두개내압 상승(Increased Intracranial Pressure, ICP) – 뇌압 증가로 인한 시신경 압박과 증상

두개내압 상승(Increased Intracranial Pressure, ICP)은 뇌 안의 압력이 비정상적으로 증가하는 현상으로, 이로 인해 시신경이 눌리면서 시력 저하, 두통, 구토, 의식 변화 등이 발생할 수 있습니다.
두개내압 상승은 뇌출혈, 뇌종양, 뇌부종, 뇌수종(수두증) 등의 원인으로 발생할 수 있으며, 빠르게 치료하지 않으면 심각한 신경 손상을 초래할 수 있습니다.
이번 글에서는 두개내압 상승의 원인, 증상, 진단 방법, 치료법 및 관리 방법을 상세히 정리하겠습니다.
1. 두개내압(ICP)이란?
두개내압(Intracranial Pressure, ICP)은 뇌를 둘러싼 뇌척수액(Cerebrospinal Fluid, CSF), 혈액, 뇌 조직의 압력을 의미합니다.
✅ 정상적인 두개내압: 7~15 mmHg (밀리미터 수은주)
✅ 두개내압 상승 기준: 20 mmHg 이상
💡 두개내압이 높아지면?
뇌를 둘러싼 압력이 증가하면서 신경과 혈관이 눌림 뇌혈류가 감소하여 뇌 기능이 저하됨
시신경 압박으로 시야 장애 및 시력 저하 발생
2. 두개내압 상승의 주요 원인
① 뇌출혈 & 외상성 뇌손상
✔ 뇌내출혈, 거미막하출혈, 경막하출혈, 경막외출혈
✔ 두부 외상(교통사고, 낙상, 타박상)으로 인한 출혈 발생
✔ 출혈이 증가하면 뇌압이 급격히 상승할 수 있음
② 뇌부종 (Cerebral Edema)
✔ 뇌 조직이 부어 뇌 내 압력이 상승하는 현상
✔ 원인: 뇌졸중, 감염(뇌수막염, 뇌염), 저산소증
③ 뇌종양 (Brain Tumor)
✔ 뇌 안에 종양이 자라면서 뇌조직과 혈관을 압박
✔ 종양이 커질수록 두개내압 상승
④ 뇌수종(수두증, Hydrocephalus)
✔ 뇌척수액이 과도하게 축적되어 뇌실이 확장됨
✔ 선천성 기형, 감염, 종양, 외상 등으로 발생
⑤ 뇌정맥 혈전증(Cerebral Venous Thrombosis, CVT)
✔ 뇌정맥이 혈전으로 막혀 혈류 정체 & 뇌부종 발생
⑥ 기타 원인
✔ 약물(비타민 A 과다 복용, 스테로이드 중단 등)
✔ 고산병 (고지대에서 뇌부종 발생 가능)
3. 두개내압 상승의 주요 증상
① 심한 두통
✔ 아침에 심하고, 누우면 악화됨
✔ 기침, 재채기, 구부릴 때 악화됨
② 시신경 압박으로 인한 시력 저하
✔ 시야 흐림, 복시(물체가 겹쳐 보임)
✔ 눈을 움직일 때 통증 발생 가능
✔ 유두부종(Papilledema) – 시신경유두가 부어오르는 현상
✔ 심하면 시력 소실 가능
③ 구토 & 오심 (Projectile Vomiting)
✔ 식사와 관계없이 갑자기 발생하는 구토
✔ 두통과 함께 동반되는 경우 많음 ④ 의식 저하 & 신경학적 이상
✔ 졸음, 무기력, 혼란, 반응 둔화
✔ 심하면 혼수상태로 진행 가능
⑤ 경련(발작, Seizure)
✔ 뇌압 상승이 심할 경우 경련 발생 가능
4. 두개내압 상승의 진단 방법
① 안저 검사 (Fundus Examination)
✔ 유두부종(Papilledema) 여부 확인
✔ 시신경 압박으로 인한 시야 장애 평가
