뇌종양의 분류: 글리오마
글리오마는 중추신경계에 발생하는 가장 흔한 형태의 악성 종양입니다.
이 종양은 뇌나 척수의 신경세포를 지지하는 세포인 신경교세포에서 유래하며, 그 결과 다양한 신경학적 증상을 일으킬 수 있습니다.
글리오마는 그 성장 속도와 악성 정도에 따라 여러 등급으로 분류됩니다.
글리오마의 진단 분류는 주로 종양의 조직학적 특성과 유전적 변이에 기초하여 이루어집니다.
세계보건기구(WHO)는 뇌종양을 진단하고 분류하는 주요 기준을 제공하며, 최근의 업데이트에서는 유전자 마커와 종양의 분자적 특성을 포함하는 방향으로 진화하고 있습니다.
이러한 분류는 치료 계획과 예후 판단에 중요한 역할을 합니다.
WHO 글리오마 등급 분류
WHO 분류에 따르면, 글리오마는 주로 I등급부터 IV등급까지 나누어지며, 각 등급은 종양의 악성도를 나타냅니다.
I등급 (저등급)
예시: 소아 척수종양, 성상세포종
이 종류의 글리오마는 성장 속도가 느리고, 세포의 비정상적인 정도가 적으며, 치료에 대한 반응도 좋은 편입니다.
II등급 (저등급)
예시: 뇌성교모세포종, 올리고덴드로그리오마
이들은 느린 성장 속도를 보이지만 재발 가능성이 있으며, 때로는 더 고등급의 종양으로 진행할 수 있습니다.
III등급 (중등급)
예시: 악성 올리고덴드로그리오마, 교모세포종
세포가 비정상적이고, 성장 속도가 빠르며, 악성 변화 가능성이 높습니다.
IV등급 (고등급)
예시: 교모세포종(글리오블라스토마)
가장 공격적이고 치료가 어려운 글리오마 유형입니다. 이 종양은 빠르게 성장하고 주변 뇌 조직으로 침입하며, 예후가 가장 좋지 않습니다.
분자적 특성
최근 WHO의 분류는 종양의 분자적 특성을 강조하고 있습니다. 특히 중요한 유전적 변이는 다음과 같습니다.
IDH 변이: 이소시트르산 탈수소효소(IDH) 유전자의 변이는 일부 글리오마에서 발견되며, 일반적으로 더 나은 예후와 연관됩니다.
1p/19q 공동 상실: 특히 올리고덴드로그리오마에서 발견되는 이 유전적 변화는 화학 요법에 대한 민감도를 증가시킵니다.
MGMT 프로모터 메틸화: 이 유전적 변화는 화학 요법에 대한 반응을 예측하는 데 사용될 수 있습니다.
이러한 분류와 등급 시스템은 글리오마의 치료 방향을 결정하고, 환자의 예후를 예측하는 데 중요한 도구입니다.
진단 시에는 이와 같은 다양한 생물학적 마커와 조직학적 특성을 종합적으로 고려하여 치료 계획을 세우게 됩니다.
글리오마의 증상
글리오마의 증상은 종양의 위치, 크기, 그리고 성장 속도에 따라 다양하게 나타날 수 있습니다.
종양이 뇌의 어느 부분에 생겼는지에 따라 그 부위가 담당하는 기능에 문제가 생기게 됩니다.
다음은 글리오마로 인해 발생할 수 있는 일반적인 증상들입니다.
두통: 가장 흔한 증상 중 하나로, 특히 아침에 더 심하게 느껴질 수 있습니다. 또한, 두통이 점점 더 자주 발생하고 강도가 세질 수 있습니다.
간질성 발작: 뇌에 위치한 종양 때문에 발작이 처음으로 발생하는 경우도 많습니다. 이는 뇌의 전기적 활동에 이상이 생겼음을 나타냅니다.
인지 및 기억 문제: 종양이 뇌의 인지 기능을 담당하는 부위에 영향을 미칠 경우, 집중력이 떨어지거나 기억력 손상이 일어날 수 있습니다.
시각 변화: 시야 상실이나 이중 시각과 같은 시각 장애가 나타날 수 있습니다. 이는 종양이 시각 경로를 압박할 때 발생합니다.
운동 기능 장애: 마비, 근력 약화, 조정력 상실 등이 발생할 수 있으며, 특히 종양이 운동 피질이나 근접한 신경 경로에 위치한 경우에 그렇습니다.
인격 변화 및 정서 변화: 환자는 평소와 다른 성격 변화를 보이거나 우울증, 불안 등의 정서적 문제를 경험할 수 있습니다.
구토 및 메스꺼움: 특히 아침에 심할 수 있으며, 이는 종양이 뇌압을 증가시켜 발생하는 증상입니다.
글리오마의 초기 증상은 종종 미묘하고 다른 일반적인 질병과 유사할 수 있어서 진단이 늦어지는 경우가 많습니다.
만약 이와 같은 증상들이 새롭게 나타나거나 점차 심해진다면, 의사의 진찰을 받는 것이 중요합니다.
진단
글리오마의 진단은 여러 단계를 거쳐 이루어지며, 특히 복잡하고 미묘한 증상이 나타나는 경우에는 다양한 진단 도구와 절차가 필요합니다. 다음은 글리오마 진단을 위한 주요 단계입니다.
