
팔꿈치 관절 불안정성의 원인과 치료
팔꿈치 관절 불안정성은 팔꿈치 관절이 정상적인 위치에서 벗어나거나 이동할 경향이 있는 상태를 말합니다.
이러한 불안정성은 관절을 지지하는 구조물의 손상이나 약화로 인해 발생할 수 있으며, 다양한 증상과 문제를 초래할 수 있습니다.
원인
팔꿈치 관절 불안정성의 주요 원인은 다음과 같습니다:
부상: 탈구나 골절과 같은 부상으로 인한 관절의 손상이 가장 흔한 원인입니다.
인대 손상: 팔꿈치 관절을 지지하는 인대의 파열 또는 신장으로 인해 발생할 수 있습니다.
반복적인 스트레스: 특정 스포츠나 직업 활동으로 인한 반복적인 스트레스가 원인일 수 있습니다.
선천적 또는 발달적 요인: 일부 사람들은 선천적으로 또는 발달 과정에서 관절 불안정성을 가질 수 있습니다.
증상
통증과 부기: 관절 불안정성이 있는 팔꿈치는 종종 통증을 동반하며, 활동 후 부기가 발생할 수 있습니다.
관절의 '빠짐' 느낌: 팔을 사용할 때 관절이 빠지는 듯한 느낌을 경험할 수 있습니다.
강직 또는 운동 범위 감소: 관절의 움직임 범위가 제한될 수 있습니다.
불안정성: 팔꿈치가 불안정하거나 쉽게 탈구되는 느낌을 받을 수 있습니다.
진단
물리적 검사: 의사는 팔꿈치의 운동 범위, 힘, 안정성을 평가합니다.
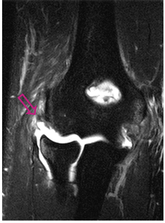
영상 진단: X-ray, MRI, 때로는 CT 스캔을 사용하여 관절의 구조와 손상 정도를 평가합니다.
치료
팔꿈치 관절 불안정성의 치료는 그 원인과 증상의 심각성에 따라 달라집니다. 일반적으로 비수술적 치료가 먼저 시도되며, 필요한 경우 수술적 치료가 고려될 수 있습니다.
비수술적 치료
물리 치료:
팔꿈치 주변 근육을 강화하고 유연성을 증진시키기 위한 운동 프로그램.
관절의 움직임 범위를 개선하고 안정성을 높이는 데 도움이 됩니다.
보조기 착용:
팔꿈치 보조기를 착용하여 관절을 지지하고 추가적인 부상을 방지할 수 있습니다.
약물 치료:
통증과 염증을 줄이기 위해 비스테로이드성 항염증제(NSAIDs)가 처방될 수 있습니다.
활동 조절:
팔꿈치에 스트레스를 주는 활동을 제한하거나 조절하여 관절에 가해지는 부담을 줄입니다.
수술적 치료
인대 복구 또는 재건 수술:
팔꿈치의 불안정성이 지속되거나 심각한 경우, 손상된 인대를 복구하거나 재건하는 수술이 필요할 수 있습니다.
수술은 관절의 안정성을 복원하고 기능을 개선하는 데 목표를 둡니다.
회복 과정
수술 후에는 일정 기간 동안 물리 치료와 재활 운동이 중요합니다.
비수술적 치료를 받은 경우에도 정기적인 물리 치료와 운동을 통해 점차적으로 관절의 기능을 회복할 수 있습니다.
예방 및 관리
정기적인 스트레칭과 강화 운동으로 팔꿈치 주변 근육을 강화합니다.
위험한 활동이나 스포츠를 할 때 적절한 보호 장비를 사용합니다.
팔꿈치 관절 불안정성의 적절한 치료와 관리는 환자가 정상적인 활동으로 복귀하는 데 중요합니다. 증상이 나타나면 의료 전문가와 상담하여 적절한 치료를 받는 것이 중요합니다.
'의학에 대해서' 카테고리의 다른 글
| 조갑 손상: 원인, 종류 및 치료 방법 (0) | 2023.11.16 |
|---|---|
| 손가락 신경 손상: 원인, 증상 및 치료 (0) | 2023.11.16 |
| 팔꿈치 강직의 원인과 치료 (0) | 2023.11.14 |
| 외상과염(테니스 엘보) (0) | 2023.11.14 |
| 팔꿈치 관절 구조 (0) | 2023.11.14 |
댓글