뇌종양의 유형과 치료
뇌종양은 뇌 내부의 조직에서 비정상적으로 세포가 증식하여 형성되는 질환입니다.
이러한 종양은 양성(비암성) 또는 악성(암성)일 수 있으며, 뇌의 다양한 부위에서 발생할 수 있습니다.
뇌종양의 유형, 크기, 위치에 따라 증상과 치료 방법이 달라집니다.
뇌종양의 유형
양성 뇌종양
양성 뇌종양은 주변 조직으로 침입하거나 전이되지 않는 특징을 가집니다.
하지만 뇌 내부의 제한된 공간 때문에 크기가 커지면 주변 조직을 압박하여 다양한 증상을 유발할 수 있습니다.
악성 뇌종양
악성 뇌종양은 뇌암으로도 불리며, 주변 조직으로 빠르게 침입하고 전이될 수 있는 위험이 있습니다.
이러한 종양은 치료가 어렵고 예후가 더 심각할 수 있습니다.
뇌종양의 증상
뇌종양의 증상은 종양의 위치, 크기, 성장 속도에 따라 다양합니다.
일반적인 증상으로는 다음과 같은 것들이 있습니다.
지속적이거나 점진적으로 악화되는 두통
구토나 메스꺼움
시력 변화, 어지럼증
갑작스러운 성격 변화나 기억력 손상
발작
감각 이상 또는 운동 기능 장애
뇌종양의 진단
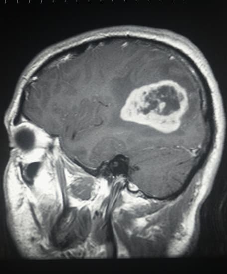
뇌종양의 진단은 주로 영상 진단 방법을 통해 이루어집니다.
자기공명영상(MRI)과 컴퓨터단층촬영(CT) 스캔이 가장 일반적으로 사용되며, 이를 통해 종양의 위치, 크기, 영향을 받는 조직의 범위를 평가할 수 있습니다.
필요한 경우 조직 검사(생검)를 통해 종양의 세포 유형을 결정할 수 있습니다.
뇌종양의 치료
뇌종양의 치료는 종양의 유형, 크기, 위치, 그리고 환자의 전반적인 건강 상태를 고려하여 맞춤화되어야 합니다.
치료 목표는 종양을 제거하거나 성장을 억제하고, 증상을 완화하여 생활의 질을 향상시키는 것입니다.
수술
목적: 종양을 가능한 한 많이 제거하는 것이 주 목적입니다.
완전 제거가 가능한 경우 최선의 결과를 얻을 수 있으나, 때로는 주변 중요 조직의 손상 위험으로 인해 부분적 제거만 가능할 수 있습니다.
절차: 수술은 일반적으로 두개골을 열어 진행되며, 미세 수술 기법과 신경학적 모니터링을 통해 주변 뇌 조직의 손상을 최소화합니다.
고려사항: 수술 후 회복은 종양의 위치와 제거 정도, 그리고 발생할 수 있는 합병증에 따라 달라집니다.
방사선 요법
목적: 수술로 완전히 제거되지 않은 종양 조직을 대상으로 합니다. 방사선은 종양 세포를 파괴하거나 성장을 억제할 수 있습니다.
기술: 외부 방사선 요법(EBRT)과 감마 나이프, 사이버나이프 같은 정밀 방사선 수술 기법이 있습니다.
고려사항: 방사선 요법은 종종 수술 후 추가 치료로 사용되며, 부작용으로는 피로, 두통, 탈모 등이 있을 수 있습니다.
화학 요법
목적: 약물을 사용하여 종양 세포를 파괴하거나 성장을 억제합니다. 악성 뇌종양에 특히 중요한 치료법입니다.
절차: 약물은 경구 복용하거나 정맥 주사를 통해 투여될 수 있습니다. 일부 경우에는 뇌 내 직접 투여할 수도 있습니다.
고려사항: 화학 요법은 부작용이 발생할 수 있으며, 특히 면역 체계의 억제가 포함됩니다.
표적 치료 및 면역 요법
목적: 특정 유전자 변이나 단백질을 대상으로 하여 종양 세포의 성장을 특정적으로 차단합니다.
면역 요법은 환자의 면역 체계를 활성화시켜 종양 세포를 공격하도록 합니다.
고려사항: 이러한 치료법은 모든 뇌종양 유형에 적용되지 않으며, 특정한 유전자 변이나 단백질의 존재가 필요합니다.
치료 결정 과정
뇌종양 치료는 다학제 팀에 의해 결정되며, 이 팀에는 신경외과 의사, 종양 전문의, 방사선 종양 전문의, 신경과 의사 등이 포함될 수 있습니다. 치료 계획은 정기적으로 평가되어 환자의 반응과 건강 상태의 변화에 따라 조정됩니다.
자주 묻는 질문(FAQ)
Q: 뇌종양은 얼마나 흔한가요?
A: 뇌종양은 다른 암에 비해 상대적으로 드물지만, 그 출현은 연령, 성별, 유전적 요인 등에 따라 다양할 수 있습니다.
Q: 뇌종양의 원인은 무엇인가요?
A: 대부분의 뇌종양의 정확한 원인은 알려져 있지 않습니다. 그러나 유전적 요인, 환경적 노출(예: 방사선), 특정 화학 물질과의 접촉 등이 위험 요소로 여겨집니다.
Q: 뇌종양은 예방할 수 있나요?
A: 명확한 원인이 밝혀지지 않았기 때문에, 뇌종양을 특별히 예방하는 명확한 방법은 없습니다. 그러나 건강한 생활 습관을 유지하고, 알려진 위험 요소를 피하는 것이 일반적인 건강을 유지하는 데 도움이 될 수 있습니다.
'의학에 대해서' 카테고리의 다른 글
| 쇼그렌 증후군이란? (0) | 2024.02.11 |
|---|---|
| 인공와우(Cochlear Implants) 에 대해 이해하기 (0) | 2024.02.11 |
| 뇌동맥류 수술에 대한 이해 (0) | 2024.02.11 |
| 뇌혈관 조영술의 개요 (0) | 2024.02.10 |
| 뇌동맥류의 이해 (0) | 2024.02.10 |

댓글