1. 병력 청취 및 신체 검사
의사는 환자의 증상, 건강력, 가족력 등을 청취하고, 신경학적 검사를 포함한 신체 검사를 실시합니다.
이 과정에서 신경계 기능의 이상 여부를 평가하고 증상의 원인을 추정합니다.
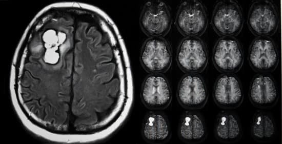
2. 영상 진단
자기공명영상(MRI): 글리오마의 진단에서 가장 중요하고 흔히 사용되는 영상 진단 방법입니다. MRI는 종양의 위치, 크기, 그리고 주변 조직과의 관계를 자세히 보여줄 수 있습니다.
컴퓨터단층촬영(CT) 스캔: MRI 사용이 어려운 경우나 긴급 상황에서 CT 스캔을 사용할 수 있습니다. CT는 빠르게 종양의 존재를 확인할 수 있으나, MRI보다는 상세도가 떨어집니다.
3. 생검
영상 진단을 통해 종양이 발견된 경우, 정확한 유형과 악성도를 평가하기 위해 생검이 필요할 수 있습니다.
생검은 수술적 절차를 통해 종양 조직의 일부를 채취하고, 병리학적 검사로 암세포의 유형을 분석합니다.
이 정보는 치료 계획을 세우는 데 중요한 역할을 합니다.
4. 추가 검사
필요에 따라 다음과 같은 추가 검사가 시행될 수 있습니다:
양전자 방출 단층촬영(PET) 스캔: 이 검사는 종양의 대사 활동을 평가하여 악성도를 추정하고, 종양의 반응을 모니터링하는 데 도움이 됩니다.
신경심리학적 평가: 인지 기능이나 기억력에 영향을 미치는 경우, 이 평가를 통해 환자의 뇌 기능 상태를 자세히 평가할 수 있습니다.
글리오마의 진단은 이러한 다양한 절차와 검사를 통해 이루어지며, 확진 후에는 종양의 유형, 크기, 위치, 환자의 건강 상태 등을 고려하여 최적의 치료 방법을 결정합니다.
치료
글리오마의 치료는 종양의 유형, 등급, 위치, 환자의 전반적인 건강 상태 등 여러 요인을 고려하여 개별적으로 계획됩니다.
주로 다음과 같은 치료 방법들이 사용됩니다.
1. 수술
종양 절제: 가능한 경우, 종양을 최대한 많이 제거하는 것이 목표입니다. 완전 절제가 가능하면 증상 완화와 함께 생존율을 향상시킬 수 있습니다.
생검 및 부분 절제: 완전 절제가 불가능할 때는 부분 절제를 시도하여 증상을 완화시키고 다른 치료 방법의 효과를 높일 수 있습니다.
2. 방사선 치료
외부 방사선 치료: 수술 후 남아있는 종양 세포를 파괴하기 위해 사용됩니다. 또한 수술이 불가능한 경우 종양의 성장을 억제하는 주요 치료 방법으로 활용됩니다.
정위 방사선 수술(감마나이프, 사이버나이프): 매우 정밀한 방사선을 종양에 집중적으로 쏘아, 주변 건강한 조직에는 최소한의 손상을 주면서 종양을 제거하거나 축소합니다.
3. 화학 요법
전신 화학 요법: 약물을 사용하여 종양 세포를 죽이거나 성장을 억제합니다. 특히 수술이 불가능하거나 고등급 글리오마인 경우 중요한 치료 방법입니다.
표적 치료제: 종양 세포의 특정 유전자 변이나 단백질을 타겟으로 하는 신약 개발이 활발히 이루어지고 있습니다. 이러한 표적 치료는 더 정밀하고 효과적인 치료 결과를 가져올 수 있습니다.
4. 항암 면역 치료
최근에는 글리오마 치료에 면역 체계를 활용하는 방법도 연구되고 있습니다. 이 치료는 면역 체계가 종양 세포를 인식하고 공격하도록 돕는 것을 목표로 합니다.
예후
글리오마의 예후는 종양의 유형, 크기, 확산 정도, 환자의 나이 및 전반적인 건강 상태에 크게 좌우됩니다.
특히 고등급 글리오마는 치료가 어렵고 예후가 좋지 않은 편입니다.
그러나 조기 발견과 적극적인 치료를 통해 생존 기간을 연장하고 삶의 질을 향상시킬 수 있습니다.
글리오마는 복잡하고 치료가 까다로운 질병이지만, 의료 기술의 발전과 함께 새로운 치료 방법이 계속 개발되고 있습니다.
연구자들은 더 나은 치료 결과를 위해 지속적으로 노력하고 있으며, 환자와 가족들은 전문 의료진과 긴밀히 협력하여 최선의 치료 계획을 수립할 필요가 있습니다.
'의학에 대해서' 카테고리의 다른 글
| 자세성 척추 후만증에 대한 이해 (0) | 2024.05.04 |
|---|---|
| 양전자 방출 단층촬영(PET) 스캔에 대한 이해 (0) | 2024.05.03 |
| 뇌종양에 대한 이해 (0) | 2024.05.02 |
| 수근관 증후군 수술에 대한 이해 (0) | 2024.05.02 |
| 수근관 증후군의 치료방법 (0) | 2024.05.01 |

댓글