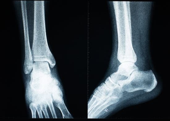
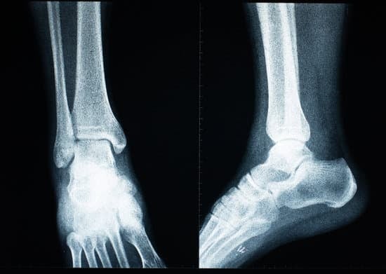
족관절 인공관절 치환술 (Total Ankle Replacement)

족관절(발목 관절)은 무릎과 발을 연결하며, 걷기, 달리기, 방향 전환 등 다양한 움직임을 담당하는 중요한 관절입니다.
하지만 관절염, 외상 후 관절 손상 등으로 인해 심한 통증과 운동 제한이 발생하면, 족관절 인공관절 치환술(Total Ankle Replacement)이 고려될 수 있습니다.
족관절 인공관절 치환술이란?
족관절 인공관절 치환술은 심하게 손상된 발목 관절을 제거하고,금속과 특수 재질의 인공관절로 대체하여 통증을 줄이고 움직임을 회복하는 수술입니다.
무릎이나 고관절의 인공관절 수술과 비슷한 원리로 진행되며,최근에는 인공관절 기술이 발전하면서 자연스러운 움직임과 기능 회복이 가능한 치료법으로 자리잡고 있습니다.
수술 대상자
다음과 같은 경우 족관절 치환술을 고려합니다:
말기 족관절 관절염 (골관절염, 류마티스 관절염 등)
외상 후 관절염 (발목 골절 또는 인대 손상 후 관절 파괴)
보존적 치료(약물, 주사, 물리치료)로도 통증이 조절되지 않는 경우
보행이 어렵고, 삶의 질이 크게 저하된 경우
※ 젊고 활동량이 매우 많은 환자나, 심한 뼈 결손이 있는 경우는 다른 수술(관절 유합술 등)이 권장되기도 합니다.
수술 방법
손상된 관절 연골과 뼈 일부를 제거합니다.
발목뼈(경골)와 거골(Talus)에 각각 금속 인공관절을 삽입합니다.
두 금속 사이에 폴리에틸렌(PE) 소재의 중간 삽입물을 넣어, 부드럽고 유연한 움직임을 제공합니다.
수술 후 고정 및 회복을 위해 일정 기간 동안 보조기 착용과 재활을 시행합니다.
수술 후 회복 및 재활
입원 기간: 평균 3~5일
체중 부하: 수술 후 약 2~3주 후부터 점진적으로 시작
보조기 착용: 4~6주간 착용
일상 복귀: 6~12주 사이 (개인 차 있음)
정기적인 관절 촬영 및 검진으로 인공관절 상태를 확인합니다.
장점
통증 완화: 극심한 관절 통증이 사라집니다.
관절 운동 범위 유지: 발목 움직임이 자연스럽게 유지됩니다.
보행 개선: 절뚝거림 없이 걷는 것이 가능해집니다.
삶의 질 향상: 활동성이 좋아지고, 일상 생활이 훨씬 편해집니다.
자주 묻는 질문 (FAQ)
Q1. 족관절 인공관절은 얼마나 오래 사용이 가능한가요?
10~15년 이상 사용할 수 있으며, 정기적인 관리와 무리한 사용 자제를 통해 수명을 연장할 수 있습니다.
Q2. 수술 후 운동이나 등산도 가능한가요?
걷기, 자전거, 수영 등은 대부분 가능합니다.
하지만 달리기, 점프, 고강도 운동은 인공관절 마모를 유발할 수 있어 주의가 필요합니다.
Q3. 인공관절이 빠지거나 헐거워질 수 있나요?
장기적으로 마모나 유격이 생길 수 있으며, 이 경우 재치환술(Revision surgery)이 필요할 수 있습니다.
정기적인 엑스레이와 진찰이 중요합니다.
결론
족관절 인공관절 치환술은 심한 통증과 기능 저하로 고통받는 환자에게 삶의 질을 회복시켜주는 수술입니다.
수술 전 충분한 상담과 정밀검사를 통해 수술 적합 여부를 판단하고,수술 후에는 올바른 재활과 주의사항 준수를 통해 오랫동안 편안한 보행을 유지할 수 있습니다.
발목 불안정성 인대 봉합술: 자꾸 삐는 발목 수술
발목 불안정성 인대 봉합술: 자꾸 삐는 발목 수술반복적으로 발목을 삐끗하거나, 평지를 걷다가도 발목이 ‘헛도는’ 느낌이 자주 든다면 발목 불안정성(Ankle Instability)이 있을 수 있습니다.이
namo38.com
'의학에 대해서' 카테고리의 다른 글
| 어깨 통증 시 의심할 수 있는 질환 (0) | 2025.03.30 |
|---|---|
| 브로스트롬 수술(Broström 수술): 발목 불안정성 수술 (0) | 2025.03.30 |
| 발목 불안정성 인대 봉합술: 자꾸 삐는 발목 수술 (0) | 2025.03.28 |
| 핑켈스타인 검사(Finkelstein Test): 엄지손가락 통증, 드퀘르벵 증후군을 진단 (0) | 2025.03.28 |
| 발목 불안정성: 자꾸 삐는 발목, 방치하면 만성 손상이 됩니다 (0) | 2025.03.27 |
댓글