CT 대장조영술 (CT Colonography): 비침습적 대장 검사 방법

1. CT 대장조영술이란?
CT 대장조영술(CT Colonography, 가상 대장내시경)은 컴퓨터 단층 촬영(CT)을 활용하여 대장 내부를 3D 이미지로 재구성하는 비침습적 검사 방법입니다.
내시경을 직접 삽입하지 않고, 대장의 구조와 용종의 유무를 파악할 수 있어 환자에게 불편함이 적습니다.
2. CT 대장조영술의 원리
공기 또는 이산화탄소 주입:
검사를 시작하기 전에 대장에 공기 또는 이산화탄소를 주입하여 팽창시킵니다.
이는 대장 벽을 펼쳐서 CT 이미지에서 작은 용종까지 선명하게 볼 수 있도록 합니다.
CT 스캔 촬영:
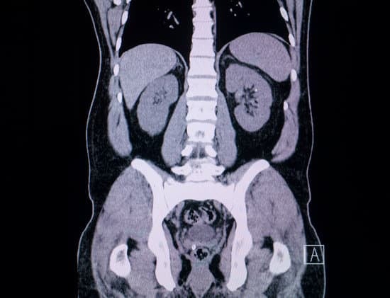
환자는 검사대에 눕고, 복부와 등을 각각 촬영합니다.
CT 촬영 시 3D 이미지가 생성되며, 이를 분석하여 대장 내부를 시각적으로 확인합니다.
3D 재구성:
컴퓨터 소프트웨어가 촬영된 이미지를 3차원으로 재구성하여 마치 내시경을 삽입한 것처럼 대장 내부를 확인할 수 있습니다.
3. CT 대장조영술의 장점
비침습적
내시경 삽입 없이 대장 검사가 가능합니다.
짧은 검사 시간
약 15~20분 내외로 빠르게 검사할 수 있습니다.
전신 마취 불필요
일반 내시경과 달리 마취가 필요하지 않으며, 검사 후 바로 일상생활이 가능합니다.
대장 외 다른 질환 발견 가능
대장뿐만 아니라 주변 장기의 상태도 확인할 수 있습니다.
4. CT 대장조영술의 단점
용종 제거 불가능
발견된 용종은 즉시 제거할 수 없고, 내시경 검사를 추가로 받아야 합니다.
작은 용종 발견 제한
5mm 이하의 작은 용종은 발견이 어려울 수 있습니다.
장 팽창으로 인한 불편감
공기 주입 시 복부 팽만감이나 불편함을 느낄 수 있습니다.
방사선 노출
CT 촬영 시 소량의 방사선에 노출됩니다.
5. CT 대장조영술의 절차
① 검사 전 준비
검사 전날 대장 세척제를 복용하여 장을 깨끗하게 비웁니다.
검사 당일에는 금식을 유지해야 하며, 물 섭취는 가능합니다.
② 공기 또는 이산화탄소 주입
검사 중 대장을 팽창시키기 위해 항문을 통해 공기 또는 이산화탄소를 주입합니다.
이 과정에서 약간의 복부 팽만감이 있을 수 있습니다.
③ CT 스캔 촬영
환자는 등과 배 방향으로 번갈아 눕고 촬영을 진행합니다.
3D 이미지가 생성되며, 용종 유무와 크기를 판별합니다.
④ 결과 분석
촬영된 3D 이미지를 바탕으로 전문의가 분석합니다.
용종이 발견되면, 추가적인 대장내시경이 필요할 수 있습니다.
6. CT 대장조영술이 적합한 경우
전통 대장내시경이 어려운 경우: 협착이 있거나 내시경 삽입이 어려운 환자
대장암 조기 발견을 원하는 경우: 50세 이상이거나 대장암 가족력이 있는 사람
내시경 검사에 대한 거부감이 있는 경우: 침습적인 검사에 두려움이 있는 사람
7. CT 대장조영술 vs. 대장내시경 비교

8. CT 대장조영술 후 관리 및 주의사항
일반 생활 가능: 시술 후 바로 일상생활이 가능합니다.
복부 팽만감: 이산화탄소가 흡수되면서 몇 시간 내 자연스럽게 해소됩니다.
출혈이나 통증이 있을 시 병원 방문: 드물지만 출혈이나 통증이 지속되면 병원을 방문해야 합니다.
9. 결론
CT 대장조영술은 대장내시경에 비해 부담이 적고, 빠르게 진행되기 때문에 정기 검진에 매우 유용합니다.
특히, 대장암의 조기 발견을 위해 50세 이상이거나 가족력이 있는 사람들은 정기적인 검사가 권장됩니다.
다만, 용종이 발견되면 대장내시경으로 추가 검사가 필요하므로, 두 검사 방법의 특성을 이해하고 선택하는 것이 중요합니다.
대장 건강을 지키기 위한 첫걸음, 정기 검진으로 시작하세요!
대장용종의 진단 방법: 정확한 검사로 조기 발견하기
대장용종의 진단 방법: 정확한 검사로 조기 발견하기대장용종은 대장 내 점막에 비정상적인 조직이 자라나는 현상으로, 일부는 대장암으로 발전할 수 있습니다.조기 발견을 통해 암으로 발전하
namo38.com
'의학에 대해서' 카테고리의 다른 글
| 대변 잠혈 검사 (FOBT, FIT): 대장 건강의 첫걸음 (0) | 2025.05.12 |
|---|---|
| 단순포진 (Herpes Simplex): 원인, 증상, 치료 및 예방법 (0) | 2025.05.11 |
| 대장용종의 진단 방법: 정확한 검사로 조기 발견하기 (0) | 2025.05.10 |
| 대장 용종 – 대장암으로 진행될 수 있는 위험 신호 (0) | 2025.05.09 |
| 대장내시경 – 대장 건강을 지키는 필수 검사! (0) | 2025.05.09 |
댓글