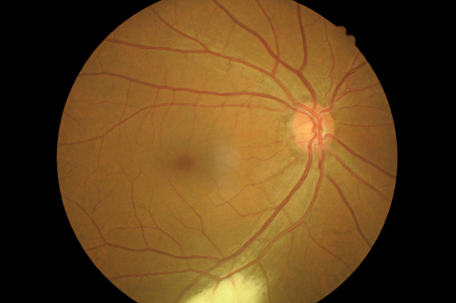
공기 주입술 (Pneumatic Retinopexy): 망막박리 치료

공기 주입술(Pneumatic Retinopexy)은 망막박리(Retinal Detachment)를 치료하기 위한 비침습적 시술 중 하나로, 눈에 공기 또는 가스를 주입하여 박리된 망막을 제자리로 복원하는 방법입니다.
이 치료는 특히 망막박리가 초기 단계일 때 효과적이며, 수술보다 덜 침습적이고 회복 기간이 짧다는 장점이 있습니다.
공기 주입술의 원리
눈 안의 유리체 공간에 공기 또는 가스를 주입합니다.
주입된 공기 방울이 망막 열공(구멍)이나 박리 부위를 눌러 망막이 안구 벽에 부착되도록 도움을 줍니다.
이후, 레이저 광응고술이나 냉동 응고술(Cryopexy)을 사용하여 망막 열공을 영구적으로 고정합니다.
적응증 (시술 대상)
공기 주입술은 다음과 같은 경우에 적합합니다: 망막 열공이 위쪽에 위치한 경우
중력으로 인해 공기 방울이 열공을 눌러 밀착하기 쉬움.
망막박리가 상대적으로 작고 국소적인 경우 초기 박리나 제한된 범위에서 효과적.
황반(중심 시야)가 손상되지 않은 경우 빠른 치료로 황반 손상을 예방 가능.
수술을 받기 어려운 환자
고령자 또는 전신 질환으로 인해 큰 수술이 어려운 경우.
공기 주입술의 과정
1. 준비 단계
국소 마취제를 사용하여 눈의 불편함을 최소화.
안구를 소독하고 준비합니다.
2. 공기 또는 가스 주입
가느다란 주사기를 통해 눈의 유리체 공간에 공기나 가스를 주입합니다.
공기 방울이 망막 열공을 밀착시키도록 눈 안에서 이동.
3. 망막 고정
공기 방울이 제자리로 이동한 후, 레이저 치료나 냉동 응고술로 열공을 고정하여 망막이 재부착된 상태를 유지.
4. 자세 유지
환자는 특정 머리 자세를 유지해야 공기 방울이 올바른 위치에 머무를 수 있습니다.
예: 열공이 위쪽에 있을 경우, 머리를 아래로 기울이거나 옆으로 눕는 자세를 취함.
시술 후 관리
1. 자세 유지
공기 방울이 망막 열공을 압박하도록 특정 자세를 며칠에서 몇 주간 유지해야 합니다.
자세 유지 지침은 의사가 열공의 위치에 따라 조정합니다.
2. 시야 흐림
공기 방울이 흡수되기 전까지 시야가 흐릿하거나 아래쪽 시야가 차단될 수 있습니다.
공기 방울은 1~2주 후 자연스럽게 흡수됩니다.
3. 활동 제한
비행기 탑승 금지: 공기 방울이 남아 있는 동안 기압 변화가 망막에 영향을 줄 수 있으므로 비행기를 타면 안 됩니다.
격렬한 운동, 무거운 물건 들기 등은 피해야 합니다.
4. 약물 사용
감염 예방을 위해 항생제 점안액 및 항염증제 점안액 사용.
5. 정기 검진
시술 후 1~2주 간격으로 안과를 방문하여 망막이 정상적으로 부착되었는지 확인.
공기 주입술의 장점
비침습적
절개나 봉합이 필요하지 않으므로 회복 기간이 짧음.
짧은 시술 시간
30분 내외로 진행.
일상 복귀가 빠름
대부분의 환자가 시술 후 1~2일 내 일상생활 가능.
효율적이고 비용 효과적
복잡한 수술에 비해 경제적이고 간단.
공기 주입술의 제한점 및 부작용
1. 제한된 적응증
망막박리가 광범위하거나 황반이 손상된 경우에는 적합하지 않음.
열공이 아래쪽에 있는 경우 중력 때문에 공기 방울이 제대로 작용하지 않을 수 있음.
2. 부작용
일시적인 시야 흐림.
감염(드물지만 시술 후 안구내염 가능).
공기 방울이 흡수되기 전까지 불편감.
3. 재발 위험
망막박리가 재발할 가능성이 있으며, 이 경우 추가적인 치료나 수술이 필요할 수 있음.
공기 주입술과 다른 망막박리 치료법 비교

자주 묻는 질문 (FAQ)
Q1. 공기 방울은 얼마나 오래 지속되나요?
A. 공기 방울은 보통 12주 내로 흡수됩니다. 가스 방울의 경우 최대 46주까지 지속될 수 있습니다.
Q2. 자세 유지는 얼마나 중요하나요?
A. 자세 유지는 성공적인 치료의 핵심입니다. 잘못된 자세를 유지하면 망막이 다시 박리될 위험이 있습니다.
Q3. 공기 주입술이 실패하면 어떻게 되나요?
A. 실패할 경우 공막돌륭술이나 유리체 절제술과 같은 대체 치료가 필요할 수 있습니다.
Q4. 시술 후 언제 비행기를 탈 수 있나요?
A. 공기 방울이 완전히 흡수된 후에만 비행기 탑승이 가능합니다. 이는 최소 2~4주가 걸릴 수 있습니다.
Q5. 공기 주입술로 완치가 가능한가요?
A. 초기 망막박리의 경우 완치 가능성이 높지만, 망막 상태와 열공의 위치에 따라 다릅니다. 재발 가능성을 줄이기 위해 정기적인 검진이 필요합니다.
결론
공기 주입술(Pneumatic Retinopexy)은 초기 망막박리를 치료하는 간단하고 효과적인 방법으로, 비침습적이고 회복이 빠르다는 장점이 있습니다. 하지만 자세 유지가 필수적이며, 진행된 망막박리에는 적합하지 않을 수 있습니다. 조기에 안과 전문의의 진단을 받고 적절한 치료를 받는 것이 망막박리 완치의 핵심입니다.
망막박리(Retinal Detachment)의 치료 방법
망막박리(Retinal Detachment)의 치료 방법망막박리는 망막이 제자리를 떠나 안구의 뒤쪽에서 분리되는 상태로, 즉각적인 치료가 필요합니다.치료 방법은 박리의 원인, 진행 정도, 위치 및 환자의 건
namo38.com
'의학에 대해서' 카테고리의 다른 글
| 유리체 절제술 (Vitrectomy): 망막 및 유리체 질환 치료 (0) | 2024.12.14 |
|---|---|
| 공막돌륭술 (Scleral Buckling): 망막박리 치료 (0) | 2024.12.14 |
| 냉동 응고술 (Cryopexy): 망막 손상 치료 (0) | 2024.12.14 |
| 레이저 광응고술 (Laser Photocoagulation): 망막 질환 치료의 핵심 (0) | 2024.12.13 |
| 망막박리(Retinal Detachment)의 치료 방법 (0) | 2024.12.13 |
댓글