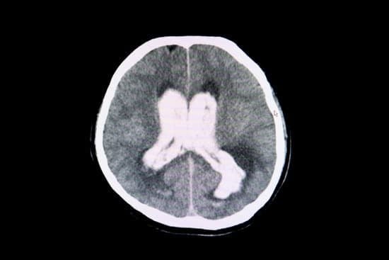
② 뇌 CT 또는 MRI 검사
✔ 뇌출혈, 뇌부종, 뇌종양, 수두증 확인
✔ 뇌실 확장 여부 & 구조적 이상 평가
③ 요추천자(Lumbar Puncture, CSF 압력 측정)
✔ 뇌척수액 압력을 직접 측정하여 두개내압 상승 여부 판단
✔ 단, 뇌탈출(Herniation) 위험이 있는 경우 시행 금지
④ 뇌압 측정 (ICP Monitoring)
✔ 특수 카테터를 이용해 두개내압을 직접 측정
✔ 중증 뇌손상 환자에서 활용됨
5. 두개내압 상승의 치료 방법
① 응급 치료 (급성 뇌압 상승 시)
✔ 두부를 30도 올려 머리로 가는 혈류 감소 유도
✔ 과호흡(Hyperventilation) – 이산화탄소 감소 → 혈관 수축 효과
✔ 고장성 식염수 또는 만니톨(Mannitol) 투여 → 뇌부종 감소
② 근본 원인 치료
✔ 뇌출혈 – 응급 수술(혈종 제거, 개두술)
✔ 뇌종양 – 수술, 방사선 치료, 항암제 치료
✔ 뇌수종 – 뇌실-복막 단락술(VP shunt)로 뇌척수액 배출
✔ 뇌부종 – 스테로이드(덱사메타손) 사용 가능
③ 장기적인 관리 & 생활 습관 개선
✔ 고염식 피하고 수분 섭취 조절 (과도한 수분 섭취 제한)
✔ 카페인, 알코올 섭취 줄이기
✔ 충분한 수면 & 스트레스 관리
6. 두개내압 상승이 지속될 경우 위험성
✔ 시력 손실 – 시신경 압박이 지속되면 영구적인 시력 저하 가능
✔ 뇌 탈출(Herniation) – 생명을 위협할 수 있는 응급 상황
✔ 지속적인 신경학적 후유증 – 기억력 저하, 집중력 감소, 만성 두통
7. 결론 – 두개내압 상승의 조기 발견과 치료가 중요!
✅ 심한 두통, 시야 장애, 구토 증상이 나타나면 즉시 검진 필요
✅ 뇌출혈, 뇌종양, 뇌부종 등의 원인을 조기에 발견하고 치료해야 함
✅ 유두부종(시신경 부종) 발생 시 빠른 조치 필수 – 시력 보존 중요
✅ 응급 상황에서는 의료진의 빠른 처치가 생명을 구할 수 있음
💡 두개내압 상승은 즉각적인 치료가 필요하므로 증상이 있다면 반드시 전문의를 찾아야 합니다!
시신경 검사 완벽 가이드 – 종류, 절차 및 필요한 경우 총정리
시신경 검사 완벽 가이드 – 종류, 절차 및 필요한 경우 총정리시신경(Optic Nerve)은 눈에서 뇌로 시각 정보를 전달하는 중요한 신경입니다.시신경 검사는 녹내장, 시신경염, 시신경위축, 두개내압
namo38.com
'의학에 대해서' 카테고리의 다른 글
| 시력검사 (Vision Test) – 종류, 방법 및 결과 해석 (0) | 2025.02.12 |
|---|---|
| 시신경 종양(Optic Nerve Tumor) – 원인, 증상, 치료법 총정리 (0) | 2025.02.11 |
| 시신경위축(Optic Atrophy) – 원인, 증상, 치료 및 예후 총정리 (0) | 2025.02.11 |
| 시신경염(Optic Neuritis) – 원인, 증상, 치료 총정리 (0) | 2025.02.11 |
| 시신경 검사 완벽 가이드 – 종류, 절차 및 필요한 경우 총정리 (0) | 2025.02.11 |
댓글