결핵 (Tuberculosis)의 원인과 치료
결핵은 주로 폐에 영향을 미치는 전염병으로, 결핵균(Mycobacterium tuberculosis)에 의해 발생합니다.
결핵은 전 세계적으로 심각한 공중 보건 문제로, 특히 개발도상국에서 높은 유병률을 보입니다.
원인
결핵균(Mycobacterium tuberculosis): 결핵의 주요 원인균으로, 공기를 통해 전파됩니다.
감염 경로: 감염된 사람이 기침, 재채기, 말할 때 공기 중에 방출되는 미세한 침방울을 통해 다른 사람에게 전파됩니다.
전파 방식
공기 중 전파: 결핵은 결핵균이 포함된 공기를 흡입함으로써 전염됩니다.
밀폐된 공간: 환기가 잘 되지 않는 밀폐된 공간에서 전파 위험이 높습니다.
증상
기침: 3주 이상 지속되는 기침, 피가 섞인 가래가 나올 수 있습니다.
체중 감소: 원인 불명의 체중 감소.
발열: 주로 밤에 발생하는 발열.
식은땀: 밤에 식은땀이 많이 나는 증상.
피로: 전반적인 피로감과 쇠약감.
흉통: 호흡 시 흉통이 동반될 수 있습니다.
진단
피부 검사
투베르쿨린 피부 검사(Tuberculin Skin Test, TST): 소량의 결핵 단백질을 피부 아래에 주사하여 반응을 확인합니다.
혈액 검사
인터페론 감마 방출 검사(Interferon-Gamma Release Assays, IGRA): 결핵균에 대한 면역 반응을 측정합니다.
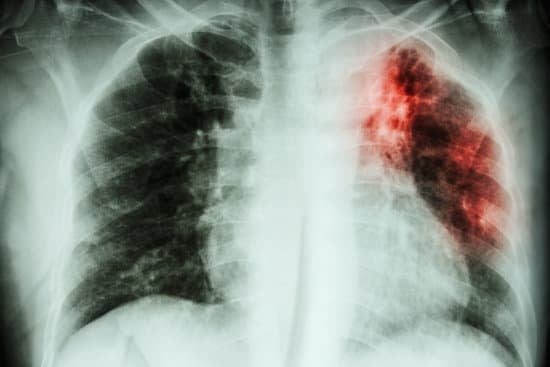
흉부 엑스레이
X-ray: 폐의 이상 여부를 확인합니다.
객담 검사
객담 도말 검사 및 배양 검사: 객담(가래)을 채취하여 결핵균의 존재 여부를 확인합니다.
치료
1. 1차 약물 치료
아이소니아지드(Isoniazid, INH)
리팜핀(Rifampin, RIF)
피라진아미드(Pyrazinamide, PZA)
에탐부톨(Ethambutol, EMB)
이들 약물은 초기 2개월 동안 병합 투여되며, 이후 4개월 동안 아이소니아지드와 리팜핀을 투여하여 총 6개월간 치료합니다.
2. 다제내성 결핵 (MDR-TB)
두 번째 선택 약물: 다제내성 결핵의 경우, 주로 항생제인 플루오로퀴놀론과 아미노글리코사이드를 사용합니다.
치료 기간: MDR-TB 치료는 최소 9개월에서 12개월 이상 지속됩니다.
예방
BCG 백신: 결핵 예방을 위해 BCG 백신이 사용됩니다. 특히 유아와 소아에서 심각한 결핵 감염을 예방하는 데 효과적입니다.
감염 관리: 결핵 환자는 공공장소에서 마스크를 착용하고, 밀폐된 공간에서의 활동을 자제해야 합니다.
조기 발견 및 치료: 결핵 증상이 의심될 경우 즉시 의료기관을 방문하여 검사를 받고, 조기 치료를 시작하는 것이 중요합니다.
자주 묻는 질문 (FAQ)
Q: 결핵은 얼마나 전염성이 강한가요?
A: 결핵은 공기를 통해 전파되며, 감염된 사람과 밀접한 접촉을 통해 쉽게 전염될 수 있습니다. 따라서 적절한 예방 조치가 중요합니다.
Q: 결핵 치료 후에도 재발할 수 있나요?
A: 결핵은 적절한 치료를 받으면 완치될 수 있지만, 면역력이 약해지거나 치료가 불완전할 경우 재발할 수 있습니다.
Q: 결핵 예방을 위해 일상에서 실천할 수 있는 방법은 무엇인가요?
A: 자주 손을 씻고, 공공장소에서는 마스크를 착용하며, 충분한 환기가 이루어지도록 합니다. 또한, 결핵 증상이 나타나면 즉시 의료기관을 방문하여 검사를 받는 것이 중요합니다.
결핵은 조기 발견과 적절한 치료를 통해 예방 및 완치가 가능한 질병입니다.
의심 증상이 나타나면 즉시 의료기관을 방문하여 검사를 받고 치료를 받는 것이 중요합니다.
심근경색 (Myocardial Infarction)의 원인과 치료
심근경색 (Myocardial Infarction)의 원인과 치료심근경색은 심장근육의 혈액 공급이 차단되어 조직이 손상되는 심각한 상태입니다. 주로 관상동맥이 혈전에 의해 막히면서 발생합니다.심근경색은 즉
namo38.com
'의학에 대해서' 카테고리의 다른 글
| 부갑상선항진증 (Hyperparathyroidism)의 치료 (0) | 2024.08.09 |
|---|---|
| 비결핵항산균 폐질환 (Nontuberculous Mycobacteria, NTM) (0) | 2024.08.09 |
| 심근경색 (Myocardial Infarction)의 원인과 치료 (0) | 2024.08.08 |
| 하지 정맥류 (Varicose Veins)의 원인과 치료 (0) | 2024.08.07 |
| 안검하수 (Blepharoptosis)의 원인과 치료 (0) | 2024.08.07 |

댓글