
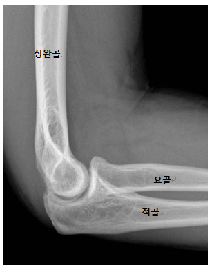
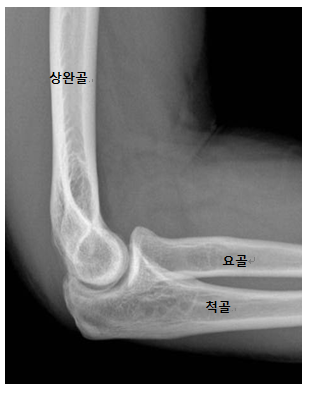
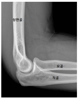
팔꿈치 관절은 상완골(팔뚝의 위쪽 뼈), 요골(팔뚝의 아래쪽에서 엄지 쪽 뼈), 그리고 척골(팔뚝의 아래쪽에서 소지 쪽 뼈)의 만남으로 구성됩니다. 이 관절은 팔의 굴곡과 신전, 그리고 전완의 회전을 가능하게 하는 중요한 역할을 합니다.
팔꿈치 관절의 주요 구조
뼈
상완골: 팔뚝의 위쪽 부분을 이루며, 팔꿈치 관절에서 중요한 역할을 합니다.
요골: 팔뚝 아래쪽의 한쪽 뼈로, 엄지 손가락 쪽에 위치합니다.
척골: 팔뚝 아래쪽의 다른 한쪽 뼈로, 소지 쪽에 위치합니다.
관절
상완골과 척골 사이의 관절: 주로 팔의 굴곡과 신전을 담당합니다.
요골과 척골 사이의 관절: 팔의 회전을 가능하게 합니다.
인대
측부 인대: 관절을 안정화시키고 과도한 움직임을 제한합니다.
골간 인대: 요골과 척골 사이를 연결하며, 전완의 회전을 돕습니다.
근육
팔꿈치 주변의 근육들은 팔의 굴곡, 신전 및 회전을 돕습니다.
대표적인 근육으로는 상완 이두근(굴곡을 담당)과 상완 삼두근(신전을 담당)이 있습니다.
연골
관절 표면을 덮고 있는 연골은 충격을 흡수하고 관절의 움직임을 부드럽게 합니다.
기능
팔꿈치 관절은 팔을 굽히고 펴는 동작뿐만 아니라, 전완의 회전도 가능하게 합니다.
일상 생활에서 손을 사용할 때 중요한 역할을 하며, 물건을 들고, 던지고, 당기는 등의 다양한 활동을 수행합니다.
팔꿈치 관절의 복잡한 구조는 다양한 운동 범위를 가능하게 하지만, 부상에도 취약할 수 있습니다.
팔꿈치 부상이나 통증이 있을 경우, 적절한 진단과 치료를 위해 의료 전문가의 상담이 필요합니다.
'의학에 대해서' 카테고리의 다른 글
| 팔꿈치 강직의 원인과 치료 (0) | 2023.11.14 |
|---|---|
| 외상과염(테니스 엘보) (0) | 2023.11.14 |
| 석회성 건염에 대한 이해 (0) | 2023.11.14 |
| 회전 근개 파열 (0) | 2023.11.13 |
| 어깨 재발성 탈구 (0) | 2023.11.13 |
댓글