심혈관 조영술(Coronary Angiography): 절차, 목적 및 회복 과정

심혈관 조영술(Coronary Angiography)은 관상동맥을 포함한 심장 혈관의 상태를 시각적으로 평가하기 위한 영상 검사입니다.
이 검사는 주로 관상동맥 질환(심장에 혈액을 공급하는 혈관이 좁아지거나 막히는 질환)을 진단하는 데 사용됩니다.
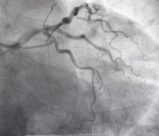
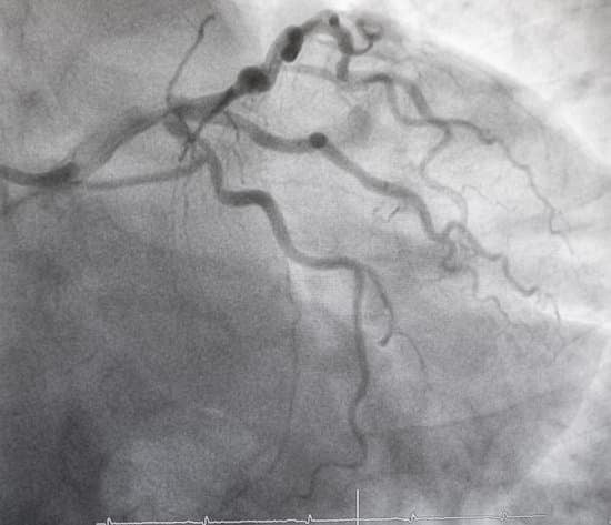
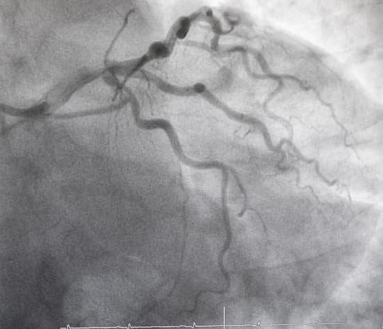
심혈관 조영술은 X-ray 기기와 조영제를 이용해 심장 혈관 내부의 상태를 확인하여 협심증, 심근경색 등의 위험을 진단하고 치료 계획을 세우는 중요한 검사입니다.
심혈관 조영술의 목적
관상동맥 질환 진단: 관상동맥의 협착(좁아짐) 또는 폐색(막힘)을 확인하여 심장으로 가는 혈류가 원활한지 평가합니다.
심장마비(심근경색) 위험 평가: 심근경색이 발생할 위험이 있는 경우, 관상동맥이 막힌 부위를 정확하게 찾아 스텐트 삽입 등 적절한 치료를 계획합니다.
심장 수술 전 평가: 심장 수술(예: 관상동맥 우회술, 판막 수술) 전 혈관 상태를 확인하고, 적절한 수술 방법을 결정하는 데 사용됩니다.
불규칙한 심장 기능: 비정상적인 심전도, 심장 기능 저하, 협심증 증상 등이 있을 때 심혈관의 상태를 파악합니다.
심혈관 조영술 절차
사전 준비
금식: 검사 전 몇 시간 동안 금식이 필요합니다(보통 6~8시간).
약물 확인: 검사 전에 복용 중인 약물이나 알레르기를 의사에게 알리며, 조영제에 알레르기가 있는 경우 대체 방법을 고려합니다.
검사 과정
마취: 국소 마취 하에, 주로 팔(요골 동맥) 또는 허벅지(대퇴 동맥) 부위를 통해 **카테터(얇은 관)**를 혈관에 삽입합니다.
조영제 주입: 카테터를 통해 조영제를 주입하여 혈관 내부를 확인합니다. 조영제가 주입되면 혈관이 X-ray 기기에 의해 선명하게 보이게 되어 혈류 흐름을 평가할 수 있습니다.
X-ray 촬영: 조영제를 주입하면서 X-ray 영상을 촬영해, 혈관의 협착 부위나 막힌 부위를 시각적으로 확인합니다.
치료적 시술 가능
검사 중 혈관이 막히거나 좁아진 부분이 발견되면, 즉시 풍선 확장술(PTCA) 또는 스텐트 삽입술을 시행할 수 있습니다. 이로 인해 혈류를 정상적으로 되돌리며, 추가적인 시술이 필요 없을 수 있습니다.
검사 후 마무리
검사 후 카테터를 제거하고 삽입 부위를 압박하여 출혈을 방지합니다. 이후 몇 시간 동안 안정을 취하며 출혈 여부를 확인합니다.
