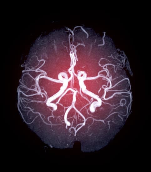
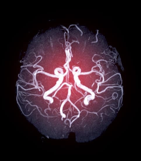
MRI: 자기장과 라디오 파동을 사용하여 뇌의 상세한 이미지를 생성합니다.
CT 스캔: X선을 사용하여 뇌의 단면 이미지를 얻습니다. 파열된 뇌동맥류의 경우, CT 스캔은 출혈을 감지하는 데 유용할 수 있습니다.
뇌혈관 조영술: 혈관 내에 염료를 주입하고 X선을 찍어 혈관의 상태를 관찰합니다.
치료
뇌동맥류의 치료는 뇌동맥류의 크기, 형태, 위치, 파열 위험성, 환자의 건강 상태 등 여러 요소를 고려하여 결정됩니다.
수술적 클리핑: 뇌동맥류의 목 부분에 클립을 설치하여 혈액 흐름을 차단합니다.
내강내 코일색전술: 뇌동맥류 내부에 코일을 삽입하여 혈액 응고를 유도하고 혈액 흐름을 차단합니다.
예방
뇌동맥류의 예방은 직접적인 방법이 없으나, 다음과 같은 생활 습관 개선을 통해 위험 요소를 감소시킬 수 있습니다.
혈압 관리: 정기적인 혈압 체크와 적절한 관리가 중요합니다.
금연: 흡연은 뇌동맥류 발생 위험을 증가시키므로 금연이 필요합니다.
건강한 식습관: 균형 잡힌 식단을 유지하세요.
정기적인 건강 검진: 정기적인 검진을 통해 뇌동맥류와 같은 질환을 조기에 발견할 수 있습니다.
자주 묻는 질문들
Q. 뇌동맥류는 항상 치료가 필요한가요?
A. 모든 뇌동맥류가 즉각적인 치료를 필요로 하는 것은 아닙니다. 크기가 작고 파열 위험이 낮은 경우, 주기적인 모니터링과 위험 요소 관리가 더 적합할 수 있습니다.
Q. 뇌동맥류 파열 후 회복 가능성은 어떻게 되나요?
A. 뇌동맥류가 파열되면 심각한 상태가 될 수 있으며, 신속한 치료가 중요합니다. 회복 가능성은 파열의 정도, 치료의 신속성, 환자의 전반적인 건강 상태 등에 따라 달라집니다.
'의학에 대해서' 카테고리의 다른 글
| 뇌동맥류 수술에 대한 이해 (0) | 2024.02.11 |
|---|---|
| 뇌혈관 조영술의 개요 (0) | 2024.02.10 |
| 고혈압의 이해 (0) | 2024.02.10 |
| 혈전의 이해 (0) | 2024.02.10 |
| 동맥경화의 이해 (0) | 2024.02.09 |

댓글