뇌종양에 대한 이해
뇌종양은 뇌 내부의 정상적이지 않은 세포 성장으로 발생하는 질환입니다.
이런 종양은 양성(비암성)이거나 악성(암성)일 수 있습니다.
악성 뇌종양은 뇌암이라고도 불리며, 종양이 뇌 조직에 침투하거나 주변 조직으로 빠르게 퍼질 수 있습니다.
뇌종양의 유형
뇌종양은 종양이 발생하는 위치와 종양 세포의 유형에 따라 다양하게 분류됩니다.
주로 두 가지 큰 범주로 나뉘는데, 일차 뇌종양과 전이성 뇌종양입니다. 각각에 대해 더 자세히 알아보겠습니다.
1. 일차 뇌종양
일차 뇌종양은 뇌 또는 중추신경계의 다른 부분에서 직접 발생하는 종양입니다.
이러한 종양은 다음과 같은 유형으로 나뉩니다.
글리오마: 가장 흔한 유형의 뇌종양으로, 뇌의 지지 세포인 교세포에서 발생합니다.
글리오마는 세부적으로 몇 가지 하위 유형으로 나뉘며, 이들 중 일부는 매우 공격적일 수 있습니다.
아스트로사이토마: 아스트로사이트 교세포에서 발생하며, 악성 정도에 따라 다양한 등급으로 분류됩니다.
올리고덴드로그리오마: 올리고덴드로사이트에서 발생하며, 비교적 드뭅니다.
교모세포종: 매우 공격적인 암으로, 치료가 어렵습니다.
수막종: 뇌 또는 척수의 막에서 발생하는 종양으로 대부분 양성입니다. 수술로 제거 가능하며, 종종 느리게 자라므로 증상이 나타나지 않을 수 있습니다.
뇌하수체 종양: 뇌하수체에서 발생하며, 호르몬 불균형을 초래할 수 있습니다. 대부분은 양성입니다.
두개골 내 신경초종: 청각 신경이나 다른 뇌신경에서 발생하는 종양으로, 종종 청력 상실과 같은 문제를 유발할 수 있습니다.
2. 전이성 뇌종양
전이성 뇌종양은 다른 신체 부위에서 시작하여 뇌로 전이된 종양입니다.
이 종양들은 원발성 암의 특성을 가지며, 뇌에서 발견될 때는 이미 진행된 암의 신호일 수 있습니다.
가장 흔한 원발암 위치는 폐, 유방, 피부(흑색종), 신장, 그리고 대장입니다.
이러한 뇌종양의 유형을 정확히 파악하는 것은 치료 계획을 수립하는 데 중요하며, 각 종류의 뇌종양은 다른 치료 접근법을 필요로 합니다. 초기 증상이 나타나면, 전문가의 진단을 받아 적절한 치료를 시작하는 것이 중요합니다.
증상
뇌종양의 증상은 종양의 위치, 크기, 그리고 성장 속도에 따라 다양하게 나타날 수 있습니다.
일부 증상은 뇌의 특정 부분에 압력을 가함으로써 발생하며, 다음은 뇌종양이 있을 때 나타날 수 있는 일반적인 증상들입니다.
두통: 뇌종양이 있는 사람들이 자주 경험하는 증상으로, 특히 아침에 일어났을 때 더 심하게 느껴질 수 있습니다.
두통의 성격이 시간이 지남에 따라 변하거나, 기존에 경험해보지 못한 유형의 두통이 나타나기도 합니다.
발작(간질): 뇌의 전기적 활동에 장애가 생겨 발생합니다.
많은 환자들이 처음으로 뇌종양을 의심하게 되는 계기가 발작이 되기도 합니다.
인지 및 행동 변화: 기억력 손실, 집중력 저하, 혼란, 판단력 감소, 성격 변화 또는 지적 능력의 변화가 포함됩니다.
시각적 변화: 시야 손실, 이중 시력, 또는 눈에 이상이 발생할 수 있습니다.
신체 기능의 변화 또는 감각 이상: 어느 한쪽의 팔이나 다리에 힘이 빠지거나, 얼굴에 마비가 오는 등의 증상이 발생할 수 있습니다.
또한 감각 이상, 즉 저림이나 찌릿찌릿한 느낌이 나타날 수 있습니다.
균형 및 협응 문제: 걷기 어려움, 현기증, 전반적인 운동 조정 능력 저하 등이 포함됩니다.
구역질 또는 구토: 특히 두통과 함께 나타날 경우, 뇌압 상승의 신호일 수 있습니다.
호르몬 변화: 뇌하수체 종양과 같이 호르몬을 조절하는 뇌 부위에 영향을 미칠 경우, 다양한 호르몬 관련 증상이 발생할 수 있습니다.
이러한 증상들은 뇌종양 외에도 다른 여러 질환에서 나타날 수 있으므로, 이러한 증상이 지속될 경우 전문가와 상담하여 적절한 진단을 받는 것이 중요합니다. 초기에 발견하고 치료를 시작할수록 더 좋은 예후를 기대할 수 있습니다.
진단
뇌종양을 진단하기 위해 사용하는 방법은 다양하며, 증상, 병력 조사, 그리고 여러 진단 도구들을 종합하여 이루어집니다.
여기에는 여러 영상 진단 기술이 포함되며, 종종 신경학적 검사와 조직 검사(생검)도 필요할 수 있습니다.
각각의 진단 방법에 대해 설명드리겠습니다.
1. 신경학적 검사
신경학적 검사를 통해 의사는 환자의 뇌, 신경계 기능을 평가합니다.
이 검사는 균형, 조정, 정신 상태, 근력, 감각, 청력, 시력, 반사 등 여러 가지 측면을 포함할 수 있습니다.