심혈관 조영술의 위험 및 합병증
심혈관 조영술은 비교적 안전한 검사로 알려져 있지만, 일부 환자에게는 다음과 같은 위험과 부작용이 발생할 수 있습니다.
출혈: 카테터 삽입 부위에서 출혈이 발생할 수 있습니다. 대부분 경미한 출혈이지만, 심한 경우 추가 치료가 필요할 수 있습니다.
혈전 형성: 검사 도중 혈관에 혈전이 발생할 수 있으며, 이를 방지하기 위해 항응고제를 사용합니다.
알레르기 반응: 조영제에 대한 알레르기 반응으로 두드러기, 가려움증, 심한 경우 호흡곤란이 발생할 수 있습니다.
신장 기능 손상: 조영제는 신장에 영향을 미칠 수 있으며, 특히 신장 기능이 저하된 환자는 조심해야 합니다. 사전에 신장 기능 검사를 시행합니다.
부정맥: 검사 중 일시적으로 부정맥이 발생할 수 있지만, 대부분 심각하지 않습니다.
혈관 손상: 카테터 삽입 부위에서 혈관 손상이나 혈종이 생길 수 있습니다.
심혈관 조영술 후 관리
안정: 검사 후 삽입 부위의 출혈을 방지하기 위해, 삽입 부위를 고정하고 몇 시간 동안 안정을 취해야 합니다.
팔이나 다리로 카테터가 삽입된 경우, 4~6시간 동안 해당 부위를 움직이지 않는 것이 중요합니다.
물 섭취: 조영제를 몸에서 빨리 배출하기 위해 충분한 수분 섭취가 필요합니다.
삽입 부위 관리: 삽입 부위가 붓거나 멍이 생길 수 있지만, 이는 시간이 지나면 자연스럽게 사라집니다. 만약 삽입 부위에서 지속적인 출혈이나 심한 통증이 있을 경우, 즉시 의료진에게 알립니다.
활동 제한: 검사 후 몇 시간 또는 하루 동안 격렬한 활동을 피하고, 부드럽게 움직이는 것이 좋습니다. 삽입 부위의 회복을 돕기 위해 무거운 물건을 들거나 심한 운동을 잠시 피하는 것이 중요합니다.
약물 복용: 시술 중 스텐트를 삽입했다면, 혈액 희석제 또는 항응고제를 꾸준히 복용해야 합니다. 이를 통해 혈전 형성 위험을 줄일 수 있습니다.
심혈관 조영술의 결과 및 치료
심혈관 조영술의 결과는 즉시 확인이 가능하며, 협착이나 막힘이 확인되면 치료 계획을 세울 수 있습니다.
정상 혈관: 혈관이 막히거나 좁아진 부분이 없으면, 약물 치료 또는 생활 습관 개선으로 건강한 상태를 유지합니다.
경미한 협착: 약물 치료나 운동, 식이요법 등으로 협착이 진행되지 않도록 관리합니다.
심한 협착 또는 폐색: 협착이 심한 경우, 스텐트 시술이나 관상동맥 우회술(심한 경우)이 필요할 수 있습니다.
결론
심혈관 조영술은 심장과 관상동맥의 상태를 정확히 평가하여 심장 질환의 진단과 치료에 중요한 역할을 하는 검사입니다.
관상동맥 질환이나 협심증이 의심되는 경우, 조기에 검사를 통해 심각한 심장 문제를 예방할 수 있으며, 적절한 치료를 통해 건강을 회복할 수 있습니다.
검사 후에는 적절한 휴식과 관리가 필요하며, 정기적인 추적 검진을 통해 심장 건강을 유지하는 것이 중요합니다.
심도자 검사(Heart Catheterization): 절차, 목적 및 위험
심도자 검사(Heart Catheterization): 절차, 목적 및 위험심도자 검사(Heart Catheterization)는 심장과 혈관의 기능을 평가하고, 심장 질환을 진단하거나 치료하기 위해 시행되는 비침습적 검사입니다.주로
namo38.com
'의학에 대해서' 카테고리의 다른 글
| 침흡인생검(Fine Needle Aspiration Biopsy): 개요, 목적 및 절차 (0) | 2024.09.12 |
|---|---|
| 객담세포검사(Sputum Cytology Test): 폐 및 호흡기 질환 진단 (0) | 2024.09.12 |
| 심도자 검사(Heart Catheterization): 절차, 목적 및 위험 (0) | 2024.09.11 |
| 흉막박피술(Pleurectomy): 절차, 목적 및 회복 과정 (0) | 2024.09.11 |
| 폐절제술(Lung Resection): 개요, 종류 및 회복 과정 (0) | 2024.09.10 |
댓글