주상골 불유합(Scaphoid Nonunion): 원인, 증상 및 치료 방법

주상골 불유합(Scaphoid Nonunion)은 손목의 주상골(Scaphoid bone) 골절이 적절히 치유되지 못해 뼈가 붙지 않는 상태입니다.
주상골은 손목의 작은 뼈 중 하나로, 주로 손목의 외상(넘어지면서 손목을 짚는 경우)으로 인해 골절됩니다.
그러나 이 뼈는 혈액 공급이 부족한 부위가 있어 치유가 어렵고, 적절한 치료를 받지 않으면 불유합 상태로 진행될 수 있습니다.
이는 손목의 통증, 기능 저하, 관절염 등을 유발할 수 있어 빠른 치료가 필요합니다.
1. 주상골 불유합의 원인
골절 부위의 혈액 공급 부족
주상골의 중앙부와 근위부(몸쪽 부분)는 혈액 공급이 원활하지 않아 골절 부위가 쉽게 붙지 않습니다.
진단 지연
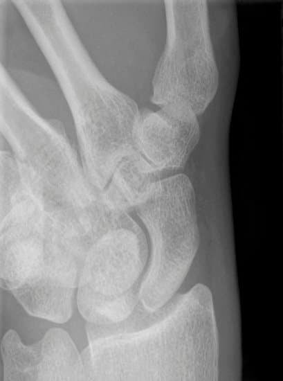
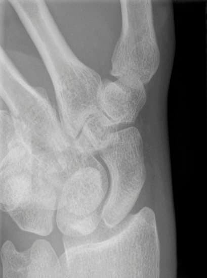
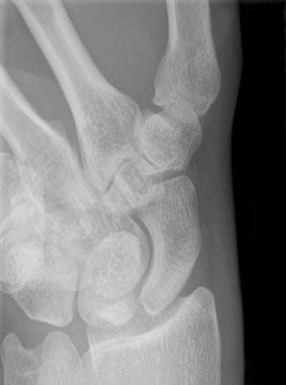
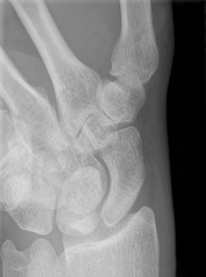
주상골 골절은 X-ray에서 명확히 보이지 않을 수 있어 초기 진단이 늦어질 수 있습니다.
부적절한 치료
골절 후 손목 고정이 충분하지 않으면 치유가 지연될 수 있습니다.
과도한 손목 사용
골절된 손목을 무리하게 사용하면 골절 부위가 붙지 않고 불유합으로 이어질 수 있습니다.
2. 주상골 불유합의 증상
손목의 만성 통증: 특히 손목을 움직이거나 무게를 실을 때 통증이 발생합니다.
손목의 부기 및 뻣뻣함: 골절 부위 주변에 붓기와 경직이 생길 수 있습니다.
움직임 제한: 손목의 회전과 굴곡, 신전 운동이 제한됩니다.
압통: 주상골 부위를 눌렀을 때 통증이 심해질 수 있습니다.
관절염 발생: 불유합 상태가 오래 지속되면 손목 관절염으로 진행될 수 있습니다.
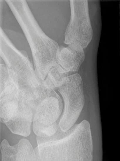
3. 진단 방법
X-ray 검사
주상골 골절 여부를 확인하기 위한 1차 검사입니다.
그러나 초기 골절이 잘 보이지 않을 수 있습니다.
CT 스캔
골절 부위의 상태와 불유합 정도를 자세히 평가합니다.
골절선의 위치와 뼈 조각의 정렬 상태를 확인합니다.
MRI 검사
주상골의 혈액 공급 상태를 파악해 괴사 여부를 확인합니다.
4. 치료 방법
1) 비수술적 치료
깁스 또는 보조기 착용
초기 골절이나 불유합이 경미한 경우 손목을 6~12주 동안 고정합니다.
손목의 움직임을 제한하여 뼈가 붙을 수 있는 환경을 제공합니다.
체외 충격파 치료(ESWT)
혈액 순환을 촉진해 불유합 부위의 치유를 도울 수 있습니다.
2) 수술적 치료
주상골 불유합이 진행되었거나 비수술적 치료로 호전되지 않을 경우 수술이 필요합니다.
골 이식 수술
자가골 이식: 본인의 다른 부위(보통 엉덩이뼈)에서 채취한 뼈를 주상골에 이식합니다.
이식된 뼈가 주상골의 결손 부위를 메우고 치유를 돕습니다.
고정술(Screw Fixation)
금속 나사 또는 핀을 사용해 주상골 조각을 고정하여 뼈가 붙도록 합니다.