이러한 검사를 통해 의사는 뇌의 특정 부위에 문제가 있는지를 확인할 수 있습니다.
2. 영상 진단
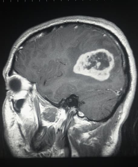
MRI (자기 공명 영상): MRI는 뇌의 상세한 이미지를 제공하며, 종양의 위치와 크기, 주변 조직으로의 영향 등을 파악하는 데 유용합니다.
CT 스캔 (컴퓨터 단층 촬영): 빠르게 뇌의 이미지를 얻을 수 있으며, 특히 두개골 골절이나 출혈, 종양의 존재 등을 식별하는 데 도움을 줍니다.
양전자 방출 단층촬영 (PET 스캔): 종양 세포의 활동을 보여줄 수 있어, 종양의 대사 활동을 평가하고 종양이 얼마나 공격적인지를 판단하는 데 사용됩니다.
3. 생검
영상 진단을 통해 종양이 의심되는 경우, 생검을 통해 종양의 조직 샘플을 채취하고 이를 분석합니다.
이를 통해 종양의 종류와 악성도를 정확히 진단할 수 있습니다.
뇌의 어느 부위에 종양이 위치해 있는지에 따라 다른 접근법을 사용할 수 있으며, 때로는 수술 중에 생검을 실시하기도 합니다.
4. 추가 검사
때에 따라 혈액 검사가 필요할 수도 있으며, 뇌척수액(CSF) 검사를 통해 뇌와 척수 주변의 액체에서 암세포, 감염 또는 기타 문제를 확인할 수 있습니다.
이러한 다양한 진단 방법들은 각 환자의 상태와 의심되는 진단에 따라 선택적으로 사용됩니다. 뇌종양의 진단과 치료 계획을 수립하는 과정은 매우 복잡하며, 여러 전문가들의 협력을 필요로 합니다.
치료
뇌종양의 치료는 종양의 유형, 크기, 위치, 그리고 환자의 전반적인 건강 상태에 따라 달라집니다.
치료 계획은 주로 수술, 방사선 치료, 화학요법 등을 포함하며, 때로는 이러한 방법들을 조합하여 사용합니다.
각 치료 방법에 대해 자세히 알아보겠습니다.
1. 수술
수술은 가능한 한 많은 종양을 안전하게 제거하기 위해 시행됩니다.
종종 종양을 완전히 제거하는 것이 목표이지만, 위치나 종양의 성질에 따라 완전히 제거가 불가능할 수도 있습니다.
이럴 때는 증상을 완화하고 다른 치료 방법의 효과를 높이기 위해 일부만 제거하는 경우도 있습니다.
2. 방사선 치료
방사선 치료는 고에너지 빔을 사용하여 종양 세포를 죽이는 방법입니다.
이 치료는 수술로 제거가 어려운 종양이나, 수술 후 남은 종양 세포를 제거하기 위해 사용됩니다.
정밀한 방사선을 종양에만 집중하여 주변 건강한 조직의 손상을 최소화합니다.
3. 화학요법
화학요법은 암세포를 죽이거나 성장을 억제하는 약물을 사용하는 치료 방법입니다.
뇌종양의 경우, 뇌-혈관 장벽(BBB) 때문에 일부 화학요법 약물이 뇌에 도달하기 어렵다는 특징이 있습니다.
따라서, 더 효과적인 약물을 개발하기 위한 연구가 계속되고 있습니다.
4. 표적 치료
표적 치료는 암세포의 특정 유전자, 단백질, 조직 환경을 공격하는 약물을 사용합니다.
이 방법은 일반적인 화학요법보다 주변 건강한 세포에 덜 해롭게 설계되어 암세포만을 더 정확하게 타격합니다.
5. 면역요법
면역요법은 환자의 면역 시스템을 활성화시켜 암세포를 공격하도록 돕는 치료 방법입니다.
이는 특히 전통적인 치료법에 저항성을 보이는 암에 대해 사용될 수 있습니다.
6. 지지 요법 및 증상 관리
뇌종양 환자는 종종 두통, 구역, 발작 등 다양한 증상을 겪습니다.
이러한 증상들을 관리하기 위해 약물과 다른 지지 요법이 필요할 수 있습니다.
7. 임상 시험
임상 시험은 새로운 치료법이나 약물을 테스트하는 과정입니다.
이는 기존 치료법으로는 만족스러운 결과를 얻지 못한 환자들에게 새로운 치료 옵션을 제공할 수 있습니다.
뇌종양의 치료는 복잡하며, 환자마다 개별적인 치료 계획이 필요합니다.
따라서 환자와 의료 팀이 긴밀히 협력하여 최적의 치료 방법을 결정하는 것이 중요합니다.
뇌종양은 복잡하고 다양한 질환으로, 진단과 치료는 전문적인 의료 팀의 관리가 필요합니다. 조기 진단과 적절한 치료가 중요한 역할을 하므로, 뇌종양에 대한 의심 증상이 있을 경우 즉시 의료 전문가와 상담하는 것이 중요합니다.
'의학에 대해서' 카테고리의 다른 글
| 양전자 방출 단층촬영(PET) 스캔에 대한 이해 (0) | 2024.05.03 |
|---|---|
| 뇌종양의 분류: 글리오마 (0) | 2024.05.03 |
| 수근관 증후군 수술에 대한 이해 (0) | 2024.05.02 |
| 수근관 증후군의 치료방법 (0) | 2024.05.01 |
| 파렌 테스트: 수근관 증후군 진단의 첫걸음 (0) | 2024.05.01 |

댓글