두개골 절개술(Craniotomy): 정의, 과정 및 목적

두개골 절개술(Craniotomy)는 두개골(머리뼈)의 일부를 절개하여 뇌에 직접 접근하는 외과적 수술입니다.
이 절차는 뇌종양 제거, 뇌출혈 치료, 동맥류 수술, 외상성 뇌손상 등의 다양한 뇌 관련 질환을 치료하기 위해 시행됩니다.
두개골 절개술은 신경외과에서 매우 중요한 절차로, 뇌의 특정 부위에 접근하기 위해 수행됩니다.
두개골 절개술의 목적
두개골 절개술은 다양한 신경학적 문제를 해결하는 데 사용됩니다.
대표적인 목적은 다음과 같습니다.
뇌종양 제거: 양성 또는 악성 뇌종양을 제거하기 위해 시행됩니다.
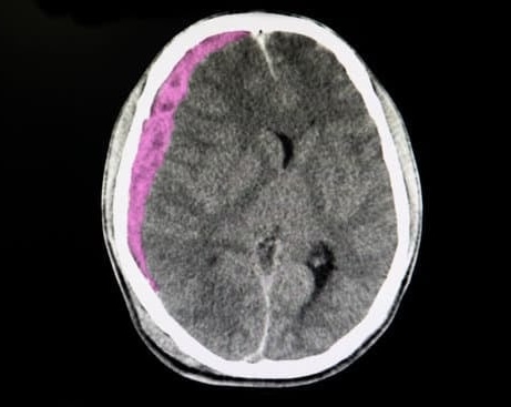
혈종 제거: 뇌출혈로 인해 뇌 안에 고인 피(혈종)를 제거하고 뇌의 압력을 감소시키기 위해 필요합니다.
외상성 뇌손상 치료: 심각한 두부 외상 후 뇌에 손상을 입은 경우 압력을 완화하고 손상 부위를 치료합니다.
동맥류 수술: 뇌동맥류가 파열되거나, 파열될 위험이 있는 경우 이를 치료하기 위해 시행됩니다.
간질 치료: 약물로 조절되지 않는 간질 환자의 발작 부위를 제거하기 위해 두개골 절개술이 사용되기도 합니다.
수술 과정
마취: 수술은 전신 마취 하에 이루어지며, 환자는 수술 중 의식이 없고 통증을 느끼지 않습니다.
두개골 절개: 신경외과 의사는 두피를 절개한 후 두개골의 특정 부위를 드릴로 절개하여 제거합니다. 이 제거된 두개골 조각은 수술이 끝난 후 원래 위치로 다시 고정됩니다.
뇌 접근: 두개골이 제거된 후 뇌에 접근하여 문제를 해결합니다. 뇌종양을 제거하거나 출혈 부위를 복구하는 등의 절차가 시행됩니다.
두개골 복구: 수술이 끝나면 제거된 두개골 조각을 제자리로 돌려놓고, 금속판 또는 나사를 이용해 고정합니다. 두피는 다시 봉합됩니다.
회복 및 관리
두개골 절개술 후 환자는 중환자실에서 모니터링되며, 수술 부위의 출혈이나 감염, 뇌부종 등의 합병증을 주의 깊게 관찰합니다.
회복 기간은 환자의 상태에 따라 다르며, 수술 후 물리치료 및 재활이 필요할 수 있습니다.
대부분의 환자는 수주에서 수개월에 걸쳐 서서히 회복합니다.
합병증 및 위험
두개골 절개술은 고도의 정밀함이 요구되는 수술로, 다음과 같은 합병증이 발생할 수 있습니다.
출혈 및 감염: 수술 부위에서 출혈이 계속되거나 감염이 발생할 수 있습니다.
신경 손상: 특정 뇌 부위를 수술할 때 신경이 손상되면 신체 기능에 영향을 미칠 수 있습니다.
뇌부종: 수술 후 뇌부종이 발생할 수 있으며, 이는 다시 뇌를 압박해 추가적인 치료가 필요할 수 있습니다.
발작: 수술 후 발작이 발생할 수 있으므로 경련 방지 약물이 처방되기도 합니다.
자주 묻는 질문 (FAQ)
1. 두개골 절개술 후 회복 기간은 얼마나 걸리나요?
회복 기간은 환자의 상태와 수술의 범위에 따라 다르지만, 보통 몇 주에서 몇 달이 걸립니다.
초기에는 집중 치료를 받으며, 퇴원 후에도 꾸준한 관찰과 재활 치료가 필요합니다.
2. 두개골 절개술 후에도 정상적인 생활이 가능한가요?
두개골 절개술 후 많은 환자가 정상적인 생활로 복귀할 수 있지만, 뇌의 상태와 수술 후 합병증에 따라 달라질 수 있습니다. 재활 치료와 의사의 지침을 잘 따르면 일상적인 활동으로 돌아갈 수 있습니다.
3. 두개골 절개술은 어떤 상황에서 꼭 필요하나요?
두개골 절개술은 보통 중증 뇌질환 또는 응급 뇌출혈을 치료하기 위한 마지막 선택입니다. 약물치료나 비침습적 방법으로 치료할 수 없는 경우에 시행됩니다.
두개골 절개술은 뇌에 직접적으로 접근해 중요한 문제를 해결하는 매우 중요한 수술입니다.
수술의 필요성, 합병증, 회복 과정에 대한 충분한 설명과 전문가의 상담이 필요합니다.
두부 외상 수술: 정의, 과정 및 중요성
두부 외상 수술: 정의, 과정 및 중요성 두부 외상 수술은 머리에 발생한 심각한 손상(두부 외상)을 치료하기 위해 시행되는 외과적 수술입니다.두부 외상은 교통사고, 낙상, 폭력 등 다양한 외부
namo38.com
'의학에 대해서' 카테고리의 다른 글
| 경막하 출혈 제거술 (Subdural Hematoma Evacuation): 정의, 과정 및 목적 (0) | 2024.10.03 |
|---|---|
| 두개골 제거술(Craniectomy): 정의, 과정 및 목적 (0) | 2024.10.03 |
| 혈흉 및 기흉 배액술 (Thoracostomy for Hemothorax and Pneumothorax) (0) | 2024.10.03 |
| 개심술(Cardiotomy): 정의, 과정 및 중요성 (0) | 2024.10.02 |
| 비디오 보조 흉강경 수술(VATS, Video-Assisted Thoracoscopic Surgery): 정의, 과정, 장점 및 적용 분야 (0) | 2024.10.02 |
댓글