뇌혈관 조영술의 개요
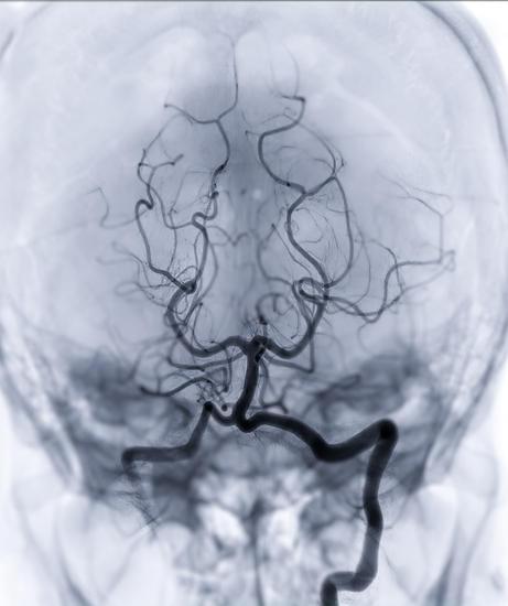
뇌혈관 조영술(Cerebral Angiography)은 뇌의 혈관 상태를 자세히 검사하기 위한 의료 영상 진단 절차입니다.
이 검사는 뇌의 혈관에 염료(조영제)를 주입한 후 X-레이를 사용하여 혈관의 이미지를 얻습니다.
뇌혈관 조영술을 통해 뇌동맥류, 혈관 기형, 혈전, 혈관 폐쇄 또는 좁아짐과 같은 다양한 혈관 문제를 진단할 수 있습니다.
뇌혈관 조영술의 목적
뇌혈관 조영술은 뇌의 혈관 구조와 혈류 상태를 상세히 검사하는 진단 절차입니다. 이 검사는 뇌 혈관의 비정상적인 변화나 문제를 발견하고 평가하기 위해 수행됩니다. 뇌혈관 조영술의 주요 목적은 다음과 같습니다.
뇌혈관 질환 진단
뇌동맥류: 혈관 벽의 약한 부분이 부풀어 오르는 상태로, 파열 시 생명을 위협할 수 있습니다.
뇌혈관 기형: 비정상적인 혈관 연결이나 구조를 가진 상태로, 출혈이나 뇌졸중을 유발할 수 있습니다.
혈전 및 혈관 폐쇄: 혈관 내 혈전이나 혈관의 폐쇄로 인한 혈류 감소 또는 차단 상태를 확인합니다.
혈관염: 혈관 벽의 염증으로, 혈관 손상 및 혈류 장애를 유발할 수 있습니다.
뇌졸중 평가 및 관리
뇌졸중 원인 규명: 뇌졸중의 원인을 파악하여 적절한 치료 방법을 결정합니다.
치료 계획 수립: 뇌졸중 후유증을 최소화하고 재발을 예방하기 위한 치료 계획을 수립합니다.
치료 절차의 계획
외과적 치료 계획: 뇌동맥류 클리핑, 혈관 내 코일 색전술 등 외과적 치료가 필요한 경우, 조영술을 통해 치료 계획을 세울 수 있습니다.
혈관 내 치료 절차: 스텐트 삽입, 혈관 확장술 등 혈관 내 치료 절차를 계획하는 데 필요한 정보를 제공합니다.
연구 및 교육
의학 연구: 뇌혈관 질환의 원인, 치료 효과, 질병 경과 등을 연구하는 데 유용한 정보를 제공합니다.
의료 교육: 의료 전문가의 교육 및 훈련에 있어 실제 사례를 기반으로 한 중요한 학습 자료가 됩니다.
뇌혈관 조영술의 중요성
뇌혈관 조영술은 뇌혈관 질환의 정확한 진단, 적절한 치료 방법의 선택, 그리고 예후 평가에 있어 중요한 역할을 합니다. 이 검사를 통해 얻은 정보는 환자의 치료 계획과 장기 관리에 결정적인 영향을 미칩니다.
검사 절차
준비: 환자는 검사 전 주의 사항을 숙지하고, 필요한 경우 조영제에 대한 알레르기 반응 검사를 받습니다.
마취: 국소 마취제를 사용하여 카테터 삽입 부위(주로 사타구니)를 마취합니다.
카테터 삽입: 얇은 튜브인 카테터를 혈관에 삽입하고, X-레이 영상을 참조하며 뇌로 이동시킵니다.
조영제 주입: 카테터를 통해 조영제를 뇌 혈관에 주입하고, X-레이 영상을 촬영하여 혈관의 이미지를 얻습니다.
마무리: 모든 검사가 끝나면 카테터를 제거하고, 삽입 부위에 압박 붕대를 적용합니다.
검사 후 주의사항
검사 후 몇 시간 동안은 침상 안정을 취해야 합니다.
삽입 부위에 출혈이나 감염의 징후를 주의 깊게 관찰해야 합니다.
조영제로 인한 알레르기 반응이나 다른 부작용이 나타날 수 있으므로 의료진의 지시를 잘 따라야 합니다.
잠재적 위험
조영제에 대한 알레르기 반응
출혈 또는 감염
혈관 손상
드물게 뇌졸중이나 신경학적 합병증
자주 묻는 질문들
Q. 뇌혈관 조영술은 아픈가요?
A. 국소 마취를 사용하기 때문에 카테터 삽입 부위의 통증은 적습니다. 그러나 카테터가 혈관을 따라 이동할 때 약간의 불편함을 느낄 수 있습니다.
Q. 조영제에 대한 알레르기가 있으면 뇌혈관 조영술을 받을 수 없나요?
A. 조영제에 대한 알레르기가 있는 경우 의료진에게 사전에 알려야 합니다. 경우에 따라 알레르기 반응을 예방하기 위한 사전 치료가 가능할 수 있습니다.
Q. 뇌혈관 조영술 후 일상생활로 언제 복귀할 수 있나요?
A. 대부분의 환자는 검사 후 하루 이내에 일상생활로 복귀할 수 있습니다. 그러나 개인의 상태와 검사 결과에 따라 달라질 수 있으므로 의료진의 지시를 따르는 것이 중요합니다.
'의학에 대해서' 카테고리의 다른 글
| 뇌종양의 유형과 치료 (0) | 2024.02.11 |
|---|---|
| 뇌동맥류 수술에 대한 이해 (0) | 2024.02.11 |
| 뇌동맥류의 이해 (0) | 2024.02.10 |
| 고혈압의 이해 (0) | 2024.02.10 |
| 혈전의 이해 (0) | 2024.02.10 |

댓글