석회성 건염은 특히 어깨의 회전근개 힘줄에 칼슘 결정이 축적되어 발생하는 상태입니다.
이로 인해 통증과 움직임의 제한을 겪을 수 있습니다.
석회성 건염의 원인
칼슘 축적: 힘줄에 칼슘 염분이 축적되어 발생합니다.
왜 칼슘 염분이 특정 힘줄에 축적되는지에 대한 명확한 원인은 아직까지 확실하게 밝혀지지 않았습니다.
혈액 공급 부족: 일부 연구에서는 힘줄의 혈액 공급 부족이 석회화를 유발할 수 있다고 제안합니다.
연령 및 성별: 중년 여성에게 더 흔하게 발생할 수 있으나, 남성과 다른 연령대에서도 나타날 수 있습니다.
증상
통증: 갑작스럽게 발생하거나 점진적으로 심해지는 어깨 통증이 특징입니다. 통증은 밤에 더 심해질 수 있습니다.
움직임 제한: 어깨의 통증과 뻣뻣함으로 인해 팔을 움직이는 데 어려움을 겪을 수 있습니다.
진단
석회성 건염의 진단은 주로 환자의 병력 청취, 증상의 평가, 물리적 검사, 그리고 영상 진단 검사를 통해 이루어집니다.
병력 청취와 증상 평가
의사는 환자의 증상, 통증 발생의 양상 및 기간, 그리고 이전 어깨 부상의 이력 등에 대해 물어봅니다.
물리적 검사
어깨의 움직임 범위, 힘, 그리고 통증의 정도를 평가합니다.
어깨를 특정 방향으로 움직일 때 나타나는 통증의 존재 유무를 확인합니다.
영상 진단 검사
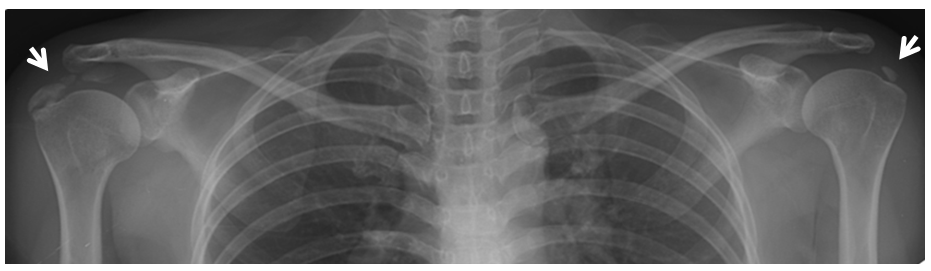
X-ray: 석회화된 부위를 확인할 수 있으며, 이는 석회성 건염의 가장 명확한 징후 중 하나입니다.
초음파: 석회화된 힘줄과 주변 조직의 상태를 보다 상세하게 평가합니다. 또한, 가이드된 주사치료에 사용될 수도 있습니다.
MRI: 힘줄의 석회화 뿐만 아니라 주변 연조직의 상태를 평가하는 데 도움이 됩니다. 하지만 석회성 건염의 진단에 있어서 MRI는 일반적으로 필수적이지 않습니다.
이러한 진단 과정을 통해 석회성 건염을 정확하게 진단하고, 적합한 치료 계획을 수립할 수 있습니다. 석회성 건염이 의심되는 경우, 정확한 진단과 치료를 위해 정형외과 전문의나 스포츠 의학 전문의와 상담하는 것이 중요합니다.
치료
석회성 건염의 치료는 주로 환자의 증상 정도, 건염의 심각성, 그리고 개인의 생활 스타일에 따라 결정됩니다.
치료 방법은 비수술적 방법과 수술적 방법으로 나눌 수 있습니다.
비수술적 치료
대부분의 석회성 건염 환자들은 비수술적 치료로 좋은 결과를 얻을 수 있습니다:
통증 관리
비스테로이드성 항염증제(NSAIDs)를 통한 통증 및 염증 감소.
필요한 경우, 통증 부위에 코르티코스테로이드 주사를 사용할 수도 있습니다.
물리 치료
어깨의 유연성과 힘을 높이기 위한 운동.
관절의 움직임 범위를 개선하고 힘줄의 기능을 강화하기 위한 치료.
추가 치료 방법
충격파 치료(Extracorporeal Shock Wave Therapy, ESWT)로 석회화된 부위를 분해하고 통증을 감소시킬 수 있습니다.
수술적 치료
비수술적 치료로 증상이 개선되지 않거나, 심각한 경우 수술적 치료가 필요할 수 있습니다: 관절경 수술:
관절경을 사용하여 석회화된 힘줄을 제거합니다.
필요한 경우, 손상된 힘줄을 복구하거나 주변 조직을 정리할 수도 있습니다.
회복 과정
비수술적 치료의 경우, 증상의 호전은 개인마다 차이가 있을 수 있으나 대체로 몇 주 내에 개선됩니다.
수술 후 회복은 수술의 종류와 개인의 건강 상태에 따라 달라집니다. 물리 치료 및 재활 프로그램이 중요한 역할을 합니다.
예방
규칙적인 운동과 스트레칭을 통해 어깨 주변 근육을 강화하는 것이 좋습니다.
잘못된 자세를 피하고, 오랜 시간 동일한 자세를 유지하는 것을 피하는 것이 중요합니다.
석회성 건염의 적절한 치료와 관리를 통해 대부분의 환자는 좋은 결과를 얻을 수 있습니다. 증상이 있을 경우 의료 전문가와 상담하여 적절한 치료를 받는 것이 중요합니다.
'의학에 대해서' 카테고리의 다른 글
| 외상과염(테니스 엘보) (0) | 2023.11.14 |
|---|---|
| 팔꿈치 관절 구조 (0) | 2023.11.14 |
| 회전 근개 파열 (0) | 2023.11.13 |
| 어깨 재발성 탈구 (0) | 2023.11.13 |
| 견봉 쇄골 탈구: 어깨 통증 (0) | 2023.11.13 |

댓글