관절 융합술(Wrist Fusion)
주상골이 완전히 치유되지 않고 관절염이 동반된 경우 손목 일부를 고정해 통증을 줄이는 수술입니다.
5. 수술 후 회복 및 재활
수술 후 고정
수술 후 깁스나 보조기를 착용해 손목을 고정합니다.
보통 6~8주 동안 착용하며 회복 상태에 따라 고정 장치를 제거합니다.
물리치료
손목의 유연성과 근력을 회복하기 위해 물리치료를 시작합니다.
초기에는 가벼운 스트레칭 운동부터 시작해 점진적으로 강도를 높입니다.
통증 관리
통증이 있을 경우 진통제나 항염제를 복용합니다.
부기 완화를 위해 냉찜질을 할 수 있습니다.
정기적인 경과 관찰
X-ray와 CT를 통해 뼈가 제대로 붙는지 확인합니다.
6. 합병증 및 주의사항
주상골 무혈성 괴사: 혈액 공급이 차단되면 주상골 일부가 괴사될 수 있습니다.
관절염: 불유합이 장기화될 경우 손목 관절염으로 진행될 수 있습니다.
수술 후 재발: 골 이식 후에도 불유합이 재발할 가능성이 있으므로 정기적인 관찰이 필요합니다.
7. 주상골 불유합 예방 방법
손목 부상 예방: 스포츠나 일상생활에서 손목 보호대를 착용해 손목 부상을 예방합니다.
초기 진단과 치료: 손목에 통증이 느껴지면 즉시 병원을 방문해 검사받는 것이 중요합니다.
손목 사용 자제: 골절이 의심될 경우 손목 사용을 줄이고 안정시킵니다.
정기적인 체크: 초기 골절 진단을 받은 경우 정기적으로 X-ray를 찍어 치유 상태를 확인합니다.
8. 자주 묻는 질문 (FAQ)
Q1. 주상골 불유합은 왜 흔히 발생하나요?
A. 주상골은 혈액 공급이 부족한 부위로, 골절 시 제대로 치유되지 않으면 불유합으로 이어질 가능성이 높습니다.
Q2. 주상골 불유합은 반드시 수술이 필요한가요?
A. 경미한 경우 비수술적 치료가 가능하지만, 심한 불유합은 수술이 필요할 수 있습니다.
Q3. 주상골 골절 후 어느 정도 고정을 해야 하나요?
A. 보통 6~12주간 고정이 필요하며, 골절의 위치와 상태에 따라 고정 기간이 달라질 수 있습니다.
Q4. 주상골 불유합 후 운동을 할 수 있나요?
A. 수술 및 재활치료 후 손목의 움직임이 회복되면 일상생활과 운동이 가능하지만, 무리한 손목 사용은 피해야 합니다.
Q5. 골 이식 수술의 성공률은 얼마나 되나요?
A. 주상골 불유합 수술의 성공률은 높지만, 재발 방지를 위해 정기적인 관리가 필요합니다.
9. 결론
주상골 불유합은 손목 골절이 적절히 치유되지 않아 발생하는 상태로, 조기 진단과 치료가 중요합니다.
비수술적 치료로 호전되지 않는 경우 골 이식과 같은 수술적 치료가 필요할 수 있으며, 수술 후 재활과 정기적인 관찰을 통해 손목 기능을 회복할 수 있습니다.
손목 건강을 지키기 위해 부상 예방과 적절한 관리가 중요합니다.
손의 결절종(Ganglion Cyst): 원인, 증상 및 치료 방법
손의 결절종(Ganglion Cyst): 원인, 증상 및 치료 방법결절종(Ganglion Cyst)은 손과 손목 부위에 주로 발생하는 양성 낭종입니다.주머니 모양의 종양 속에 젤리 같은 점액성 물질이 차 있어, 손목 관절
namo38.com
'의학에 대해서' 카테고리의 다른 글
| 팔꿈치 강직의 관절경 수술(Arthroscopic Surgery) 치료: 절차와 회복 (0) | 2024.10.31 |
|---|---|
| 팔꿈치 강직(Elbow Stiffness): 원인, 증상 및 치료 방법 (0) | 2024.10.31 |
| 손의 결절종(Ganglion Cyst): 원인, 증상 및 치료 방법 (0) | 2024.10.31 |
| TFCC 손상과 척골 절골술(Osteotomy): 원리와 회복 가이드 (0) | 2024.10.30 |
| TFCC 손상 복원 관절경 수술: 절차와 회복 가이드 (0) | 2024.10.30 |
댓글