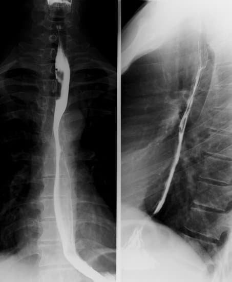
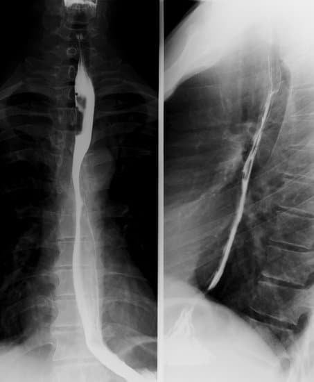
바륨 식도조영술 (Barium Swallow)에 대한 이해
바륨 식도조영술(Barium Swallow)은 바륨(Barium)이라는 방사선 불투과성 물질을 삼킨 후 X-ray를 촬영하여 식도, 위, 십이지장의 구조와 기능을 평가하는 영상 검사입니다.
이 검사는 연하 장애, 식도 협착, 식도암 등의 진단에 유용합니다.
목적
바륨 식도조영술의 주요 목적은 다음과 같습니다:
연하 장애 평가: 삼킴에 어려움이 있는 환자의 식도 구조와 기능을 평가합니다.
식도 협착: 식도 협착이나 폐쇄를 확인합니다.
식도염 및 궤양: 식도염, 식도 궤양 등의 염증성 질환을 진단합니다.
식도암: 식도암이나 기타 종양의 유무를 확인합니다.
위식도 역류질환(GERD): 위산 역류가 식도에 미치는 영향을 평가합니다.
준비
금식: 검사 전 최소 6-8시간 동안 금식이 필요합니다.
약물 중단: 의사와 상의하여 필요한 경우 특정 약물의 복용을 일시적으로 중단할 수 있습니다.
알레르기 확인: 바륨에 대한 알레르기가 있는지 확인합니다.
절차
바륨 혼합액 섭취: 환자는 방사선 불투과성 물질인 바륨 혼합액을 삼킵니다.
X-ray 촬영: 바륨이 식도를 통과하는 동안 연속적으로 X-ray를 촬영하여 식도의 모양과 움직임을 관찰합니다.
위치 조정: 환자는 다양한 자세(서기, 눕기 등)를 취하여 여러 각도에서 식도를 촬영합니다.
이미지 분석: 촬영된 X-ray 이미지를 통해 식도의 구조와 기능을 평가합니다.
결과 해석
정상: 바륨이 식도를 원활하게 통과하고, 식도에 구조적 이상이 없는 경우.
식도 협착: 바륨이 특정 부위에서 좁아지거나 막혀있는 경우.
연하 장애: 바륨이 식도로 정상적으로 이동하지 않는 경우.
식도염 및 궤양: 식도 벽에 염증이나 궤양이 있는 경우.
종양: 식도에 종양이나 비정상적인 덩어리가 있는 경우.
부작용 및 주의사항
변비: 바륨은 변비를 유발할 수 있으므로, 검사 후 충분한 수분을 섭취하는 것이 중요합니다.
알레르기 반응: 바륨에 알레르기 반응이 있을 수 있습니다.
일시적 변색: 바륨 섭취 후 며칠 동안 대변이 흰색으로 변할 수 있습니다.
감염 위험: 매우 드물지만, 바륨 혼합액이 폐로 들어가는 경우 감염의 위험이 있을 수 있습니다.
사후 관리
수분 섭취: 검사 후 충분한 수분을 섭취하여 바륨이 신속히 배출되도록 합니다.
식사 재개: 의사의 지시에 따라 정상 식사를 재개합니다.
증상 관찰: 변비, 복통, 발열 등의 증상이 나타나면 즉시 의료기관을 방문합니다.
바륨 식도조영술은 식도의 구조와 기능을 평가하는 중요한 영상 검사입니다. 이 검사를 통해 다양한 식도 질환을 정확히 진단하고 적절한 치료 계획을 세울 수 있습니다.
자주 묻는 질문 (FAQ) - 바륨 식도조영술 (Barium Swallow)
Q: 바륨 식도조영술은 무엇인가요?
A: 바륨 식도조영술은 바륨이라는 방사선 불투과성 물질을 삼킨 후 X-ray를 촬영하여 식도, 위, 십이지장의 구조와 기능을 평가하는 영상 검사입니다. 주로 연하 장애, 식도 협착, 식도염, 식도암 등을 진단하는 데 사용됩니다 .
Q: 바륨 식도조영술을 받기 전에 어떤 준비가 필요한가요?
A: 검사 전 최소 6-8시간 동안 금식이 필요합니다. 또한, 특정 약물의 복용을 일시적으로 중단할 수 있으며, 바륨에 대한 알레르기가 있는지 확인하는 것이 중요합니다 .
Q: 바륨 식도조영술은 어떻게 진행되나요?
A: 환자는 바륨 혼합액을 삼킨 후, X-ray 촬영을 통해 바륨이 식도를 통과하는 과정을 관찰합니다. 여러 각도에서 X-ray를 촬영하여 식도의 구조와 기능을 평가합니다 .
Q: 바륨 식도조영술 후에 부작용이 있나요?
A: 바륨 섭취 후 변비가 발생할 수 있으므로 검사 후 충분한 수분을 섭취하는 것이 중요합니다. 또한, 일시적으로 대변이 흰색으로 변할 수 있으며, 드물게 알레르기 반응이 나타날 수 있습니다 .
Q: 바륨 식도조영술 결과는 어떻게 해석되나요?
A: 검사 결과는 바륨이 식도를 원활하게 통과하는지, 식도에 협착이나 염증, 궤양, 종양 등이 있는지 평가합니다. 이를 통해 식도 질환의 유무와 상태를 진단합니다 .
Q: 바륨 식도조영술 후 어떻게 관리해야 하나요?
A: 검사 후 충분한 수분을 섭취하여 바륨이 신속히 배출되도록 합니다. 또한, 의사의 지시에 따라 정상 식사를 재개하고, 변비나 복통, 발열 등의 증상이 나타나면 즉시 의료기관을 방문해야 합니다 .
위식도 역류질환 (Gastro-esophageal reflux disease, GERD)에 대한 이해
위식도 역류질환 (Gastro-esophageal reflux disease, GERD)에 대한 이해위식도 역류질환(GERD)은 위 내용물(산성 소화액)이 식도로 역류하여 발생하는 만성 질환입니다.GERD는 가슴 쓰림과 산 역류와 같은 증
namo38.com
'의학에 대해서' 카테고리의 다른 글
| 점액낭종 (Mucocele)의 원인과 치료 (0) | 2024.08.06 |
|---|---|
| 내시경 항역류 시술 (Endoscopic Anti-reflux Procedure) (0) | 2024.08.05 |
| 식도 내압 검사 (Esophageal Manometry)에 대한 이해 (0) | 2024.08.05 |
| 24시간 식도 pH 검사 (24-Hour Esophageal pH Monitoring) (0) | 2024.08.04 |
| 상부 위장관 내시경 검사 (Esophagogastroduodenoscopy, EGD)에 대한 이해 (0) | 2024.08.04 |

댓글