흉막박피술(Pleurectomy): 절차, 목적 및 회복 과정

흉막박피술(Pleurectomy)은 폐와 흉벽 사이에 있는 흉막(pleura)을 부분적으로 또는 전체적으로 제거하는 수술입니다.
이 수술은 주로 폐암, 악성 흉막종(폐를 둘러싼 막에 생기는 암), 기흉(공기가 흉강에 차는 상태) 등의 질환을 치료하기 위해 시행됩니다.
흉막박피술은 질병의 진행을 막고, 증상을 완화하며 환자의 삶의 질을 개선하는 데 도움을 줄 수 있습니다.
흉막박피술의 목적
악성 흉막종 치료: 흉막을 포함해 흉막종(중피종)이 퍼진 부위를 제거하여 암이 더 이상 퍼지지 않도록 돕습니다.
이 수술은 완치 목적보다는 증상 완화와 수명 연장을 위해 시행되는 경우가 많습니다.
재발성 기흉 치료: 기흉이 반복적으로 발생하는 경우, 손상된 흉막을 제거하여 폐가 계속 허탈되는 것을 방지합니다.
흉막액 축적: 폐암이나 흉막염으로 인해 흉막강에 액체가 축적되는 경우, 호흡곤란을 완화하기 위해 흉막을 제거할 수 있습니다.
염증성 흉막 질환: 흉막염 등으로 인해 흉막이 손상되거나 염증이 지속되는 경우 흉막박피술을 시행해 염증을 줄이고, 통증과 호흡곤란을 완화할 수 있습니다.
흉막박피술의 절차
마취 및 절개: 전신 마취 하에 흉부에 절개를 가합니다. 흉강경을 사용하는 최소 침습 수술이나 개흉술을 통해 접근할 수 있습니다.
흉막 제거: 손상된 또는 암이 퍼진 내측 흉막(폐를 덮는 막)과 외측 흉막(흉벽을 덮는 막)을 제거합니다.
수술 중 폐 조직이나 흉벽 조직도 함께 제거될 수 있으며, 암의 침범 정도에 따라 범위가 달라집니다.
배액관 삽입: 수술 후 흉강에 남은 액체나 공기를 제거하기 위해 배액관을 삽입합니다. 이는 폐가 다시 확장되고 기능을 회복하는 데 도움을 줍니다.
봉합 및 회복: 흉막이 제거된 후 흉강을 봉합하며, 환자는 수술 후 회복실로 옮겨져 상태를 관찰받습니다.
흉막박피술의 위험 및 합병증
흉막박피술은 큰 수술이므로 몇 가지 합병증이 발생할 수 있습니다. 주요 위험 요소는 다음과 같습니다.
출혈: 흉막을 제거하는 과정에서 흉강 내부에서 출혈이 발생할 수 있습니다.
감염: 흉강이나 절개 부위에 감염이 발생할 위험이 있으며, 수술 후 항생제가 필요할 수 있습니다.
호흡 곤란: 흉막이 제거되면 폐 기능에 일시적인 영향이 있을 수 있으며, 수술 후 폐가 완전히 확장되지 않으면 호흡 곤란이 발생할 수 있습니다.
통증: 흉부 수술 후에는 통증이 있을 수 있으며, 이를 관리하기 위해 진통제가 사용됩니다.
폐렴: 수술 후 폐렴이 발생할 위험이 높습니다. 이는 수술 후 합병증 중 하나로 폐 환기가 저하되면 발생할 수 있습니다.
흉막박피술 후 회복 과정
1. 입원 및 초기 회복
수술 후에는 보통 1~2주간 병원에서 회복 기간을 갖게 됩니다. 중환자실에서 며칠 동안 상태를 관찰받으며, 폐 기능과 산소포화도를 모니터링합니다.
흉부 배액관을 통해 흉강에 남은 공기와 액체를 제거하며, 폐의 정상적인 기능을 회복시키기 위해 호흡 재활 치료가 병행됩니다.
2. 호흡 재활
수술 후 폐활량계를 이용해 깊은 호흡 운동을 시행하여, 폐가 다시 팽창할 수 있도록 돕습니다.
기침과 깊은 숨쉬기 운동을 통해 가래를 배출하고, 폐의 통기능을 회복시키는 것이 중요합니다.
3. 통증 관리
수술 후 통증은 흔하게 발생하며, 이를 관리하기 위해 진통제가 처방됩니다. 또한, 통증을 줄이기 위해 좌욕이나 온열 요법을 사용할 수 있습니다.
4. 생활 습관 관리
수술 후 초기에는 과격한 활동을 피하고, 무리하지 않도록 주의해야 합니다.
점차 가벼운 산책이나 스트레칭을 통해 신체 활동을 늘려가는 것이 좋습니다.
금연은 필수적이며, 폐 건강을 위해 청결한 환경을 유지하는 것이 중요합니다.
5. 정기 추적 검사
수술 후 암의 재발 여부를 확인하거나, 합병증이 발생하지 않는지 모니터링하기 위해 정기적인 검사가 필요합니다.
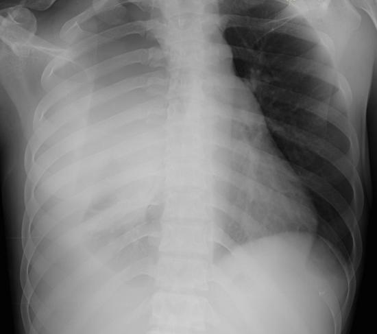
흉부 X-ray나 CT 촬영을 통해 수술 부위와 폐 상태를 확인할 수 있습니다.
결론
흉막박피술(Pleurectomy)은 흉막에 발생한 암, 염증성 질환, 또는 기흉을 치료하기 위해 시행되는 수술로, 질병의 진행을 억제하고 환자의 증상을 완화하는 데 중요한 역할을 합니다.
수술 후에는 호흡 재활, 통증 관리, 생활 습관 개선이 필요하며, 정기적인 검진을 통해 상태를 지속적으로 모니터링하는 것이 중요합니다.
폐절제술(Lung Resection): 개요, 종류 및 회복 과정
폐절제술(Lung Resection): 개요, 종류 및 회복 과정폐절제술(Lung Resection)은 손상되거나 질병에 걸린 폐 조직을 제거하는 수술입니다.주로 폐암, 결핵, 폐기종, 또는 폐농양 등의 질환을 치료하기 위
namo38.com
'의학에 대해서' 카테고리의 다른 글
| 심혈관 조영술(Coronary Angiography): 절차, 목적 및 회복 과정 (0) | 2024.09.12 |
|---|---|
| 심도자 검사(Heart Catheterization): 절차, 목적 및 위험 (0) | 2024.09.11 |
| 폐절제술(Lung Resection): 개요, 종류 및 회복 과정 (0) | 2024.09.10 |
| 심장 판막 치환술(Heart Valve Replacement Surgery): 절차, 목적 및 회복 과정 (0) | 2024.09.10 |
| 관상동맥우회술(Coronary Artery Bypass Grafting, CABG): 절차, 목적 및 회복 과정 (0) | 2024.09.09 |
댓글